疾病介紹
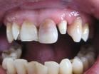
牙體缺損常常對咀嚼、發育、面容、牙髓、牙周組織甚至對全身健康等產生不良影響。一般的牙體缺損可以採用充填的方法治療,但如果牙體缺損嚴重,剩餘牙體組織薄弱,無法為充填體提供良好的固位,剩餘牙體本身和充填體無法達到足夠的強度,或者為了達到更高的美觀要求時,單純用充填治療不能獲得滿意的效果,就應採用修復治療的方法。牙體缺損的修復是用人工製作的修復體恢復缺損牙的形態、功能和美觀。用於牙體缺損修復治療的修復體包括嵌體、部分冠、全冠和樁核冠等。
發病原因
牙體缺損最常見的原因是齲病,其次是外傷、磨損、楔狀缺損、酸蝕和發育畸形等。
齲病
齲病是由於細菌的作用造成牙體硬組織脫礦和有機物分解,表現為牙體硬組織的變色、脫鈣軟化和齲洞形成,病變進一步發展可伴隨牙髓充血、牙髓炎、牙髓壞死、根尖周炎、根尖周膿腫等。齲壞嚴重者,可造成牙冠部分或全部破壞,形成殘冠、殘根。
牙外傷
由於牙冠受到意外撞擊或咬硬物引起牙折,前牙牙外傷的發病率較高。死髓牙、隱裂牙等牙體自身強度下降等,也可在正常咬合力下引起牙折。牙外傷輕者表現為切角或牙尖局部小範圍折裂,重者可出現整個牙冠折裂或冠根折斷。
磨損
磨損表現為牙冠咬合面降低,常由於不良咀嚼習慣及夜磨牙等引起。全牙列重度磨損會造成垂直距離降低,導致咀嚼功能、美觀的障礙,甚至引起領下頜關節病。
楔狀缺損
又稱牙頸部非齲性缺損,常表現為尖牙、前磨牙唇、頰面的牙頸部楔形缺損。發病率隨年齡而增高。病因有磨損、酸蝕、應力等因素。常伴 有牙本質過敏、牙齦退縮,嚴重者可出現牙髓暴露甚至出現牙折。
酸蝕症
是牙長期受到酸霧作用而脫鈣,造成牙外形損害。常見於經常接觸鹽酸、硝酸 等酸製劑的工作人員。表現為前牙區唇面切緣呈刀削狀的光滑面,向切端漸薄,常伴有牙本質過敏,牙冠呈現褐色斑。
發育畸形
造成牙體缺損的發育畸形是指在牙發育和形成過程中出現形態、結構的異常。常見的造成牙體缺損的牙結構發育畸形包括釉質發育不全、牙本質發育不全、斑釉牙及四環素牙等。牙齒的形態發育畸形是發育過程中牙冠形態的異常,常見的有過小牙、錐形牙等。
釉質發育不全症輕者牙冠呈白玉色或褐色斑,嚴重者則出現牙冠形態不完整,釉質鈣化不良,硬度降低,牙釉質表面粗糙且有色素沉著。
斑釉牙是在牙發育期間,由慢性氟中毒所致的牙體組織損害,牙冠表面出現白玉色或黃褐色斑塊。
四環素牙又稱四環素色素沉著,是在牙冠發育期間,由於受到四環素族藥物的影響造成牙冠變色和釉質發育不全,牙冠呈灰褐色或青灰色,釉質透明度降低,失去光澤,嚴重者還可出現牙冠發育不全。
臨床表現
由於牙體缺損的範圍、程度不同,以及牙列中牙體缺損患牙的數目多少,可能產生下列併發症症狀及危害:
(1)牙體和牙髓症狀
牙體表淺缺損可能無明顯症狀。如缺損累及牙本質層或牙髓,可出現牙髓刺激症狀甚至出現牙髓炎症、壞死及根尖周病變。
(2)牙周症狀
牙體缺損者發生在鄰面,會破壞正常鄰接關係,造成食物嵌塞,引起局部牙周組織炎症,並可能發生鄰牙傾斜移位,影響正常的咬合關係。牙體缺損若發生在軸面,破壞了正常軸面外形,可引起牙齦炎。
(3)咬合症狀
大範圍及嚴重的牙體咬合面缺損不但影響到咀嚼效率,還會形成偏側咀嚼習慣,嚴重者會影響垂直距離及出現口頜系統的功能紊亂。
(4)其他不良影響
缺損發生在前牙可直接影響患者的美觀、發音。全牙列殘冠、殘根會降低垂直距離,影響到患者的面容及心理狀態。殘冠、殘根常成為病灶而影響全身健康。
因此,牙體缺損應及時修復治療以終止病變發展,恢復牙冠原有功能。
疾病治療
牙體缺損一般情況下可以採用充填的方法進行治療。充填法簡單易行,在門診即可完成,牙體預備磨牙少,保存剩餘的牙體組織。
適應症
但在下列情況下應採取修復的方法進行治療:
(1)牙體缺損過大,牙冠剩餘牙體組織薄弱,充填材料不能為患牙提供足夠的保護,而且由於充填材料自身性能所限,難以承受咀嚼力而易斷裂者。
(2)牙體缺損過大,充填材料無法獲得足夠的固位力而易脫落者。
(3)需要加高或恢復咬合者。
(4)患者咬合力過大,有夜磨牙習慣,以及牙冠重度磨耗、牙冠過短者。
(5)牙體缺損的患牙需用做固定義齒或可摘局部義齒的基牙者。
(6)斑釉牙、四環素染色牙等牙體變色,需改善牙齒外觀且美觀要求高者。
修複方式
修複方法分為下列類型:
1.嵌體(inlay)為嵌人牙冠內的修復體。
2.部分冠(Partial veneer crown)覆蓋部分牙冠表面的修復體。
3.3/4冠(three-quarter crown):沒有覆蓋前牙唇面或後牙頰面的部分冠修復體。
4.7/8冠(seven-eighth crown):僅頰面近中 1/2未被覆蓋的部分冠修復體。
5.貼面(landnate veneer):以樹脂或瓷製作的僅覆蓋牙冠唇頰側的部分冠修復體。
6.全冠(full crown)覆蓋全部牙冠表面的修復體。
(1)鑄造金屬全冠(cast full crown):以鑄造工藝過程製作的金屬全冠修復體。
(2)烤瓷熔附金屬全冠(Porcelain fused to metal crown,PFMC):又稱金屬烤瓷全冠,簡稱金瓷冠。是在真空高溫條件下在金屬基底上製作的金瓷複合結構的全冠。
(3)塑膠全冠(Plastic full crown):以各種樹脂材料製作的全冠修復體。
(4)全瓷冠(Porcelain full crown):以各種瓷材料製作的全冠修復體。
(5)金屬樹脂混合全冠(Metal resin crown):在金屬基底上覆蓋樹脂牙面的混合全冠。
7.樁核冠:是在殘冠或殘根上利用插人根管內的樁固位,形成金屬樁核或樹脂核,然後再製作全冠的修復體。
治療過程
牙體缺損的修復首先是根據患者的牙體缺損病因、缺損大小、缺損牙的位置、咬合關係以及患者的要求等制定周密的修復治療計畫,選擇修復體的類型,進行修復前的各種準備工作,包括患者的口腔衛生宣教、牙髓、根尖病的根管治療、牙周治療、修復前的正畸治療等。一切準備完成才可以進入下面的修復治療,包括牙體預備、印模和模型的製取、修復體的技工製作,修復體的臨床試戴,最後使用粘結水門汀粘固在口腔內。

