病因及常見疾病:
神經源性肺水腫的發病存在兩個可能的機制。其一為血循環動力學學說,其二為肺血管通透性學說。
(一)血循環動力學學說:
血循環中突然釋放大量兒茶酚胺後,出現體循環、肺循環血管收縮,血壓異常升高;而體循環的強烈收縮,導致循環血容量增多,因此肺循環血流量突發異常增多;從而引發肺循環血液向低壓處充盈,引起肺靜水壓的升高,從而導致肺毛細血管通透性受損害,進而導致肺水腫。
(二)肺血管通透性學說:
臨床上可觀察到有些神經源性肺水腫患者的血壓正常;提示神經源性肺水腫的發病機制可能非血壓及血流量所致,而是中樞神經系統直接作用於肺部所致。一方面,神經源性肺水腫發生時,大量釋放兒茶酚胺,可直接損傷肺部(肺毛細血管床富含α、β腎上腺素能受體),從而導致肺部通氣及血液灌注的不匹配,導致氧合障礙。另一方面,腦組織受損引起的兒茶酚胺大量釋放,繼發激活並釋放大量細胞因子,使得肺毛細血管通透性升高,也導致肺水腫。
鑑別診斷:
NPE臨床表現不典型,易與其他肺部疾患相混淆;急性呼吸困難及進行性低氧血症是NPE最重要的臨床表現。NPE早期可僅有一些非特異性表現,如呼吸急促、血壓升高、脈搏增快等;NPE晚期可出現的典型表現有呼吸困難急促、心動過速、發紺、咯粉紅色泡沫樣痰、肺部捻發音和濕囉音等,類似於ARDS,並且一般吸氧治療無效。NPE的發生與呼吸頻率有著密切的聯繫,可作為顱腦損傷後NPE的重要預警指標。
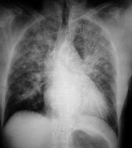
影像學檢查:
NPE早期X線及CT表現不明顯,可無異常或者僅有肺紋理增粗模糊等表現;典型X線及CT表現為雙肺彌散型肺泡浸潤,兩肺可見散在片狀陰影;晚期可表現為雙肺呈斑片狀或者雲霧狀陰影,以及典型的蝴蝶形陰影。NPE臨床症狀出現後可通過彩色超聲與心源性肺水腫加以鑑別,也可通過彩色超聲反應肺水情況。
治療原則
一般認為,治療的首要原則包括兩個方面,其一為治療中樞神經系原發病,降低顱內壓;其二為呼吸系統支持性治療,包括治療低氧血症等及循環系統液體控制。原發病的治療在神經源性肺水腫治療中具有關鍵性作用。及時治療如腦外傷、蛛網膜下腔出血或延髓病變等,緩解或降低高顱壓及腦組織水腫,是治療的基礎。原發病的治療及時與否,與神經源性肺水腫的治療效果密切相關。

