肺腫瘤的概述
肺腫瘤又叫支氣管肺癌(Lung.Carcinoma)是常見的惡性腫瘤之一,近數十年肺癌的發病率和死亡率都有明顯增高的趨勢。肺癌的早期診斷是提高治療效果的有效途徑,影像學和痰液脫落細胞學的進展,對肺癌的早期診斷提供了有利條件。
.肺腫瘤已成為目前人類因癌症死亡的主要原因,有專家稱肺癌和愛滋病是本世紀與不良生活習慣有關的危害人類健康最嚴重的兩種疾病。在28個已開發國家中,肺癌已成為惡性腫瘤中最常見的死亡原因。有資料表明,我國肺癌發病率將在相當長時期內呈現顯著上升趨勢。
肺腫瘤多為原發性,也可為轉移性,在原發性肺腫瘤中以惡性為多見,其中最常見的是起源於支氣管黏膜上皮的肺癌,因此又稱為支氣管肺癌原發性肺肉瘤。原發性支氣管肺癌簡稱肺癌(腫瘤)),是最常見的肺部原發性惡性腫瘤。世界上至少有35個國家的男性肺癌為各癌症死因中第一位,女性僅次於乳腺癌的死亡人數。本病多在40歲以上發病,發病年齡高峰在60-79歲之間。男女患病率為2.3:1。種族、家屬史與吸菸對肺癌的發病均有影響。在我國腫瘤死亡,肺癌在男性占常見惡性腫瘤的第四位,在女性中占第五位。
肺癌有以下兩種基本類型:1)小細胞肺癌(SCLC)或燕麥細胞類,三分之一的肺癌患者屬於這種類型;
2)非小細胞肺癌(NSCLC)類,三分之一的肺癌患者屬於這種類型。這種區分是相當重要的,因為對這兩種類型的肺癌的治療方案是截然不同的。小細胞肺癌患者主要用中藥或化學療法治療。外科治療對這種類型肺癌患者並不起主要作用。另一方面,外科治療主要適用於非小細胞肺癌患者。還有一種癌症類型是嗜銀細胞瘤。其實總的來說晚期肺癌手術、放療、化療治療效果都不理想。
肺腫瘤的治療應是手術、中藥、放療、化療及免疫等多學科綜合治療。肺癌的手術、放療、化療治療效果在近十年中沒有顯著的提高,總的治癒率很低。其中主要原因是肺癌生物學特性十分複雜,惡性程度高,80%的肺癌患者在確診時已屬晚期。早期手術切除癌塊固然重要,但配合中醫中藥的綜合治療,標本兼治同樣重要。
分期
0期:原位癌或病變局限於支氣管黏膜層者。
1期:病變長經<3cm無肺門淋巴結或肺外轉移者。
2期:3cm<5cm,或-肺門淋巴結轉移。
3期:d>5cm,或有胸膜或縱隔淋巴結轉移或有外侵,世有血管、神經壓迫現象。如上腔靜脈壓迫,聲帶麻痹,隔神經麻痹,或有全肺不張者。
4期:有胸腔外轉移,或有對側或肺門轉移,或有癌性胸腔積液者。
病因
一般認為肺癌(腫瘤)的發病與下列因素有關:
一、吸菸:公認吸菸是肺癌的重要危險因素。
二、職業致癌因子。
三、空氣污染。
四、電離輻射。
五、飲食與營養。
此外,病毒的感染、真菌毒素(黃霉曲菌)、結核的瘢痕、機體免疫功能的低落、內分泌失調以及家族遺傳等因素對肺癌的發生可能也起一定的綜合作用。
症狀
肺癌的臨床表現與其部位、大小、類型、發展的階段、有無併發症或轉移有密切關係。主要症狀包括以下幾方面。
由原發腫瘤引起的症狀
一、咳嗽。為常見的早期症狀。
二、咯血。
三、喘鳴。
四、胸悶、氣急。
五、體重下降。消瘦為腫瘤的常見症狀之一。
六、發熱。一般腫瘤可因壞死引起發熱,多數發熱的原因是由於腫瘤引起的繼發性肺炎所致,抗生素藥物治療療效不佳。
肺癌(腫瘤)局部擴展引起的症狀
一、胸痛。
二、呼吸困難。
三、咽下困難。
四、聲音嘶啞。
症狀綜述
肺癌的早期症狀一般有咳嗽,咯血,胸背痛,喘鳴和原因不明的發熱等。我們知道肺癌是發生在我們呼吸器官肺上的惡性腫瘤,因此症狀和它發生的部位是密切相關的。大體來講,肺癌分中央型肺癌和周圍型肺癌,中央型肺癌一般來講出現症狀略微早一些,因為發生在主要的支氣管,比較早出現咳嗽、痰血或者胸部不適。周圍型可能在發現的時候,一旦腫瘤累計到胸膜,會有胸痛的改變,如果再發展,會出現胸膜的病變,會產生胸腔積液。
在發現肺癌的時候,特彆強調高危人群,第一個是重度吸菸,第二有家族史和直系親屬里有惡性腫瘤的病史,尤其是肺癌的病史,說明基因對抗癌物質的抵抗能力比較差的。另外是有接觸職業污染的,比方說再一個有放射性污染的工作場所或者是化學、物理等等會導致細胞損傷這樣的工作場所長期工作的,也是我們要定期進行檢查的。最後來講,如果有刺激性乾咳,咳嗽性質,當然咳嗽都是每個人都會,要持續性的進行乾咳,還有待有血絲,這個要特別擔心,要到醫院進行檢查。其他的胸痛或者胸部不適,如果是重度吸菸者和剛才所介紹的幾種高危人群,也需要定期地檢查。早期發現就是需要有規律地定期進行體格檢查,包括胸部的透視,血液的化驗,包括其他的相應檢測。這樣能夠發現早期肺癌,及時進行治療。
檢查
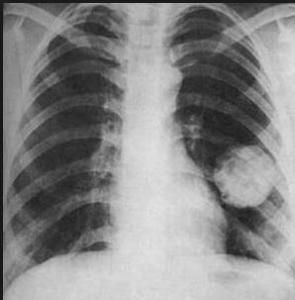
一、胸部X線檢查:本項檢查是發現肺癌的最重要的一種方法。
二、電子計算機體層掃描(CT): CT的優點在於能發現普通X線檢查不能顯示的解剖結構CT對轉移癌的發現率比普通斷層高。
三、磁共振(MRI):MRI在肺癌的診斷價值基本與CT相似。
四、痰脫落細胞檢查。
五、纖維支氣管鏡檢查(簡稱纖支鏡檢)。對明確腫瘤的存在和獲取組織供組織學診斷均具有重要的意義。
診斷
診斷意義
肺癌的診斷具有重要意義。只有在病變早期得到診斷、早期治療,才能獲得較好的療效。為此,應當廣泛進行防癌的宣傳教育、勸阻吸菸,建立和健全肺癌防治網:對40歲以上成人,定期進行胸部X線普查。中年以上久咳不愈或出現血痰,應提高警惕,作周密的檢查;如胸部X線檢查發現肺部有腫塊陰影時、應首先考慮到肺癌的診斷,宜進行詳細的進一步檢查,不能輕易放棄肺癌的診斷或拖延時間,必要時應剖胸探查。80%的肺癌病例在明確診斷時已失去外科手術的治療機會,因此,如何提高早期診斷率是一個十分迫切的問題。
診斷方法
診斷肺癌的主要方法有:
X線檢查這是診斷肺癌的一個重要手段。大多數肺癌可以經胸部x線攝片和CT檢查獲得臨床診斷。中心型肺癌早期X線胸片可無異常徵象。當癌腫阻塞支氣管,排痰不暢,遠端肺組織發生感染,受累的肺段或肺葉出現肺炎徵象。若支氣管管腔被癌腫完全阻塞,可產生相應的肺葉或一側全肺不張。當癌腫發展到―定大小,可出現肺門陰影,由於腫塊陰影常被縱隔組織影所掩蓋,需作胸部X線斷層攝影和CT檢查才能顯示清楚。
在斷層x線片上可顯示突入支氣管腔內的腫塊陰影,管壁不規則、增厚或管腔狹窄、阻塞。支氣管造影可顯示管腔邊緣殘缺或息肉樣充盈缺摜,管腔中斷或不規則狹窄。腫瘤侵犯鄰近的肺組織和轉移到肺門及縱隔淋巴結時,可見肺門區腫塊,或縱隔陰影增寬,輪廓呈波浪形,腫塊形態不規則,邊緣不整齊,有時呈分葉狀。縱隔轉移淋巴結壓迫膈神經時,可見膈肌抬高,透視可見膈肌反常運動。氣管隆凸下腫大的轉移淋巴結,可使氣管分叉角度增大,相鄰的食管前壁,也可受到壓迫。晚期病例還可看到胸膜腔積液或肋骨破壞。
電子計算機體層掃描(CT)可顯示薄層橫斷面結構圖像,避免病變與正常組織互相重疊,密度解析度很高,可發現一般X線檢查隱藏區(如肺尖、膈上,脊柱旁、心後、縱隔等處)的早期肺癌病變,對中心型肺癌的診斷有重要價值。CT可顯示位於縱隔內的腫塊陰影、支氣管受侵的範圍、癌腫的淋巴結轉移狀況以及對肺血管和縱隔內器官組織侵犯的程度,並可作為制定中心型肺癌的手術或非手術治療方案的重要依據。
治療
1、雷射切除。肺腫瘤位於氣管、支氣管內時,以袖式切除術為主,如瘤體較大,氣管切除後不能對合者,可在頸部做皮管與之吻合,皮管內終生放置氣管插管。小的中心型早期肺腫瘤,可藉助支氣管鏡、雷射等方式切除。
2、根治性手術。如肺葉、全肺切除等,在特殊情況下也可能成為必要的惟一選擇。如術前考慮有早期腫瘤的可能,而術中需切除較多肺組織時,術中應先做冰凍病理活檢,確定為早期腫瘤後,應儘量保留肺組織。
3、手術治療。早期肺腫瘤的治療應採取手術方法,做開胸探查術,依肺部病灶的形態累及肺臟的範圍,切除原則:以最大限度地保留正常肺組織、儘可能減少術後併發症、儘可能徹底切除病變。
預防
肺腫瘤X光片肺部腫瘤的預防勝於治療,主要分為三級預防。一級預防針對健康人群,主要包括不吸菸,遠離二手菸污染。儘量避免室外空氣污染、廚房油煙。選用環保型裝修材料。營養均衡,多食穀物、蔬菜、水果。保持樂觀、積極的生活態度,提高心理適應力。二級預防早診、早治針對高危人群,主要針對40歲以上長期吸菸者,吸菸20年以上,20歲以下開始吸菸機每天吸菸20支以上,經常接觸煤煙、煤焦油和油煙者,接受過量放射線照射者(採礦者等)、慢性咳嗽、痰中帶血者及有肺癌家族史者。高危人群最好能每年定期全面體檢,有條件的行CT檢查。如出現刺激性咳嗽、血痰火咯血等症狀應及時醫院就診。三級預防即康復性預防,肺癌患者應遵醫囑按期到醫院複查。
飲食注意
很多食物可以達到提高免疫力的功效,起到養肺效果。日常生活中哪些飲食具有養肺功能呢?
杏仁、百合、山藥、綠豆和白蘿蔔等都是不錯的潤肺食物。特別是杏仁,自古就被認為是能止咳潤肺、降氣清火的健康食品。
這些食物的養肺功效不一,食用這些食物前,首先應了解它們具有什麼藥效。中醫講究對症治療,只有遵循適應理論,才能更大地發揮食療的效果。
肺腫瘤患者絕對不能碰的食物:
肺腫瘤患者日常飲食很重要,可以多吃一些具有增強機體免疫、抗肺腫瘤作用的食物,如薏米、甜杏仁、菱、牡蠣、海蜇、茯苓、山藥、大棗、烏梢蛇、香菇、核桃、甲魚等食物。但是有些食物請不肺腫瘤患者忌口。如:
1、忌油膩、粘滯生痰的食物。
2、忌辛辣刺激性食物:桂皮、蔥、姜、辣椒、韭菜、蒜和花椒等。
3、忌油煎、燒烤等熱性食物。
4、忌煙、酒。
預防措施
一、從自身做起,積極預防肺癌的發生。
1、抵制香菸的誘惑,拒絕菸草。據調查發現,吸菸者比不吸菸的人患肺癌的風險高出許多倍。
2.防治氣管炎、慢性支氣管炎轉化為肺癌。慢性支氣管炎患者的肺癌發病率高於無慢性支氣管炎者,所以積極防治慢性支氣管炎對預防肺癌有一定的意義。特別是要勸導患慢性支氣管炎的吸菸者戒菸,因為患慢性支氣管炎又吸菸人群的肺癌發病率更高。
3.我們自身要注意自己的身體變化。要警惕肺部疾病,如有感冒、咳嗽、哮喘等要及時就醫檢查。
二、外部環境的影響也不容忽視。
1.控制大氣污染,淨化環境。做好環境保護工作,有效地控制大氣污染,從而達到預防肺癌的目的。
2.職業防護必須要加強。對開採放射性礦石的礦區,應採取有效的防護措施,儘量減少工作人員受輻射的量。對暴露於致癌化合物的工人,必須採取各種切實有效的勞動防護措施,避免或減少與致癌因子的接觸。
肺腫瘤的併發症
肺腫瘤可以引起哪些疾病
1、呼吸道併發症:如痰液瀦留、肺不張、肺炎、呼吸功能不全等。尤以年老體弱者、原有慢性支氣管炎、肺氣腫者發病率較高。
2、手術後血胸、膿胸及支氣管胸膜瘺:其發病率很低。手術後血胸是一種後果嚴重的併發症,須緊急救治,必要時應及時再次剖胸止血。
3、心血管系統併發症:年老體弱、手術中縱隔與肺門的牽拉刺激、低鉀、低氧及大出血常成為其誘因。常見的心血管系統併發症有:手術後低血壓、心律失常、心包填塞、心力衰竭等。

