簡介
第六腦室
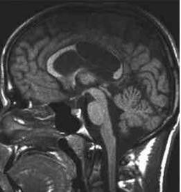
第六腦室(Verga氏腔)又稱穹隆狀腔,大多由海馬連合閉合不全所致,不屬於腦室系統,常由第五腦室向後擴展形成,亦可單獨存在。
第六腦室腦室是醫學術語,指腦內部的腔隙。
含義 組成《腦室外科手術學》是2001年中國協和醫科大學出版社出版的圖書,作者是張亞卓。
目錄,但病變側肢體出現共濟失調。當血腫逐漸增大破入第四腦室,可引起急性腦積水。嚴重...
臨床診斷 鑑別診斷 疾病症狀 疾病簡介 治療方法概述大黃 出自《神農本草經》 。陶弘景:大黃,今采益州北部汶山及西山者,雖非河西、隴西,好者猶作紫地錦色,味甚苦澀,色至濃黑,西...
概述 生境分布 藥品簡述 用藥禁忌 臨床套用測定給藥和對照家兔第三腦室灌流液內cAMP的水平。結果:小大黃可使感染性發熱家兔cAMP水平下降:給7隻家兔在24小時內進行3次腦室灌流,即體溫...方法同上。PGE測定方法採用李振甲等建立的放射性免疫測定方法,檢測第3腦室...
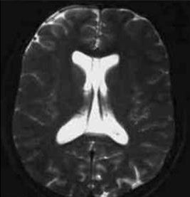
基本信息 植物形態 藥代動力學 藥理作用 商品化學成分簡介蛛網膜下隙在腦的溝、裂等處擴大,形成蛛網膜下池,亦稱腦池。此概念可與腦室概念一起理解,腦室即腦內部的腔隙,腦室系統包括側腦室、第三腦室和第四腦室(有時還可見第五或第六腦室),各腦室之間有小孔和管道相通。 成對腦...
簡介 腦池顯像概述大黃 出自《神農本草經》 。陶弘景:大黃,今采益州北部汶山及西山者,雖非河西、隴西,好者猶作紫地錦色,味甚苦澀,色至濃黑,西...
概述 生境分布 藥品簡述 用藥禁忌 臨床套用發現P物質(substance P,SP)是什麼物質呢?它也是意外發現的產物。1931年,英國生理學家戴爾正在研p物質的結構究...
發現 生理功能 研究進展 拮抗劑 研究P物質的材料