介紹
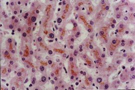
脂褐素的命名由來是具有顆粒狀的褐黃色色素,由含有脂肪的殘存物與溶酶體消化物所組成。被認為是一種隨著年紀增長或細胞操勞而增加的色素,可見於肝臟、腎臟、心肌、腎上腺、神經細胞與神經節細胞。主要分布在細胞核周圍,是脂色素的一種。
脂褐素在電鏡下顯示為自噬溶酶體內未被消化的細胞器碎片殘體,其中50%為脂質。附睪管上皮細胞、睪丸間質細胞和神經節細胞的胞漿內正常時便含有脂褐素。脂褐素多見於老年人及一些慢性消耗性疾病患者的心、肝和腎細胞內,故又有消耗性色素之稱。脂褐素呈黃褐色、顆粒狀。
老年素學名叫脂褐素(lipofuscin)。沉積於神經、心肌、肝臟等組織衰老細胞中的黃褐色不規則小體,內容物為電子密度不等的物質、脂滴、小泡等,是溶酶體作用後剩下不再能被消化的物質而形成的殘餘體。其積累隨年齡增長而增多,是衰老的重要指征之一。見於淺表皮膚者俗稱“老年斑”。能用蘇丹黑染色,西夫氏過碘酸反應陽性,紫外線照射時發射的螢光波長最大值在430~490nm,可顯示微弱溶酶體酶活性。
現代醫學已經證實衰老的“元兇”就是自由基——在人體的新陳代謝過程中不斷產生的帶有不對稱電子的原子或分子。自由基侵害人體細胞產生致衰因子MDA,致衰因子MDA進一步侵害細胞生成脂褐素,脂褐素沉積在人體細胞,造成細胞損傷。
脂褐素沉積在人體各組織器官細胞中,導致細胞代謝減緩,活性下降,從而造成人體器官功能衰退產生衰老。人體細胞合成抗衰酶“GSH-PX”,主要作用是清除自由基,但隨著年齡的增加,其合成能力及活性下降。致衰因子逐漸增加多,抗衰酶含量和活性下降,衰老就這樣產生了!
●脂褐素沉積在免疫器官,機體免疫力下降;
●脂褐素沉積在腦細胞,造成記憶力下降、頭腦混沌、睡眠質量下降;
●脂褐素沉積在皮膚細胞中,使皮膚粗糙、黯淡、無光澤,出現皺紋、色斑等;
●脂褐素沉積在晶狀體細胞,使其退化變性,引起視力障礙;
●脂褐素沉積在頭髮,就會出現白髮甚至脫髮;
●脂褐素沉積在脂肪細胞,就會促進脂肪堆積;
●脂褐素沉積在血管壁上就會形成動脈粥樣硬化等;
●脂褐素沉積在血液中,就會對心腦血管健康造成危害;
●脂褐素沉積在肝細胞,就會影響肝臟的健康,使肝臟不能正常發揮功能;
●脂褐素沉積還會帶來人體分泌雌激素和雄激素的減少。
脂褐質色素定義
實質細胞胞漿內出現的一種棕褐色色素顆粒。它是細胞器碎片中不飽和脂肪過氧化的產物。
脂褐質色素與壽斑
醫學上稱“脂褐質色素”,俗稱老年斑,由此認為,壽斑並不表示高壽,倒是衰老的象徵。隨著人的平均年齡的增長,專家們發現壽斑在老年人中並不普遍,僅占27%。
脂褐質色素與衰老
脂褐質色素是細胞氧化後的產物,一旦聚集過多便影響臟器功能,使人漸漸衰老。很少有人知道,皮膚上的老年斑還會在人們看不到的臟器上留下痕跡並造成危害。比如出現在腦細胞上,便會引起智力和記憶力的減退;聚集在血管壁,則會發生血管纖維性病變,引起高血壓、動脈硬化、心臟病。
脂褐質色素與營養
服用維生素E和維生素C。能有效地防止脂褐質色素氧化所產生的老年斑,也是公認的抗衰老劑。據專家研究,每天服100國際單位維生素E和300———500毫克維生素C,連服2年,便可明顯減緩動脈硬化斑和老年斑的發展。
多吃蔬菜水果。特別是常吃洋蔥效果更好。因為洋蔥中含有硫質和必需維生素成分,能清除體內不潔廢物,使機體保持潔淨。另外,蘿蔔、芹菜、菠菜、杏仁、大棗,都有助於減少老年斑,延緩皮膚衰老。
堅持鍛鍊身體。經常鍛鍊能明顯推遲衰老,因而也能推遲老年斑的形成。
細嚼慢咽多咀嚼。據專家調查,演員和歌唱家面部老年斑的發生,比普通人要推遲8———10年。專家稱,這應歸功於他們有更多面部肌肉運動,因此,人們只要每天咀嚼口香糖10———15分鐘,或在進餐時細嚼慢咽,也可以改善面部血液循環和皮膚代謝,推遲老年斑的發生。
形成與流轉
脂褐素是不飽和脂肪酸氧化後的產物,也可能來自生物膜的降解、或是將運輸至粒線體或溶酶體的物質。除了有大量的脂肪成分外,脂褐素還有糖類與金屬成份,包括汞、鋁、鐵、銅、鋅。
類脂褐素的物質累積會造成脂褐素形成與排除間的不平衡:此種累積現象可以藉由對大鼠施打蛋白酶抑制劑而觀察到,但經過三個月後,可以發現老鼠的類脂褐素物質已回復到正常值,代表著大鼠有自體調節脂褐素物質的能力。不過此一研究尚具爭議,主因是亮肽素促進產生的物質是否是一種脂褐素,因為早先的證據顯示真正的脂褐素在體外環境是不會降解的;但在體內是否能持續不被分解是存疑的。
相關疾病
脂褐素的積累是造成老年黃斑變性以及退化性眼球疾病不容忽視的危險因素。異常脂褐素的積累也會造成一系神經退行性疾病,稱為lipofuscinoses,例如神經元蠟樣脂褐素沉積症,也稱為巴廷疾病,以及一些其他的名稱。病理學上脂褐素的累積也與阿茲海默症、帕金森氏病、肌萎縮性脊髓側索硬化症、特定溶酶體疾病、肢端肥大症、慢性阻塞性肺病、中央核肌病。若脂褐素的積累在結腸內的狀況的原因是結腸黑變病。
減少脂褐素的積累的治療方法
卡路里限制飲食、維生素E、與增加谷胱甘肽均可以減少或停止脂褐質的產生。研究指出益智藥吡拉西坦可以減少大鼠腦組織累積脂褐素的量。
其他可能的治療方法:
氯芬酯
乙醯肉鹼
銀杏葉
二甲基乙醇胺
濕性老年黃斑變性可以治療使用選擇性雷射在脈衝小點加熱並殺死色素豐富的細胞,空出的空間可以讓健康細胞的繁殖。雷射也用於去除紋身、醫學美容也讓皮膚看起來更年輕。選擇性雷射去除脂褐質為生命延續領域的研究開闢了新的契機。
其他用途
脂褐素的定量是可套用於甲殼類動物例如龍蝦的年齡鑑定。由於這些動物缺乏骨性部分,所以不能像硬骨魚類一樣,每年會增加在耳後的骨頭或耳石來計算年齡。年齡測定是了解魚類和貝類的一項基本生物數據,如生長曲線。一些研究表明,量化的量存在脂褐素在眼柄可以提供年齡數值。不過這種方法尚未得到廣泛的套用,主要是由於水族館飼養的積累曲線與野外捕捉的積累曲線不太一致。
脂褐質色素與壽斑
醫學上稱“脂褐質色素”,俗稱老年斑,由此認為,壽斑並不表示高壽,倒是衰老的象徵。 隨著人的平均年齡的增長,專家們發現壽斑在老年人中並不普遍,僅占27%。
脂褐質色素與衰老
脂褐質色素是細胞氧化後的產物,一旦聚集過多便影響臟器功能,使人漸漸衰老。很少有人知道,皮膚上的老年斑還會在人們看不到的臟器上留下痕跡並造成危害。比如出現在腦細胞上,便會引起智力和記憶力的減退;聚集在血管壁,則會發生血管纖維性病變,引起高血壓、動脈硬化、心臟病。
脂褐質色素與營養
服用維生素E和維生素C。能有效地防止脂褐質色素氧化所產生的老年斑,也是公認的抗衰老劑。據專家研究,每天服100國際單位維生素E和300———500毫克維生素C,連服2年,便可明顯減緩動脈硬化斑和老年斑的發展。
多吃蔬菜水果。特別是常吃洋蔥效果更好。因為洋蔥中含有硫質和必需維生素成分,能清除體內不潔廢物,使機體保持潔淨。另外,蘿蔔、芹菜、菠菜、杏仁、大棗,都有助於減少老年斑,延緩皮膚衰老。
堅持鍛鍊身體。經常鍛鍊能明顯推遲衰老,因而也能推遲老年斑的形成。
細嚼慢咽多咀嚼。據專家調查,演員和歌唱家面部老年斑的發生,比普通人要推遲8———10年。專家稱,這應歸功於他們有更多面部肌肉運動,因此,人們只要每天咀嚼口香糖10———15分鐘,或在進餐時細嚼慢咽,也可以改善面部血液循環和皮膚代謝,推遲老年斑的發生。

