異層地衣簡介
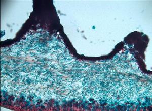
異層地衣葉狀地衣的構造,可分為上皮層、藻胞層、髓層和下皮層。上皮層和下皮層均由緻密交織的菌絲構成。藻胞層是在上皮層之下由少量藻類細胞聚集成1層。髓層介於藻胞層和下皮層之間,由一些疏鬆的菌絲和藻細胞構成,這樣的構造稱“異層地衣”(heteromerous lichen),如蜈蚣衣屬(Physcia)、梅衣屬(Parmelia)。
葉狀地衣一般為異層地衣,殼狀地衣多為同層地衣,也有異層地衣。枝狀地衣為異層地衣。
區別
地衣區別① 葉狀地衣分為上皮層、藻胞層、髓層和下皮層。上下皮層是由橫向分裂的菌絲緊密交織而成,特稱為假皮層。上皮層內常含大量色素。藻細胞分布於上皮層之下,成層排列的,稱為異層地衣;散亂分布的,稱為同層地衣。在異層地衣中,藻胞層之下和下皮層之上為髓層,在同層地衣中則無藻胞層和髓層的區別。
② 一般典型的殼狀地衣多缺乏皮層或只有上皮層。

