疾病介紹
甲狀腺乳頭狀癌最常見,惡性度也最輕。約占甲狀腺癌的半數,多見於兒童或年輕(40歲前)女性患者,有些患者在兒童時期曾作過頸部x線治療。腫瘤生長緩慢,可在甲狀腺內局限數年,病灶可經腺內淋巴管自原發部位擴散至腺體的其他部位和局部淋巴結,也可局限數年,故易忽視其性質。病理可見分化良好的柱狀上皮呈乳頭狀突起,核清晰伴嗜酸性細胞漿,常可見同心園的鈣鹽沉積。臨床上除捫及結節或局部淋巴結腫外,表現較少。甲狀腺核素掃描時呈冷結節; 頸部X線檢查可顯示瘤體有細點狀或同心園鈣鹽沉著。乳頭狀癌可由TSH的刺激而生長,用甲狀腺激素可使之縮小。手術如包膜完整而無轉移者,壽限正常。如有血管侵犯,則80%患者約有10年存活率。
疾病病因
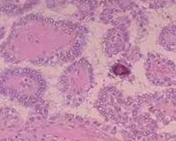
1、肉眼觀:腫瘤一般呈圓形,直徑約2cm~3cm,無包膜,質地較硬,切面灰白,部分病例有囊形成,囊內可見乳頭,故稱為乳頭狀囊腺癌(papillary cystadenocarcinoma),腫瘤常伴有出血、壞死、纖維化和鈣化。
2、鏡下:乳頭分枝多,乳頭中心有纖維血管間質(真乳頭),間質內常見呈同心圓狀的鈣化小體,即砂粒體(psammoma bodies) ,有助於診斷。乳頭上皮可呈單層或多層,癌細胞可分化程度不一,核染色質少,常呈透明或毛玻璃狀,無核仁。乳頭狀癌有時以微小癌(microcarcinoma)出現,癌直徑小於1cm,臨床又稱之為“隱匿性癌”(occult carcinoma)。多在屍檢中或因其他疾病進行甲狀腺切除時發現或因頸部淋巴結轉移才被注意。甲狀腺微小癌預後較好,遠處轉移也少見。
疾病症狀
甲狀腺癌的病理組織學類型有乳頭狀癌、濾泡型癌、髓樣癌、未分化癌四大類,其中乳頭狀癌有一些獨特的病理形態及生物學行為上的特徵:⑴全為或幾乎全部為濾泡結構而無乳頭結構,但只要癌細胞核呈現乳頭狀癌的特徵性改變時,則診斷乳頭狀癌而不是濾泡型癌;⑵甲狀腺有濾泡型腺瘤但無乳頭狀腺瘤,即出現乳狀結構時是不是就可以診斷癌,如不是癌,又沒有乳頭狀腺瘤,那又診斷什麼以及如何鑑別,⑶乳頭狀癌的診斷不象濾泡型癌那樣,要找血管、包膜侵犯,只要具備癌細胞核的特徵,不論病灶多么局限於包膜內或小到顯微鏡下才能找到的微小病灶也可以診斷,那么這些特徵性的核改變如何掌握等許多病理組織學診斷基本要點有時並不是很清楚的,有必要將其歸納和分析。
在四種甲狀腺癌中,髓樣癌及未分化癌一般不易混淆,而抓住了乳頭狀癌的診斷特徵後,剩下的就是濾泡型癌了。因此,掌握乳頭狀癌的病理組織學要點是十分重要的。
乳頭狀癌的病理組織學要點:
組織結構:⑴呈浸潤性生長;⑵間質常硬化;⑶多分枝細長乳頭;⑷常有濾泡,呈扁圓形,此時乳頭結構則分枝減少、濾泡含深染膠質; ⑸出現砂粒體,是乳頭狀癌特徵性標誌,有時僅見砂粒體未見乳頭結構,但多取材多切片時就會找到乳頭結構的。應注意與鈣化的膠質鑑別,砂粒體位於間質中,而鈣化膠質位於腺腔內。
檢查方法
1、甲狀腺掃描:因甲狀腺癌組織般對放射性同位素缺乏親和性可用Ⅰ或mTC進行甲狀腺掃描癌多為冷結節這並非特殊診斷方法因甲狀腺囊腫膿腫腺瘤也可為冷結節應結合其他條件進行診斷
2、血清Tg常增高切除分化的腫瘤後恢復正常Tg的水平與腫瘤的組織結構或甲狀腺腫瘤'>;甲狀腺腫瘤的良惡性無關。
3、超聲檢查:可發現腫塊是否為囊性其他甲狀腺功能試驗正常但橋本甲狀腺炎(Hashimoto thyroiditis又稱慢性淋巴細胞性甲狀腺炎)可並發甲狀腺癌。
腫瘤迅速變大壓迫氣管浸潤食管及喉返神經而出現呼吸困難聲音嘶啞吞咽食物時有阻塞感等併發症;嚴重者還可發生肺轉移及骨轉移。
鑑別診斷
甲狀腺腫塊生長較速,有轉移灶,且有明顯壓迫症狀,甲狀腺功能減退,甲狀腺掃描多冷結節,或發現甲狀腺CT掃描及MRI影像有異常及轉移現象,最後診斷應根據病理活檢,明確為甲狀腺乳頭狀癌。
併發症
腫瘤迅速變大,壓迫氣管,浸潤食管及喉返神經而出現呼吸困難。
治療方法
手術切除,術後放療加化療,中藥治療,1983年,北川勛首次從紅參中分離出20(S)-人參皂苷-Rh2。現在已經證實人參皂苷Rh2具有誘導癌細胞凋亡、分化及調控細胞周期的抗癌活性,通過增強人體的自然免疫能力,抑制癌細胞增殖和轉移的作用。
護理
甲狀腺切除及頸淋巴結清掃後,一些患者可能會出現手術相關的併發症,如喉返神經損傷造成聲音嘶啞、進食嗆咳,甲狀旁腺損傷造成低鈣血症,四肢面部麻木甚至抽搐,頸部神經損傷造成的相應功能障礙等。患者出院時並不能全部恢復正常,需要在隨診過程中加以觀察、建議,輔助功能的恢復。尤其對全甲狀腺切除後,甲狀旁腺受到損傷,部分患者出現低鈣血症,應及時將鈣劑補充,方法包括口服或靜脈輸注鈣劑,以儘量達到或接近正常血鈣水平。出院後仍應定期複查血鈣及甲狀旁腺素水平,繼續補充鈣劑。對喉返神經及頸部其他神經損傷者,應指導患者進行功能訓練,以儘快恢復或代償受損的神經功能。
預防措施
1.儘量避免兒童期頭頸部X線照射。
2.保持精神愉快,防止情志內傷,是預防本病發生的重要方面。
3.針對水土因素,注意飲食調攝,經常食用海帶,實際上它也可能是某些類型甲狀腺癌的另一種誘發因素。
4.甲狀腺癌患者應吃富於營養的食物及新鮮蔬菜,避免肥膩。
5.避免套用雌激素,因它對甲狀腺癌的發生起著促進作用。
6.對甲狀腺增生性疾病及良性腫瘤應到醫院進行積極。
7.甲狀腺癌術後積極採用中西醫藥物預防治療是提高療效的有效方法。
8.積極鍛鍊身體,提高抗病能力。

