病因
外力直接撞擊是牙折的常見原因。也可因咀嚼時咬到砂石、碎骨等硬物。
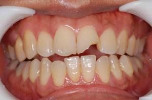
臨床表現
按牙齒的解剖部位可分為冠折、根折和冠根聯合折三型。就其損傷與牙髓的關係而言,牙折又可分為露髓和未露髓兩大類。 1.冠折 又可分為橫折和斜折;後牙冠折可分為斜折和縱折(圖3A)。
2.根折 外傷性根折多見於牙根完全形成的成人牙齒,因為年輕恆牙的支持組織不如牙根形成後牢固,在外傷時常常被撕脫或脫位,一般不致引起根折。引起根折的上力多為直接打擊和面部著地時的撞擊。根折按其部位可分為頸側1/3、根中1/3和根尖1/3(圖3B)。最常見者為根尖1/3。其折裂線與牙齒長軸垂直或有一定斜度,外傷性縱折很少見。X線片檢查是診斷根折的重要依據,但不能顯示全部根折病例。攝片時中心射線必須與折裂線一致或平行時,方能在X線片上顯示折裂線;如果中心射線與折裂線的角度大於正、負15° ~20°時,很難觀察到折裂線;同時,只有當中心射線相應處的礦物成分減少6.6%以下時,稀疏區才能在X線片上觀察到。X線片不僅有助於根折的診斷,而且也便於複查時比較。
一些患牙就診時,牙髓活力測試無反應,但6~8周后可出現反應。據推測,無活力反應是牙髓在外傷時血管和神經受損傷所引起的“ 休克 ”所致;隨其“休克”的逐漸恢復而再出現活力反應。
根折恆牙的牙髓壞死率為20%~24%,而無根折外傷恆牙的牙髓壞死率為38%~59%,其差別可能是因為根折斷端的間隙,利於 牙髓炎 症引流的緣故。根折後是否發生牙髓壞死,主要取決於所受創傷的嚴重程度,斷端的錯位情況和冠側段的動度等因素。根折時可有牙齒鬆動、叩痛,如冠側斷端移位可有齦溝出血,根部黏膜觸痛等。有的根折早期無明顯症狀,數日或數周后才逐漸出現症狀,這是由於水腫和咬合使根折斷端分離所致。
3.冠根折 占牙外傷總數的一小部分,以斜行冠根折多見,牙髓常暴露。
4.縱折 多見於後牙,以第一磨牙的發生率最高,第二磨牙次之,說明力是致病的主要因素。此外,無髓牙和牙體缺損較大者,其發生率占80%以上。
縱折的直接誘因中,咀嚼硬物占很大比例。
牙齒縱折後,最明顯的症狀是咀嚼痛,其次為伸長感。牙根縱折者還有深淺不等的牙周袋,X線片可輔助診斷。
併發症
牙折的併發症常見的是牙槽骨折。

