發現史
瘧原蟲的發現者是法國人查爾斯·路易士·阿馮斯·拉韋朗(Charles Louis Alphonse Laveran)。1880年,當他在阿爾及利亞擔任外科醫生時,注意到瘧疾病人的紅血球里有一種微生物存在,他堅信這個微生物(即瘧原蟲)就是引起瘧疾的病原;這是首次發現原生動物會引起人類疾病。他因此發現及其他關於原生動物致病的研究獲得1907年的諾貝爾生理學或醫學獎。
英國內科醫生羅納德·羅斯爵士(Sir Ronald Ross,1857-1932),在1897年擔任英國駐印度軍醫期間發現了寄生在瘧蚊胃中的瘧原蟲。因為他發現了瘧原蟲的傳染途徑,他獲得了1902年的諾貝爾生理學或醫學獎。而發現瘧蚊是 唯一可傳播瘧原蟲的蚊子的人是義大利動物學家格拉西(Giovanni Battista Grassi)
生活史
寄生於人的間日瘧原蟲的生活史可分3個時期:①裂體生殖,在人體中進行。帶蟲的媒介雌按蚊(在中國主要為中華按蚊、大劣按蚊、微小按蚊的唾液中有許多細小長形的子孢子,蚊吸入血時,子孢子隨唾液注入人體血中,在半小時內即進入肝臟的實質細胞並在那裡行裂體生殖,這一階段稱紅細胞外期。紅細胞外期短的為7天,可產生1萬以上的裂殖子。有的子孢子進入肝細胞不馬上發育,而呈休眠狀態,稱休眠子。數月、1年、甚至更長的時間之後,才開始裂體生殖形成裂殖子。所有在肝細胞中形成的裂殖子,都不重新感染新的肝細胞,而是直接進入血液侵入紅細胞中,開始紅細胞內的裂體生殖,這一階段稱紅細胞內期。裂殖子先形成早期的滋養體,此時細胞質包圍了一大空泡,並與核形成戒指狀,特稱為環狀體期。早期滋養體用胞口吞食紅細胞的細胞質,不斷長大,統稱滋養體。此時經消化吸收後殘留下的血紅蛋白的血紅素,在蟲體內成為許多黃褐色的顆粒狀物,稱為瘧色粒。與此同時,紅細胞膜出現點狀損傷,用吉氏液染色時呈現淡紅色小點,稱薛氏點。滋養體長大之後,核開始連續分裂,即所謂裂殖體。裂殖體成熟時(核數目12~24個,通常16個),核分裂停止,細胞質圍繞著核開始分割成與核數目相等的裂殖子,裂殖子的集團在未破紅細胞而出之前合稱為分裂體。紅細胞破裂,分裂體中的裂殖子散出,各侵入一個新的紅細胞,再重複其紅細胞內的裂體生殖。每個無性生殖(即裂體生殖周期)就是裂殖子侵入紅細胞至下一代裂殖子破紅細胞而出的一個周期,共需48小時。每當紅細胞破裂,裂殖子散出時,其瘧色粒和其他代謝產物進入血液,使患者最初出現寒戰繼而發高熱。②配子生殖,從人體開始,在蚊胃完成。在人體紅細胞中進行反覆裂體生殖後,一部分進入紅細胞的滋養體不再進行裂體生殖(即核不再分裂),而是長成雌配子母細胞或雄配子母細胞。當媒介按蚊吸病人的血時,雌雄配子母細胞便進入蚊胃,雄配子母細胞核分裂成4~8個,隨即有4~8條細胞質的絲狀突出,每一條含一個核,稱出絲,最後形成相同數目的絲狀小配子,雄性。每一雌配子母細胞在蚊胃中進一步成熟為一個大配子,雌性。雄配子在胃中與雌配子結合成合子,完成了配子生殖的過程。③孢子生殖,在蚊體中進行。受精後的合子延長成錐狀,能動,故稱動合子。動合子穿過胃壁在血腔一側的蚊胃彈性纖維膜下形成了圓形的卵囊,卵囊逐漸增大,突出在胃腔中,其中的核進行反覆分裂,最後移入突出的細胞質中形成眾多的長形或新月形的子孢子。子孢子鑽破卵囊而出,進入蚊的血體腔中,隨蚊的血淋巴到達蚊的唾液腺內。在外界溫度為25℃時,約需8~12天完成。
分類
宿主為人
惡性瘧原蟲( Plasmodium falciparum),又稱熱帶瘧原蟲, 惡性瘧的病原
三日瘧原蟲( Plasmodium malariae), 三日瘧的病原
卵型瘧原蟲( Plasmodium ovale),或稱蛋形瘧原蟲, 卵形瘧的病原
間日瘧原蟲( Plasmodium vivax), 間日瘧的病原
宿主為人以外的靈長類
巴西瘧原蟲( Plasmodium brasilianum)
食蟹猴瘧原蟲( Plasmodium cynomolgi)
諾氏瘧原蟲( Plasmodium knowlesi)
許氏瘧原蟲( Plasmodium schwetzi)
猿瘧原蟲(或稱吼猴瘧原蟲, Plasmodium simium)
宿主為鼠
伯氏瘧原蟲( Plasmodium berghei)
夏氏瘧原蟲( Plasmodium chabaudi)
約氏瘧原蟲( Plasmodium yoelii)
宿主為鳥
雞瘧原蟲( Plasmodium gallinaceum)
殘瘧原蟲( Plasmodium relictum)
基本構造
瘧原蟲的基本構造和一般的原生生物一樣,為細胞核、細胞質和細胞膜。環狀體(trophozoite,主要發育期第一階段)以後各期還含有瘧原蟲消化分解血紅蛋白後的產物,瘧色素(malarial pigment)。
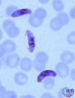
使用姬姆薩染劑(Giemsa's Stain)或瑞氏染劑(Wright's stain)染色後,核呈紫紅色,胞質為深藍色,瘧色素呈棕或黑褐色。這也是血液檢驗中檢驗瘧原蟲的方法之一。瘧原蟲寄生在紅血球內時,會造成紅血球變形。不同種類的瘧原蟲會使紅血球呈現不同的形狀(也是辨別瘧原蟲種類的重要方法之一)[2]:
被間日瘧原蟲寄生的紅血球會變大,顏色變淺,後期出現微小的紅色 薛氏點(Schüffner's dots)
被卵形瘧原蟲寄生的紅血球會變大,顏色變淺,有明顯粗大的紅色 薛氏點(Schüffner's dots)
被惡性瘧原蟲寄生的紅血球會有粗大的紫褐色 茂氏點(Maurer's dots)
被三日瘧原蟲寄生的紅血球會有微小紅色的 齊氏點(Ziemann's dots)
地理分布
瘧疾在中國的分布很廣,北起黑龍江、南至海南島、東起台灣和沿海各省、西至西藏,都有瘧疾發生。海南島惡性瘧原蟲為害最烈;華中主要為間日瘧原蟲;在雲南兩者都很流行。惡性瘧原蟲常引起兇險型症狀,特別是腦型瘧,可以致死。因此瘧疾是中國五大寄生蟲病之一。
寄生於靈長類(人除外)的瘧原蟲有將近30個種和亞種。其中常被用作模型或供實驗用的有含蟹猴瘧原蟲和諾氏瘧原蟲,兩者對人都有一定的感染力。中國只有獵尾猴瘧原蟲的報導。此外常作模型的有寄生於鼠類的伯氏瘧原蟲、約氏瘧原蟲、芬氏瘧原蟲和夏氏瘧原蟲。寄生於鳥類的有雞瘧原蟲、鷳瘧原蟲、殘瘧原蟲等。

