基本概念
肝內血管瘤肝血管瘤(hemangiomas)大多數屬海綿狀血管瘤(cavernous hemangioma)是一種常見的肝臟良性腫瘤,可發生於任何年齡,但常在成年人出現症狀,女性為多。腫瘤見於肝臟任何部位,常位於包膜下,多為單發(約10%為多發),腫瘤直徑多小於4cm,但亦可小至數mm,個別大至30cm者。腫瘤表面呈暗紅或紫色,外有包膜,切面呈海綿狀。有時血管瘤內可見血栓形成和瘢痕,偶有鈣化。顯微鏡下血管瘤是一內壁為不同大小的扁平內皮細胞的血管管道構成交通的空隙網,其中含紅細胞,有時可見新鮮的機化血栓。腫瘤與周圍組織分界清楚。 肝血管瘤通常為海綿狀血管瘤。過去認為少見,但近年由於超聲顯像的普及,此病十分常見。過去因無症狀,又無超聲顯像,故未發現。女性略多於男性,可見於任何年齡,以30~60歲多見。外觀呈紫紅色,質軟,可壓陷,切除標本萎癟,切端呈囊狀或篩狀空隙--海綿狀,間見疤痕甚或鈣化。鏡下見大小不同血管腔,由扁平內皮細胞構成管壁表面,腔間隙由纖維組織構成,通常不伴肝硬化。以前認為單個居多,超聲顯像問世以來所觀察到常為多個。
臨床表現
<4cm者多無症狀,常於體格檢查作腹部超聲時偶然發現;4cm以上者約40%伴腹部不適,肝腫大,食欲不振、消化不良等症狀。肝血管瘤常含機化血栓可能反覆血栓形成造成腫瘤腫脹,引起Glisson′s包膜牽拉脹痛。腫塊軟硬不一,有不同程度的可壓縮感,少數呈堅硬結節感。腫塊很少自發破裂。肝功能一般正常,大血管瘤罕見的綜合徵為消耗性凝血障礙、血小板減少及低纖維蛋白血症。多種影像學檢查可助診斷,超音波顯像呈典型的邊緣清晰的回聲增強區,可見管道通入。大血管瘤可見網狀回聲不均,有時可見鈣化。CT造影劑增強或延遲掃描呈先有腫瘤周邊過度增強,逐漸向中心填充呈等密度。MRI在SET加權像上,瘤灶示邊界清楚的類圓形低信號區,T2加權像上瘤灶信號顯著增強且均勻升高,表現呈特徵性,而正常肝實質信號強度明顯衰減,瘤/肝信號強度比明顯增加。核素血池掃描呈明顯填充現象。在診斷和鑑別診斷有困難者,可考慮剖腹探查,針刺活檢常可導致嚴重出血故屬禁忌。
診斷並不困難,如中年女性、無肝炎、肝硬化或B型肝炎(HBV)感染史;小者多無症狀,較大者可出現上腹脹、腹塊或腹痛等,但即使腫瘤較大,一般情況仍保持較好,全身乏力、消瘦、納差、腹瀉等少見;AFP陰性,HBV標記亦多陰性;腫塊雖較大而Υ
谷氨醯轉肽酶常不高;肝功能大多正常;超聲顯像≤3cm者常呈高回聲光團,與周圍肝直接接壤而無透明區帶所提示包膜,但邊界清晰,較大者常可見有血管進入占位區,或占位內有血管腔,近表面者腹外加壓可見占位變形或被壓縮;核素血池掃描常呈強填充,而99mTc-PMT掃描則無攝取,但小血管瘤不易顯示;CT注造影劑後亦常示填充,初在周邊,然後延及中央;肝動脈造影在動脈相時病灶周邊出現"血管湖",造影劑滯留時間長,但無肝癌所示的腫瘤血管;此外,病程常較長。通常血管瘤不宜作經皮穿刺活檢。
治療要點
①小(5cm以下)而無症狀者無需治療。②小而不能完全排除肝癌者,位左肝者宜切除;位右肝周邊容易切除者亦宜切除;位右肝深部切除困難或代價太大如判斷肝癌可能性較小,可隔1、2、3月重複超聲檢查,如明顯增大可手術,如無明顯增大可延長超聲複查時間,如1~2年後仍無明顯增大和其他肝癌證據者可每年復超聲顯像。③大而無症狀切除不困難者亦可切除。④大而有症狀或影響肝功能可考慮切除,不能切除者可作肝動脈結紮術和/或肝動脈栓塞術。通常血管瘤切除時應避免弄破瘤體以免引起大出血,10cm以下血管瘤亦可在暫阻斷血供條件下以粗線經正常肝組織作瘤體綑紮術。不宜手術者亦可試放射治療。
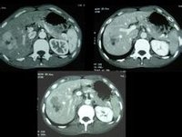
肝內血管瘤CT檢查結果
肝內血管瘤CT檢查結果是:
◆平掃:肝內低密度區輪廓清晰,密度均勻,或病變區內有更低的密度區,代表血栓機化,或纖維分隔,少數可見到鈣化。
◆增強後立即出現邊緣性增強,也有少數的患者在開始強化的時候並不出現在邊緣,可自中央開始,大多數呈團狀造影劑充填。
◆在連續掃描中主要表現的是造影劑自邊緣慢慢的向中央延伸,或者是多數的增強病灶相互的融合,也就是說造影劑在瘤樣的擴張的血管內彌散,是CT診斷肝內血管瘤的可靠的表現。
◆延遲掃描出現等密度或高密度,其中可伴有或無低密度區。這是肝內血管瘤與其他肝內占位性病變鑑別的重要徵象。尤其是與肝癌鑑別時,必須延遲5~l0分鐘再次掃描以觀察病灶的充盈情況,絕大多數肝內血管瘤在延遲掃描後均有不同程度造影劑充盈。

