概述
結腸黑變病結腸黑變病(MC)是一種結腸黏膜色素沉著性疾病,結腸黏膜出現異常的暗褐色和黑棕色,狀如虎豹皮或鱷魚皮。
致病原因還不清楚,但有研究表明其發生髮展與一些常用的通便藥中某些化學成分有關,也與糞毒素的吸收相連,也有學者稱它是一種“癌前病變”,因為它常常與結腸腺瘤樣息肉和結腸癌相伴相生。
隨著電子結腸鏡檢查的普及,結腸黑變病的檢出率逐漸提高,早發現,早治療,是預防結腸黑變病進一步發展的有效手段。
病因
結腸黑變病無種族遺傳性,常見於老年人,至21世紀初確切病因尚不清楚。
便秘和長期口服瀉藥
被大多數學者所公認的引起MC的最主要原因,其中尤以蒽醌類藥物為著。
口服以番瀉葉、大黃或蘆薈等提取物製成的瀉藥和二苯甲烷類瀉藥(如便塞停),亦可導致MC。瀉藥中所含的各類色素是致病的根本原因。
慢性腸炎
部分慢性炎症性腸病患者,即使沒有使用瀉藥,也可導致MC,而慢性腹瀉也是MC的病因之一。
病理
結腸黑變病MC的發生機制可能與細胞凋亡機制有關。據推測MC中的色素就是黑色素或介於脂褐素和焦色素之間的一種中間色素。這與食物殘渣滯留,蛋白分解產物在酶的作用下轉變成黑色素顆粒沉積於腸黏膜有關,或是腸道吸收了細菌合成的色素顆粒使腸黏膜變成黑色。
各種瀉藥進入大腸後,可致短暫的、劑量相關的結腸黏膜上皮細胞的凋亡,產生的凋亡小體被單核巨噬細胞所吞噬,並通過基底膜小孔移行至黏膜的固有層。
在巨噬細胞的溶酶體內,凋亡小體轉化為典型的脂褐素或其他色素,隨著瀉藥的長期套用,這些含有色素的巨噬細胞不斷聚集,最終發展成典型的MC改變,這是被絕大多數學者認可的MC的發病機制。
症狀
1、結、直腸黑變病無特異性症狀和體徵,主要有腹脹、便秘及排便困難,少數患者有下腹部隱痛及食慾欠佳等,可能與黑變病侵犯結腸神經叢,使黏膜內神經叢產生退行性改變,導致腸功能失調及電解質紊亂有關。
2、少數患者有低血鉀、低血鈉、低血鈣。
3、偶見水腫性結腸狹窄。
4、有人報告本病較多伴髮結腸癌、腺瘤和息肉。
檢查
結腸鏡檢查
結腸黑變病內鏡下結腸黏膜呈黑色、棕色或暗灰色,邊緣和早期病變為黃色或粉紅色,呈虎皮紋狀、擯榔切面樣或斑片狀。
1、病變程度。根據腸黏膜色素沉著的程度,MC分為Ⅲ度:
Ⅰ度,呈淺黑色,類似豹皮,黏膜血管紋理隱約可見,病變多較局限,與周圍正常黏膜分界不很清楚。
Ⅱ度,暗黑褐色,在暗黑褐色黏膜間有線條狀的乳白色黏膜,多見於左半結腸或某一段結腸黏膜上,黏膜血管不清楚,與正常黏膜有明顯分界。
Ⅲ度,深黑褐色,在深黑褐色黏膜間有細小乳白色線條狀或斑點狀黏膜,黏膜下血管看不見,此種表現多見於全結腸型。
2、從病變發生的部位來看,如病變局限則多見於近段結腸,嚴重時可累及全結腸。國內261例MC的統計中,左半結腸約占32.84%,右半結腸占11.94%,橫結腸占26.87%,而全結腸受累占28.36%,於肝曲、脾曲、降乙交界處及吻合口上方更明顯。
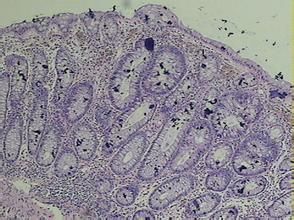
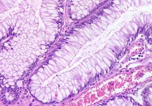
組織學檢查
為固有膜內有大量含黑色素的大單核細胞浸潤及黑色索沉著,腸壁其他層次正常。
病理學檢查
病理顯示腸固有膜水腫,巨噬細胞內含有大量色素顆粒,散在或成簇出現,黑色素染色陽性。
診斷
本病臨床無特異性症狀和體徵,診斷主要依靠腸鏡及病理學檢查。主要根據腸鏡下腸黏膜有不同程度的色素沉著,病理組織學檢查發現黏膜固有層內有大量含有色素顆粒的巨噬細胞,黑色素染色陽性,而鐵染色陰性。對習慣性便秘、腹瀉、便血和長期服用瀉劑的患者,應定期進行腸鏡檢查,並應警惕結腸黑變病及腸癌和息肉惡變。
臨床表現不能作為診斷依據。
治療
結腸黑變病針對MC本身尚無特別的藥物治療方法。但多數學者認為MC是一種可逆的病變,停用含有色素的瀉藥6個月以上腸道色素可逐漸消失。
1、停用或不用含有色素的瀉藥而改用油性的緩瀉劑及加強胃腸動力的藥物治療便秘,可減少MC的發病及逆轉已經產生的病變。
2、解除便秘。
對無服瀉藥史而又有MC的患者還應尋找病因,一般採用非手術治療,除非合併有其他需手術治療的頑固性便秘或器質性疾病。
3、藥物治療。
動物實驗結果顯示,屬於非甾體類抗感染藥的消炎痛能抑制l-羥基蒽醌的致癌作用和細胞增殖。但在臨床上消炎痛能否預防MC患者結腸癌的發生和發展以及能否逆轉MC的病理改變,尚需大量的基礎及臨床的研究。
4、並髮結腸息肉者,應及時予以切除。
預防
結腸黑變病預防1、建立良好的排便習慣
平時要養成定時排便的習慣。排便時應集中注意力,不要看報或做其他的事情。
2、多攝取膳食纖維
含膳食纖維豐富的食物有麥麩或糙米、蔬菜如芹菜、韭菜等,增加飲水量以加強對結腸的刺激。
3、要增加運動量
早上起來可以散步、慢跑、做體操,如果實在沒有時間,可在辦公室里多做半蹲動作,也可以鍛鍊腹肌張力,彌補運動不足。
4、良好地精神狀態
要調節好自己的情緒和心理狀態,偶爾的一次便秘不要有心理負擔。
5、正確的治療
對於較頑固的便秘,應尋求專科醫生的幫助,檢查分析引起便秘的原因,根據便秘的輕重和類型,採用綜合治療。
6、清腸要有道
清腸,是要求在不對機體產生傷害(如腹痛、依賴性、結腸黑變病等)的前提下進行全腸道清潔,清腸方法有食物清腸、舒泰清物理清腸、鹽水清腸等。
預後
多數學者認為結腸黑變病是一種良性可逆性損害,可與結腸癌並存,定期隨訪腸鏡是十分必要的。

