簡介
瘧原蟲的孢子體瘧原蟲科(Plasmodiidae)是一類單細胞、寄生性的原生動物類群,屬於頂復門(Apicomplexa)孢子綱(Sporozoea)球蟲亞綱(Coccidia)真球蟲目(Eucoccidiida)血孢子亞目。
目前已知瘧原蟲種類有130餘種。主要寄生在人和哺乳類,少數在鳥類、爬蟲類等動物。 本屬生物中會使人類感染瘧疾。公認的寄生人體的瘧原蟲有4種,即間日瘧原蟲、惡性瘧原蟲、卵形瘧原蟲和三日瘧原蟲。前3種在人體的裂體生殖周期均為48小時,第四種為72小時。4種中以間日瘧原蟲和惡性瘧原蟲流行最廣,在亞、非、拉為害最烈。而其他種類的瘧原蟲會感染它種動物,包括其他靈長目動物、齧齒目動物、鳥類及爬蟲類。
瘧原蟲的生活史非常複雜。各種類的生活史基本相同,都需要人和瘧蚊兩個宿主。大體來說,在人體內瘧原蟲行無性生殖;在蚊子體內行有性生殖。在人體內的發育必須經過兩個時期,在肝細胞內發育的紅血球外期及在紅血球內發育的紅血球內期。紅血球外期紅血球外期(exo-erythrocyticcycle),簡稱紅外期,指的是瘧原蟲尚未進入紅血球前的階段;紅細胞內期紅血球內期(erythrocyticcycle),簡稱紅內期,指的是瘧原蟲已進入紅血球的階段。
瘧疾在中國的分布很廣,北起黑龍江、南至海南島、東起台灣和沿海各省、西至西藏,都有瘧疾發生。海南島惡性瘧原蟲為害最烈;華中主要為間日瘧原蟲;在雲南兩者都很流行。惡性瘧原蟲常引起兇險型症狀,特別是腦型瘧,可以致死。因此瘧疾是中國五大寄生蟲病之一。
構造
瘧原蟲的基本構造和一般的原生生物一樣,為細胞核、細胞質和細胞膜。環狀體(trophozoite,主要發育期第一階段)以後各期還含有瘧原蟲消化分解血紅蛋白後的產物,瘧色素(malarialpigment)。
分類
寄生人體的瘧原蟲有四種,包括惡性瘧原蟲(Plasmodiumfalciparum)、三日瘧原蟲(Plasmodiummalariae)、蛋形瘧原蟲(PlasmodiumOVALE)及間日瘧原蟲(Plasmodiumvivax)。
寄生於靈長類(人除外)的瘧原蟲有將近30個種和亞種。其中常被用作模型或供實驗用的有含蟹猴瘧原蟲和諾氏瘧原蟲,兩者對人都有一定的感染力。中國只有獵尾猴瘧原蟲的報導。此外常作模型的有寄生於鼠類的伯氏瘧原蟲、約氏瘧原蟲、芬氏瘧原蟲和夏氏瘧原蟲。寄生於鳥類的有雞瘧原蟲、鷳瘧原蟲、殘瘧原蟲等。
目前紀錄種約100餘種,以下僅介紹較常見的種類:
宿主為人
惡性瘧原蟲(Plasmodiumfalciparum),又稱熱帶瘧原蟲,惡性瘧的病原
三日瘧原蟲(Plasmodiummalariae),三日瘧的病原
卵型瘧原蟲(Plasmodiumovale),或稱蛋形瘧原蟲,卵形瘧的病原
間日瘧原蟲(Plasmodiumvivax),間日瘧的病原
宿主為人以外的靈長類
巴西瘧原蟲(Plasmodiumbrasilianum)
食蟹猴瘧原蟲(Plasmodiumcynomolgi)
諾氏瘧原蟲(Plasmodiumknowlesi)
許氏瘧原蟲(Plasmodiumschwetzi)
猿瘧原蟲(或稱吼猴瘧原蟲,Plasmodiumsimium)
宿主為鼠
伯氏瘧原蟲(Plasmodiumberghei)
夏氏瘧原蟲(Plasmodiumchabaudi)
約氏瘧原蟲(Plasmodiumyoelii)
宿主為鳥
雞瘧原蟲(Plasmodiumgallinaceum)
殘瘧原蟲(Plasmodiumrelictum)
特性
瘧原蟲的生活史中有兩種寄主,脊椎動物為終寄主,蚊為中間寄主(又稱媒介)。瘧原蟲有嚴格的宿主選擇性,如人體的瘧原蟲不能寄生其他動物,但也有極少數靈長類瘧原蟲偶可自然感染與其親緣相近的人體。
發現史
瘧原蟲的發現者是法國人查爾斯·路易士·阿馮斯·拉韋朗(CharlesLouisAlphonseLaveran)。1880年,當他在阿爾及利亞擔任外科醫生時,注意到瘧疾病人的紅血球里有一種微生物存在,他堅信這個微生物(即瘧原蟲)就是引起瘧疾的病原;這是首次發現原生動物會引起人類疾病。他因此發現及其他關於原生動物致病的研究獲得1907年的諾貝爾生理學或醫學獎。
英國內科醫生羅納德·羅斯爵士(SirRonaldRoss,1857-1932),在1897年擔任英國駐印度軍醫期間發現了寄生在瘧蚊胃中的瘧原蟲。因為他發現了瘧原蟲的傳染途徑,他獲得了1902年的諾貝爾生理學或醫學獎。而發現瘧蚊是唯一可傳播瘧原蟲的蚊子的人是義大利動物學家格拉西(GiovanniBattistaGrassi)。
生活史
所有瘧原蟲的生活史基本相同,需要人或動物和雌性按蚊兩個宿主。在人體內,瘧原蟲先後在肝細胞和紅細胞內進行無性生殖的裂體增殖。在紅細胞內,除裂體增殖外,瘧原蟲尚可形成配子體,開始有性生殖的初期發育。當雌性按蚊體叮咬人體後,配子體隨血液進入蚊體,完成配子生殖(gametogony),隨後開始孢子增殖(sporogony)。

在人體內發育
瘧原蟲在人體中的三種形態是:
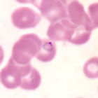
環狀體.滋養體(trophozoite,或稱活動體、營養體) 瘧原蟲進入紅血球後的型態,主要的目的是生長及攝食。滋養體的瘧原蟲以血紅蛋白為食;它們以半胱氨酸蛋白酶(plasmepsinenzymes)消化血紅蛋白。滋養體早期細胞核小,細胞質少,蟲體多呈環狀,故又稱之為“環狀體”(ringform)。接著,隨著蟲體的成長細胞核增大,細胞質增多,有時還會伸出偽足,且細胞內開始出現瘧色素。
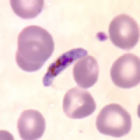
裂殖子.裂殖體(schizont) 滋養體成熟後,瘧原蟲的細胞核開始不斷的分裂。此階段稱為裂殖體。分裂到最後,細胞質也會分裂,每個核形成一個單獨的小細胞,稱為裂殖子(merozoite)。
配子體.配子體(gametocyte) 瘧原蟲經過數次裂殖體的階段後,一部分的裂殖子會侵入紅血球中發育。它們的細胞核不再分裂,反而增大;細胞質增多,步伸出偽足。最後會發育成為配子體。配子體的形狀從圓形到新月形不等,且有雌雄之分。雌體較大,雄體較小。
(1)紅細胞外期(Exo-erythrocyticcycle,簡稱紅外期,也稱紅細胞前期pre-erythrocyticstage):當唾液腺中帶有成熟子孢子(sporozoite)的雌性按蚊刺吸人血時,子孢子隨唾液進入人體,在30分鐘內隨血流侵入肝細胞,子孢子在肝細胞內變成圓形滋養體,通過攝取肝細胞內營養進行發育和裂體增殖,變為成熟的紅外期裂殖體。各種瘧原蟲在肝細胞內和紅細胞內發育時間和每個入侵的子孢子所產生的裂殖子數不同。

感染肝細胞因蟲體成熟而被脹破後,裂殖子釋出,一部分被巨噬細胞吞噬,其餘則侵入紅細胞,開始紅細胞內期的發育。
目前認為間日瘧原蟲和卵形瘧原蟲的子孢子具有遺傳學上不同的兩種類型,即速髮型子孢子(tachysporozoites,TS)和遲髮型子孢子(bradysporozoites,BS)。當子孢子進入肝細胞後,速髮型子孢子繼續完成紅外期的裂體增殖;而遲髮型子孢子視蟲株的不同,經過一段或長或短(數月至年余)的休眠期後,才完成紅外期的裂體增殖。處於休眠期的子孢子被稱為休眠子(hypnozoite)。惡性瘧原蟲和三日瘧原蟲無休眠子。
(2)紅細胞內期(erythrocyticcycle,簡稱紅內期):紅外期的裂殖子從肝細胞釋放出來,進入血流後很快侵入紅細胞,全過程約為10-15分鐘。
入侵的裂殖子先形成環狀體,攝取營養,生長發育,分裂增殖,經大滋養體、未成熟裂殖體,最後形成含有一定數目裂殖子的成熟裂殖體。紅細胞破裂後,裂殖子釋出。一部分裂殖子被巨噬細胞消滅,其餘裂殖子在數秒鐘內即可侵入其它正常紅細胞,重複其紅內期的裂體增殖過程。完成一代紅內期裂體增殖,不同蟲種所需時間如下表所示。惡性瘧原蟲的早期滋養體在外周血液中經十幾小時的發育,逐漸隱匿於微血管、血竇或其他血流緩慢處,繼續發育成晚期滋養體及裂殖體,這2個時期在外周血液中一般不易見到。

瘧原蟲經幾代紅內期裂體增殖後,部分裂殖子侵入紅細胞後不再進行裂體增殖而發育成雌、雄配子體。惡性瘧原蟲的配子體主要在肝、脾、骨髓等器官的血竇或微血管里發育,成熟後始出現於外周血液中,約在無性體出現後7~10天才見於外周血液中。間日瘧原蟲的配子體則在紅內期血症的2~3天后出現。配子體的進一步發育需在蚊胃中進行,否則在人體內約經30~60天即衰老變性,繼而被吞噬細胞吞噬。瘧原蟲無性期在人體記憶體活時間較長,其平均年齡惡性瘧原蟲為9~12個月,間日瘧原蟲約2年,三日瘧原蟲約3年(個別可長達50年)。
在按蚊體內的發育
當雌性按蚊叮咬病人或帶蟲者血液時,在紅細胞內發育的各期原蟲可隨血液進入蚊胃,僅雌、雄配子體繼續發育,其餘各期原蟲均被消化。在蚊胃內,雌、雄配子體發育成雌、雄配子。雄配子(malegamete)鑽進雌配子體(femalegamete)體內,受精形成合子(zygote)。合子逐漸變長,可遊動,成為動合子(ookinete)。動合子能穿過蚊胃壁,在胃彈性纖維膜下形成圓球形的卵囊(oocyst)。隨著卵囊增大,囊內的核和胞質經反復分裂進行孢子增殖,生成成千上萬個子孢子(圖8-4)。子孢子隨卵囊破裂釋出,或由囊壁上的微孔逸出,隨血淋巴集中於按蚊的唾腺。
危害
當受染蚊再次吸血時,子孢子即可隨唾液進入人體,又開始在人體內發育。在適宜條件下,各種瘧原蟲在按蚊體內發育成熟所需時間的時間如上表所示。
瘧原蟲寄生在紅血球內時,會造成紅血球變形。不同種類的瘧原蟲會使紅血球呈現不同的形狀(也是辨別瘧原蟲種類的重要方法之一):
.被間日瘧原蟲寄生的紅血球會變大,顏色變淺,後期出現微小的紅色薛氏點(Schüffner'sdots)
.被卵形瘧原蟲寄生的紅血球會變大,顏色變淺,有明顯粗大的紅色薛氏點(Schüffner'sdots)
.被惡性瘧原蟲寄生的紅血球會有粗大的紫褐色茂氏點(Maurer'sdots)
.被三日瘧原蟲寄生的紅血球會有微小紅色的齊氏點(Ziemann'sdots)
檢驗
使用姬姆薩染劑(Giemsa'sStain)或瑞氏染劑(Wright'sstain)染色後,核呈紫紅色,胞質為深藍色,瘧色素呈棕或黑褐色。這也是血液檢驗中檢驗瘧原蟲的方法之一。
