原因
牙的咀嚼磨損的病因
咀嚼過程中造成。
檢查
牙的咀嚼磨損的檢查診斷
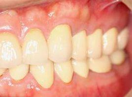
咀嚼磨損亦稱磨耗(attrition),一般發生在牙面或切緣,但在牙列紊亂時,亦可發生在其它牙面。由於乳牙的存留時間比恆牙短,,因此其咀嚼磨損的程度不如恆牙。恆牙萌出數年至數十年後,後牙牙面和前牙切緣就有明顯的咀嚼磨損。開始在牙齒的尖或嵴上出現光滑的小平面,切緣稍變平;隨著年齡的增長,咀嚼磨損也更加明顯,牙高度降低,牙斜面變平,同時牙齒近遠中徑變小。在牙齒的某些區域,釉質完全被磨耗成銳利的邊緣,牙本質暴露。咀嚼時由於每個牙齒均有輕微的動度,相鄰牙齒的接觸點互相摩擦,也會發生磨損,使原來的點狀接觸成為面狀接觸,很容易造成食物嵌塞、鄰面齲,以及牙周疾病。
鑑別診斷
牙的咀嚼磨損的鑑別診斷
根據臨床表現診斷多無困難,但要鑑別生理性的磨損和病理性的磨損。
牙齒的磨損是一種生理現象,對牙齒支持組織和咀嚼功能都有益處。
牙齒硬組織發育不全時所產生的過早磨損,人類演化頜系統退化所引起的牙列不齊,以及由此產生的不均勻磨損,都屬於病理性的磨損。
咀嚼磨損亦稱磨耗(attrition),一般發生在牙面或切緣,但在牙列紊亂時,亦可發生在其它牙面。由於乳牙的存留時間比恆牙短,,因此其咀嚼磨損的程度不如恆牙。恆牙萌出數年至數十年後,後牙牙面和前牙切緣就有明顯的咀嚼磨損。開始在牙齒的尖或嵴上出現光滑的小平面,切緣稍變平;隨著年齡的增長,咀嚼磨損也更加明顯,牙高度降低,牙斜面變平,同時牙齒近遠中徑變小。在牙齒的某些區域,釉質完全被磨耗成銳利的邊緣,牙本質暴露。咀嚼時由於每個牙齒均有輕微的動度,相鄰牙齒的接觸點互相摩擦,也會發生磨損,使原來的點狀接觸成為面狀接觸,很容易造成食物嵌塞、鄰面齲,以及牙周疾病。
緩解方法
牙的咀嚼磨損的預防方法
改正咀嚼硬食的習慣和不良口腔習慣,如單側咀嚼等。

