細粒棘球蚴病細粒棘球蚴病
疾病分類
感染科
疾病預防
1、消滅傳染源 對流行區的犬進行普查普治,廣泛宣傳養狗的危害性,以吡喹酮驅除犬的細粒棘球絛蟲。
2、加強民眾的健康知識的 注意飲食衛生和個人防護。避免與犬的密切接觸。
3、加強屠宰場的管理 病畜的內臟要深埋,防止被犬吃食後感染本蟲。避免犬糞中蟲卵污染水源。
疾病概述
棘球蚴病由棘球屬的數種棘球絛蟲的幼蟲-棘球蚴,寄生於牛的肝臟、肺、及其它臟器內所引起的,又稱包蟲病,是一種危害嚴重的人、畜共患寄生蟲病。 牛採食時吃到犬排出的細粒棘球絛蟲的孕卵節片或蟲卵後,卵內的六鉤蚴在消化道逸出,鑽入腸壁,隨血液和淋巴散布到身體各處發育成棘球蚴。
症狀;
牛肺部寄生棘球蚴時,會出現長期慢性呼吸困難和微弱的咳嗽。肝被寄生時,肝增大時,腹右側膨大,病牛營養失調,反芻無力,常臌氣,消瘦,虛弱。
診斷:
採用免疫診斷法效果好。
防治:對犬進行定期驅蟲,常用氯硝柳胺或氫溴酸檳榔鹼,驅蟲後犬排出的糞便應進行深埋或堆集發酵處理。
疾病描述
棘球蚴病俗稱包蟲病,是因棘球
細粒棘球蚴病症狀體徵
早期可無明顯症狀。主要症狀是因棘球優雅破局部組織或臨近臟器而產生的。本病潛伏期長,從至發病為10—20年或更長。
1、肝棘球蚴病 最常見,多位於千分之右葉,接近於肝表面。可有肝區不適,隱痛或脹痛,肝腫大,肝表現隆起,並可觸及無痛性囊性腫塊。肝門附近的棘球蚴可壓迫膽管出現黃疸,也可壓迫門靜脈而發生門脈高壓症。在合併感染時,臨床上與肝膿腫或膈下膿腫症狀相似。肝下部的棘球蚴可破入腹腔而引起瀰漫性腹膜炎及過敏反應,重者可發生過敏性休克,並使其囊液中頭節播散移植至腹腔或胸腔內產生多發行繼發腹腔或胸腔棘球蚴。
2、肺棘球蚴病 以右肺多見,好發於下中肺葉。常無明顯的自覺症狀,而在體檢或胸透時發現,可出現胸部隱痛,刺激性咳嗽。在與支氣管相通時可咳出大量液體,並帶有粉皮樣囊壁和包蟲沙。在有繼發感染時可有高熱、胸痛,咳嗽及咳膿痰。偶爾可因大量囊液溢出與堵塞而引起窒息。
3、腦棘球蚴病 多見於兒童,以頂葉為常見,大多伴有肝與肺囊球蚴病,臨床症狀常有頭痛、視神經乳頭水腫等顱內高壓征,常有癲癇發作。其他器官如脾臟、心肌偶可寄生棘球,引起相應的症狀。
疾病病因
本病呈世界性分布,但畜牧業為主的國家多見。如澳大利亞、阿根廷、法國南部、土耳其、義大利等國。在我國則以新疆、青海、西藏、寧夏、內蒙、甘肅、四川等多見,河北、東北各省等也有散發病例。
1、傳染源 本病的傳染源是感染細粒棘球絛蟲的犬,其中卵對溫度耐受性好,適合於在牧區傳播。
2、傳播途徑 主要是人與狗密切接觸,蟲卵污染手指經口感染,此外,狗糞中蟲卵污染蔬菜或水源,尤其人畜共飲同一水源,也可招致感染。
3、易感人群 患者以青壯年農民與牧民維多,少數民主較民族維多。大多在兒童期感染,至青壯年發病。 病理生理(點擊查看詳細內容) 在人體棘球蚴所產生的損害主要是機械性的,自六鉤蚴發育成為棘球蚴,並逐漸增大,壓迫周圍的組織和細胞,影響其功能,或壓迫臨近臟器而產生症狀。因棘球有的發展非常緩慢,常在10年以後才出現症狀。 病理片面主要因囊腫占位性生長壓迫臨近器官所引起。肝包蟲囊逐漸長時,肝內膽小管受壓迫,並被包入外囊壁中,有時旦夕管因壓迫性壞死破書囊腔,使囊液染成黃色,並易引起繼發性細菌感染。肺包蟲囊可破如支氣管,角皮層鏇轉收縮,使內面向外翻出,使發發岑與頭節及囊液一起咳出,易並發。如果包蟲囊破入細支氣管,由於空氣進入內外囊之間,則可呈新月狀氣帶。如果大量囊液與頭節破數體腔可引起過敏性休克與繼發性包蟲囊腫。
診斷檢查
實驗室檢查:
細粒棘球蚴病(一)一般檢查 白細胞計數大多正常。嗜酸性粒細胞輕度增高。有繼發感染時白細胞及中性粒細胞比例增高。
(二)免疫學檢查
1、皮內試驗陽性率在96%左右,可作為臨床初篩,但應注意與結核病、豬囊尾蚴病、並殖吸蟲病有交叉免疫反應性。
2、血清免疫學試驗 包括瓊脂擴散,對流免疫電泳,間接血凝與ELISA等,其中以ELSA的靈敏度與特異性較高,對血親中抗體水平低的患者陽性率較高。上述各種血清免疫學實驗的陽性率以肝棘球蚴病最高。但與豬囊尾蚴病可呈交叉反應。
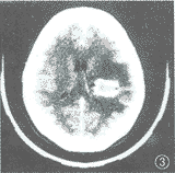
3、影像學檢查 B型超聲檢查對肝棘球蚴病的診斷具有重要價值可見到邊界明確的液性暗區,棋類可見到散在的光點或小光圈;對腎氣球油餅的診斷也有重要價值。CT掃描對肝棘球蚴病及腦、腎棘球蚴病的診斷也十分重要。此外腹部X線索平片上囊壁的圓形鈣化陰影及骨X線片上囊性陰影對診斷也很有重要意義。
診斷 對於來自流行區而肝臟、肺、腎或腦部發現有占位性病變者,應首先疑及本病而作進一步檢查。肝B超與CT掃描發現囊腫,有助於診斷。如肺棘球蚴病破入支氣管,患者咯出粉皮樣物質,顯微鏡下查到粉皮樣狀物,頭節或小鉤可確定診斷。 肝棘球蚴病應與非寄生蟲性肝囊腫相鑑別,腎棘球蚴病需與腎囊腫相鑑別。腦棘球蚴病需與腦囊尾蚴病、腦轉移瘤相鑑別。
治療方案
1、手術治療 目前仍以手術治療即摘
細粒棘球蚴病2、藥物治療 手術禁忌證或術後復發而無法手術者,可進行藥物療法。常用藥物是阿苯達唑,劑量為12—15mg/kg/d或0.8g/d,分2次服用。4周為1療程,間歇2周后再服1療程。共6—10個療程。有效率80%以上。本藥不良反應少而輕。長期服用對肝、心與造血器官均未見顯著損害、偶可引起可逆性白細胞減少與一過性血清ALT升高。該藥有致畸作用,孕婦禁用。
