原因
(一)發病原因
肺水腫的病因可按解剖部位分為心源性和非心源性兩大類。後者又可以根據發病機制的不同,分成若干類型。
1.心源性肺水腫:正常情況下,左右心的排血量保持相對平衡,但在某些病理狀態時,如回心血量及右心排出量急劇增多或左心排出量突然嚴重減少,造成大量血液積聚在肺循環中,使得肺毛細血管靜脈壓急劇上升。當升高至超過肺毛細血管內膠體滲透壓時,一方面毛細血管內血流動力學發生變化,另一方面肺循環淤血,肺毛細血管壁滲透性增高,液體通過毛細血管壁濾出,形成肺水腫。臨床上由於高血壓性心臟病、冠心病及風濕性心臟瓣膜病所引起的急性肺水腫,占心源性肺水腫的絕大部分。心肌炎、心肌病、先天性心臟病及嚴重的快速心律失常等也可以引起。
2.非心源性肺水腫
(1)肺毛細血管通透性增加:
①感染性肺水腫,系因全身和(或)肺部的細菌、病毒、真菌、支原體、原蟲等感染所致。
②吸入有害氣體,如光氣(COCl2)、氯氣、臭氧、一氧化碳、氮氧化合物等。
③血液循環毒素和血管活性物質,如四氧嘧啶、蛇毒、有機磷、組織胺、5-羥色胺等。
④瀰漫性毛細血管滲漏綜合徵,如內毒素血症、大量生物製劑的套用等。
⑤嚴重燒傷及播散性血管內凝血。
⑥變態反應,加藥物特異性反應、過敏性肺泡炎等。
⑦放射性肺炎,如胸部惡性腫瘤大劑量放射治療可引起肺水腫。
⑧尿毒症,如尿毒症性肺炎即為肺水腫的一種表現。
⑨淹溺,淡水和海水的淹溺均可致肺水腫。
⑩急性呼吸窘迫綜合徵,是各種原因引起的最為嚴重的急性肺間質水腫。
#9322;氧中毒,長時間吸入高濃度(60%)氧,可致活性氧自由基增多,造成肺損傷和肺水腫。
#9323;熱射病。
(2)肺毛細血管壓力增加:
①肺靜脈閉塞症或肺靜脈狹窄。
②輸液過量,輸液或輸血過多過快,使血容量過度或過快地增加,致肺毛細血管靜水壓增高而發生肺水腫。又稱為靜脈淤血綜合徵。常見於創傷、失血或休克病人套用大量、快速靜脈補液支持循環功能者。
(3)血漿膠體滲透壓降低:
①肝腎疾病引起低蛋白血症。
②蛋白丟失性腸病。
③營養不良性低蛋白血症。
(4)淋巴循環障礙。
(5)組織間隔負壓增高:
①復張後肺水腫,如氣胸、胸腔積液或胸腔手術後導致肺萎陷,快速排氣、抽液後肺迅速復張,組織間隔負壓增高,發生急性肺水腫。
②上氣道梗阻後肺水腫,各種原因引起的上氣道梗阻、經氣管插管、氣管切開等,梗阻解除後迅速發生的急性肺水腫。
(6)其他複合性因素:
①高原性肺水腫:因高海拔低氧環境下引起的肺水腫稱為高原性肺水腫。
②藥物性肺水腫:如阿司匹林、海洛因、利多卡因、呋喃坦啶、利眠寧、特布他林、美沙酮等。除部分藥物與過敏因素有關外,有些藥物主要對肺組織直接損傷或對中樞神經系統的直接性作用而發生急性肺水腫。
③神經源性肺水腫:可由於顱腦外傷、手術、蛛網膜下腔出血、腦栓塞及顱內腫瘤等致顱內壓增高引起的急性肺水腫。
(二)發病機制
肺臟在結構上可分為4個分隔的腔室,有的充滿液體,有的相當乾燥,彼此之間進行液體移動和交換。
1.肺血管腔:肺毛細血管、小靜脈、小動脈均具有通透液體的特性,內皮細胞中的小液泡,一側排出泡內液體,另側吞入胞外液體。
2.肺泡:上皮細胞之間的連線十分緊密,水分不易滲透;表面活性物質能減少表面張力,有利於肺泡的擴張。
3.間質腔:肺泡隔的間質腔厚部,可調節液體的儲存。
4.淋巴管腔:可不斷地引流間質中的液體,還能吸收蛋白質。
各腔室之間的液體能保持動態平衡,主要決定於膠體滲透壓和液體靜水壓及肺泡毛細血管膜的通透性。
血漿膠體滲透壓是防止血管內液體外滲的主要因素。當血漿總蛋白為70g/L而白蛋白與球蛋白的比值正常時,膠體滲透壓為3.33~4.0kPa。血漿膠體滲透壓過低,可使血管內液體滲入肺間質和肺泡內。肺毛細血管靜水壓平均為1.07~1.33kPa。肺毛細血管靜水壓增高,超過相應的血漿膠體滲透壓時,可使肺毛細血管內液體濾出。肺間質的靜水壓由呼吸運動造成胸內負壓的影響所致,約為1.33~2.27kPa;肺間質的膠體滲透壓約為1.6~2.67kPa;兩者的變化亦將促使液體從肺毛細血管內濾出。淋巴管的靜水壓為負值,與淋巴液的膠體滲透壓共同促使液體從間質進入淋巴管。肺泡表面張力所產生的向心力可降低肺間質內的壓力,使液體從肺毛細血管濾出。肺泡內氣體壓力隨呼吸運動而變化,但對液體流動無明顯影響。以上液體動力學的相互關係可用starling公式概括:Qf=kf[(pv-pi)-△(pi;v-pi;i)式中,Qf是血管內外水液流量;kf是血管壁通透係數;△是回吸收係數;p為靜水壓;pi;是膠體滲透壓;v指血管腔;i指間質腔。
以上動力學的綜合作用結果,正常情況下,液體不斷從肺毛細血管濾出到肺間質中,又不斷地通過淋巴系統從間質把液體引流出,使肺內的液體移動保持動態平衡。任何病理因素引起肺內液體移動失衡,濾出的液體多於回收時,即形成肺水腫。
由於肺毛細血管壁通透性增加而產生的肺水腫稱為滲透性肺水腫。肺毛細血管內皮細胞間的緊密連線,使水、小離子和代謝物質允許通過,而大分子量的蛋白質則不能通過。許多因素如缺氧、炎症、毒物刺激及血管活性物質的作用等,可引起肺毛細血管內皮細胞的損害和反應,致血管壁的通透性增加,進入間質的濾液增多,大分子量的蛋白質也可濾出而引起間質腔膠體滲透壓上升,促使肺水腫形成。
淋巴管功能正常時代償能力很大,淋巴引流量可以增加到正常水平的10倍以上。只有當肺毛細血管濾出液體量超過淋巴引流的代償能力時,或因病理狀態致淋巴功能障礙而減少引流量,或淋巴功能不能發揮代償能力時,方會導致肺水腫形成。
肺內水腫液最初積聚在肺泡毛細血管間的間隔中,而後流向肺泡管以上疏鬆的肺間質腔,包括肺小血管與小氣道周圍及肺小葉間隔,此階段為間質性肺水腫。若間質內液體過多,張力增高,可導致液體進入肺泡內,形成肺泡性肺水腫。
病理:肺臟表面呈蒼白色,濕重明顯增加,切面有大量液體滲出。鏡下可見廣泛的肺充血,間質間隙、肺泡和細支氣管內充滿含有蛋白質的液體,肺泡內有透明膜形成,有時可見間質出血和肺泡出血,肺毛細血管內可見微血栓形成,亦有時可見灶性肺不張。
檢查
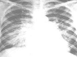
根據病史、症狀、體檢和X線表現常可對肺水腫作出明確診斷,但由於肺含水量增多超過30%時才可出現明顯的X線變化,必要時可套用CT和核磁共振成像術幫助早期診斷和鑑別診斷。
鑑別診斷
1.根據病史、症狀、體檢和X線表現常可對肺水腫作出明確診斷,但由於肺含水量增多超過30%時才可出現明顯的X線變化,必要時可套用CT和核磁共振成像術幫助早期診斷和鑑別診斷。
熱傳導稀釋法和血漿膠體滲透壓:肺毛細血管楔壓梯度測定可計算肺血管外含水量及判斷有無肺水腫,但均需留置肺動脈導管,為創傷性檢查。用99mTc人血球蛋白微囊或113mIn運鐵蛋白進行肺灌注掃描時,如果血管通透性增加,可聚集在肺間質中,通透性增加性肺水腫尤其明顯。此外,心原性與非心原性肺水腫在處理上有所不同,二者應加以鑑別。
2.還與肺部疾病如急性肺梗死、支氣管哮喘、張力性氣胸等進行鑑別診斷。
緩解方法
預防是改善緩解,減少或是消除刺激呼吸道的因素,最好個人防護。保護呼吸道,預防和積極治療上呼吸道感染,平時戒菸,治療原則是,去除病因,控制感染,祛痰鎮咳,綜合處理。急性發作,抗感染治療。祛痰鎮咳,可以用氨溴索或是點滴沐舒坦進行治療。平喘,可以用氨茶鹼。

