概述
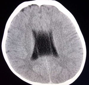
透明隔在側腦室之間,兩側之間有狹窄的腔隙,透明隔腔的上方為胼胝體,下方為穹隆。人們將透明隔腔、Verga腔、透明隔囊腫和Verga腔囊腫統稱為“透明隔腔”。
若兩側側腦室間的含液結構的兩側壁向兩側彎曲膨隆,且側壁間的距離大於或等於10mm,即為透明隔囊腫。
症狀
在CT或MRI上,透明隔的兩壁呈前後平行排列,直徑小於10mm,臨床無症狀,稱為透明隔腔。若在CT或MRI上,透明隔的兩壁向兩側彎曲膨隆,凸向兩側側腦室,兩壁間直徑大於等於10mm,多伴有可用該病變解釋的臨床症狀,稱為透明隔囊腫。透明隔囊腫與側腦室間不交通。
囊腫可分為先天性和後天獲得性。
分類
透明隔囊腫分為症狀性與非症狀性兩種,前者又稱為擴張性透明隔囊腫,它可造成室間孔的梗阻,產生頭痛、嘔吐、視乳頭水腫及意識障礙等顱壓增高症狀.當透明隔囊腫累及下丘腦-隔三角區或影響腦深部的靜脈回流時,可出現行為、自主神經以及感覺運動功能的異常.一旦發生腦積水,可壓迫視神經通路,引起神經眼科方面的症狀.根據MRI所見和臨床表現特點可確定診斷.套用腦的內窺鏡技術,施行透明隔囊腫-腦室造屢或分流手術,可解除梗阻性腦積水,迅速緩解臨床症狀。
診斷依據
要診斷膨脹性透明隔囊腫依據:1、腦室和腦池與該囊腫腔不交通;2、囊腔有分泌液體的能力。手術方式
1、直接開顱手術:手術創傷大,基本已經廢棄。
2、囊腫-腹腔分流術:
囊腔置管時盲目穿刺囊腫,可能造成囊腫壁或腦室內靜脈出血。
3、立體定向技術:立體定向可以準確定位,比開顱手術創傷小,在三維重建影影像下,手術術安全的,但是囊腫壁的開口不可能造的很大,本人經驗,最大4mm.
4、微創內鏡開窗技術:創傷小,但是徒手穿刺容易造成偏差。
5、立體定向引導或導航引導下的內鏡手術:結合和立體定向手術定位準確的優點和內鏡可視化的優點,應該說是目前治療透明隔囊腫的最佳方法。

