基本內容
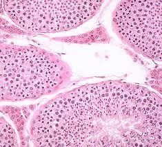
成群分布在曲精小管之間,胞體呈圓形,橢圓形或不規則形,胞體較大,直徑約20μm,胞質呈嗜酸性,細胞核呈圓形或卵圓形,常位於中央,染色較淡,有1~2個核仁。
從青春期開始,睪丸間質細胞受垂體前葉嗜鹼性細胞分泌的間質細胞刺激素(黃體生成素)的作用,能合成分泌雄性激素,可促進精子的發生和男性生殖器官發育,以及維持第二性徵和性功能。

睪丸間質細胞成群分布在曲精小管之間,胞體呈圓形,橢圓形或不規則形,胞體較大,直徑約20μm,胞質呈嗜酸性,細胞核呈圓形或卵圓形,常位於中央,染色較淡,有1~2個核仁線粒體多,呈管嵴狀,無分泌顆粒。
成群分布在曲精小管之間,胞體呈圓形,橢圓形或不規則形,胞體較大,直徑約20μm,胞質呈嗜酸性,細胞核呈圓形或卵圓形,常位於中央,染色較淡,有1~2個核仁。
從青春期開始,睪丸間質細胞受垂體前葉嗜鹼性細胞分泌的間質細胞刺激素(黃體生成素)的作用,能合成分泌雄性激素,可促進精子的發生和男性生殖器官發育,以及維持第二性徵和性功能。
睪丸畸形是男性先天發育障礙還是後天的眾多因素引起的睪丸的病變,均可以導致不育症。睪丸數量異常,包括無睪症,單睪丸,多睪丸。睪丸大小異常,發育不全而小於正...
睪丸概述 病理病因 引發疾病 診斷鑑別 睪丸不育促間質細胞激素是一個化學物,是受丘腦下部生成的黃體生成素釋放因子所促進的,問質細胞含有對LH有高度親合力及特異性的受體,LH對間質細胞有急性刺激作用,是一種激素。
簡介 刺激作用 抑制作用 催乳素的雙重作用又稱Sertoli細胞,呈不規則的高錐體形,細胞基部附著在基膜上,頂部伸至曲精小管腔面。
特點 生精中作用睪丸活體組織檢查(簡稱睪丸活檢)是一種具有診斷和治療雙重功能的臨床技術,是通過一種簡單的手術方法取出一小塊活體睪丸組織,進行病理切片組織學觀察,來了解睪...
定義 睪丸活檢意義及適應症 睪丸活體檢查術所要達到的目的 方法 可見病理改變①高分化:腫瘤由支持細胞瘤型和間質細胞瘤型兩種細胞成分組成。 ②中分化:腫瘤主要由未成熟的支持細胞組成,疏鬆結締組織內有大量間質細胞。 ⑤伴異源性成分:...
簡介 症狀 分類特徵 治療 參見睪丸女性化(testicularfeminization)一詞為Morris首先倡用,用以表達一組遺傳性別為男性,有睪丸,無苗勒管和午菲管衍化器官發育,...
症狀體徵 疾病病因 病理生理 診斷檢查 治療方案睪丸腫瘤並不常見,僅占全身惡性腫瘤的1%。根據世界各地的統計資料,睪丸腫瘤的發病有地區和種族差異,歐美發病率較高,中國較低,但因為以下原因睪丸腫瘤受到特...
概述 病理病因 病理改變 疾病特徵 臨床症狀睪丸異常通常包括:睪丸缺失,若明確診斷後,治療上主要是合理而適時地補充雄性激素,以使患者外生殖器得到較好的發育,但若使用雄性激素過早,可使骨骺閉合而影響...
疾病類型 危害 對生育的危害 對精子的危害 預防措施