簡介
膀胱癌是泌尿系統最常見的惡性腫瘤,發病率居泌尿系統惡性腫瘤的首位。其發病原因還不清楚,一般認為與經常接觸致癌物如萘胺、聯苯胺等有關,日常生活中常見的染料,橡膠、塑膠製品,油漆、洗滌劑等也有潛在的致癌危險。吸菸不僅僅對呼吸系統有害,還是會引起膀胱癌。另外,某些疾病如膀胱白斑、腺性膀胱炎、尿道結石、尿瀦留等也可能會誘發膀胱癌。男女的膀胱癌發生率約為5:2,美國每年(1997年估算)約有54500新病例。
病因
病因尚未完全清楚,與下列因素有關:
①環境和職業現已肯定β-萘胺、聯苯胺、4-氨基雙聯苯等是膀胱癌致癌物,是製造染料的中間產物或橡膠塑膠工業的防老劑,長期接觸這類物質容易發生膀胱癌。
聯苯胺膀胱癌 聯苯胺是23種有害芳香胺中一種,聯苯胺致癌的毒性最強,按照世界衛生組織的劃分屬於三級致癌物第一組,可導致惡性腫瘤,我國衛生部門早在上世紀80年代末90年代初就對聯苯胺進行了醫學研究,發現經常接觸聯苯胺的人膀胱癌的發病率是正常人群的28倍。聯苯胺可以導致膀胱癌、輸尿管癌和腎盂癌,並且潛伏期長達20年。
②其它色氨酸和菸酸代謝異常可為膀胱癌病因,但其他慢性疾病也有這種異常。寄生在膀胱的埃及血吸蟲病、膀胱白斑、腺性膀胱炎、尿石、尿瀦留等也可能是膀胱癌的誘因。
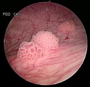
診斷
1.尿常規尿細胞學檢查;
2.膀胱鏡檢查;
3.B超檢查;
4.膀胱腎盂盆腔動脈造影;
5.CTMRI檢查;
6.腫瘤標誌物測定(ABO(H)血型抗原T-抗原CEAβ-GRS)。
在日常生活中,定期去體檢,時常注意自己的身體有無膀胱癌的徵兆,如果有一些反應就要弄清楚到底是什麼原因造成的不適。要確診是不是膀胱癌需要到醫院去做具體的檢查,看自己的血檢指標,CEA,CA125,做核磁共振等檢查確診。
如果確診是膀胱癌,首先不要慌,一定要根據具體的情況做判斷應該如何治療,進行多方面的諮詢。隨著膀胱癌早期診斷方法的出現,治療技術及術后綜合治療的日趨成熟,一般膀胱癌不易做手術,建議保守治療。
治療
外科手術治療
外科手術治療為治療膀胱癌的主要方法。具體手術範圍和方法應根據腫瘤的分期、惡性程度和病理類型以及腫瘤的大小、部位、有無累及鄰近器官等情況綜合分析確定。
放射治療
膀胱放射治療多是配合手術前、手術後進行。對於病期較晚,失去手術時機或拒絕手術以及術後復發的病例行姑息性放疔也能獲得一定療效。
介入放射治療
介入放射學治療是指利用放射學技術,經導管將藥物直接注入腫瘤的供養血管,從而殺滅腫瘤細胞。對於II-IV期膀胱癌病人,也可利用此方法,使腫瘤病灶縮小,提高手術切除率,減少復發率。
化療
聯苯胺膀胱癌膀胱癌的化學藥物治療包括膀胱內灌注化療、全身化療、動脈灌注化療等。
1、膀胱內灌注化療:適用於各期病人,尤對0-I期表淺腫瘤效果最好,對其他已有深部浸潤的病灶不能發揮良好的治療作用,但對淺表有病灶者仍有治療作用。
2、全身聯合化療:全身聯合化療可以提高手術切除率,提高膀胱癌的綜合治療效果。
免疫治療
研究表明,膀胱移行細胞癌具有抗原性,患者免疫力受損的情況與腫瘤分期、分級和血管淋巴擴散有很大關係。因此,該病適合套用免疫治療。

