疾病介紹
牙齒磨損分為生理性和病理性磨損。生理性磨損中,牙齒組織生理性磨耗的程度與年齡是相稱的,垂直向的牙齒磨耗可通過根尖牙骨質增生和被動萌出來代償。關於釉質生理性磨耗量有不同的報導:有學者報導約每年29(20~38)μm,但有人認為該喪失量僅用半年就可達到。臨床上,常由某種因素引起個別牙或一組牙,甚至全口牙的磨損不均或過度磨損,即為病理性磨損。
發病原因
牙齒組織機構不完善
發育和礦化不良的釉質與牙本質易出現磨損。
咬合關係不良,咬合力負擔過重
無咬合關係的牙齒不發生磨損,甚至沒有磨耗;深復?、對刃咬合或有咬合干擾的牙齒磨損重。牙齒缺失過多或牙齒排列紊亂可造成個別牙或一組牙負擔過重而發生磨損。
硬食習慣
多吃粗糙、堅硬食物的人,如古代人、少數民族,全口牙齒磨損較重。而現代人食物精製,如無其他因素作用,全口牙齒的磨損一般較古代人輕。
不良習慣
工作時咬緊牙或磨牙等不良習慣可以造成局部或全口牙齒的嚴重磨損;以牙咬物等不良習慣可造成牙齒特定部位的過度磨損。
全身性疾病
胃腸功能紊亂、神經官能症或內分泌紊亂等導致的咀嚼功能失調而造成牙齒磨損過度。唾液減少或唾液內蛋白含量減少,降低了對牙齒的潤滑作用而使牙齒磨損增加。磨牙症患者在非生理狀態下咀嚼肌不自主收縮,不分晝夜磨牙或咬緊導致全口牙齒嚴重磨損。
病理生理
因磨損而暴露的牙本質小管內成牙本質細胞突逐漸變性,形成死區或透明層,相應部位近髓端有修復性牙本質形成,牙髓發生營養不良性鈣變。修復性牙本質形成的量因牙本質暴露的面積、速度和牙髓反應而定。
臨床表現
牙齒磨損從表面向深層進行,在牙外表發生變化以的同時陸續出現不同的併發症。
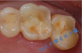
釉質部分磨損,露出黃色牙本質或出現小凹面。當釉質全部磨損後,咬合面除了周圍環以半透明的釉質外,均為黃色光亮的牙本質。一些磨損快、牙本質暴露迅速的病例可出現牙本質過敏症。
磨損達牙本質中層後,牙髓可因長期受刺激而發生漸近性壞死或髓腔閉鎖。牙本質繼續迅速磨損,可使髓腔暴露引起牙髓病和根尖周病。
因磨損不均還可形成銳利的釉質邊緣和高陡牙尖,如上頜磨牙頰尖和下頜磨牙舌尖,使牙齒在咀嚼過程受到過大的側方咬合力,產生咬合創傷;或因磨損形成充填式牙尖造成對牙齒食物嵌塞,發生齦乳頭炎,甚至牙周炎;過銳的牙尖和邊緣還可能刺激頰、舌側黏膜,形成黏膜白班或褥瘡性潰瘍。
全口牙齒磨損嚴重,牙冠明顯變短,頜間距離過短可出現關節後壓迫症狀,並導致顳下頜關節病變。
磨損指數
牙齒磨損的程度用磨損指數(tooth wear index,TWI)表示。Smith和Knight(1984)提出的,包括牙齒的咬合面、頰(唇)、舌面、切緣以及牙頸部的磨損程度在內的牙齒磨損指數較適合臨床套用。
0度 釉面特點未喪失,牙頸部外形無改變;
1度 牙面特點喪失,牙頸部外形喪失極少量;
2度 釉質喪失,牙本質暴露少於?面的1/3,切緣釉質喪失剛暴露牙本質,牙頸部缺損深度在1mm 以內;
3度 釉質喪失,牙本質暴露多於?面的1/3,切緣釉質和牙本質喪失,但尚未暴露繼發牙本質和牙髓,牙頸部缺損深達1~2mm;
4度 釉質完全喪失,牙髓暴露或繼發牙本質暴露,切緣的繼發牙本質或牙髓暴露,牙頸部缺損深大於2mm。
疾病治療
去除病因
如改變不良習慣、調整咬合、修復缺失牙,治療引起牙齒磨損的全身疾病等。
對症治療
磨損引起的牙本質過敏症可行脫敏治療;個別牙齒重度磨損,與對頜牙之間有空隙的、深的小凹面用充填法治療恢復咬合接觸;對磨損不均造成的高陡牙尖和楔形牙尖已進行調磨;引起牙髓、根尖周疾病或牙周疾病者做相應的牙髓治療或牙周治療。
牙齒組織缺損嚴重者可在牙髓治療後用高嵌體或全冠修復。多個牙齒重度磨損可用?墊適當抬高頜間距離

