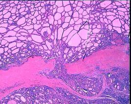
病理改變
(1)肉眼觀:結節狀,包膜不完整,境界較清楚, 切面灰白、質軟。(2)鏡下:可見不同分化程度的濾泡,有時分化好的濾泡癌很難與腺瘤區別,須多處取材、切片,注意是否有包膜和血管侵犯加以鑑別;分化差的呈實性巢片狀,瘤細胞異型性明顯,濾泡少而不完整。少數病例由嗜酸性癌細胞構成,稱為嗜酸細胞癌(acidophilic cell carcinoma)。
檢查
甲狀腺掃描
甲狀腺掃描:因甲狀腺癌組織般對放射性同位素缺乏親和性可 用Ⅰ或mTC進行甲狀腺掃描癌多為冷結節這並非特殊診斷方法因甲狀腺囊腫膿腫腺瘤也可為冷結節應結合其他條件進行診斷
血清
血清Tg常增高切除分化的腫瘤後恢復正常Tg的水平與腫瘤的組織結構或甲狀腺腫瘤'>甲狀腺腫瘤的良惡性無關
超聲檢查
超聲檢查:可發現腫塊是否為囊性其他甲狀腺功能試驗正常但橋本甲狀腺炎(Hashimoto thyroiditis又稱慢性淋巴細胞性甲狀腺炎)可並發甲狀腺癌併發症:甲狀腺癌可以並發哪些疾病? 腫瘤迅速變大壓迫氣管浸潤食管及喉返神經而出現呼吸困難聲音嘶啞吞咽食物時有阻塞感等併發症;嚴重者還可發生肺轉移及骨轉移
預防保健
.儘量避免兒童期頭頸部X線照射 .保持精神愉快,防止情志內傷,是預防本病發生的重要方面 .針對水土因素,注意飲食調攝,經常食用海帶海蛤紫菜及採用碘化食鹽但過多地攝入碘也是有害的實際上它也可能是某些類型甲狀腺癌的另種誘發因素 .甲狀腺癌患者應吃富於營養的食物及新鮮蔬菜,避免肥膩香燥辛辣之品 .避免套用雌激素,因它對甲狀腺癌的發生起著促進作用 .對甲狀腺增生性疾病及良性腫瘤應到醫院進行積極正規的治療 .甲狀腺癌術後放化療後積極採用中西醫藥物預防治療是提高療效的有效方法 .積極鍛鍊身體,提高抗病能力

