肺里的世界疾病描述
20世紀50-60年代,認為絲蟲感染是其病因,也可能與Ⅳ型變態反應相關。TPE最主要分布在印度、

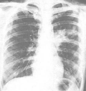
任何年齡都可發病,25-40歲是好發年齡。多為年青女性,發病隱襲,低熱(1-2周)、體重下降、衰弱、胸痛、肌肉麻木、厭食和陣發性夜間乾咳、咳少量玻璃透明狀黏稠痰、氣喘(嚴重者可呈哮喘持續狀態)及心血管系統和神經系統受累的表現。體格檢查,可聞及粗的濕性囉音、乾囉音和哮喘音。可有全身的淋巴結和肝脾腫大,兒童多見。
病理病因
病因
發病與絲蟲感染引起的過敏反應相關,為Ⅰ型、Ⅲ型變態反應,也可能與Ⅳ型變態反應相關。

病理
熱帶嗜酸細胞增多肺炎是機體對絲蟲(如斑氏線蟲、馬來絲蟲、或犬惡絲蟲)過敏發生的局部反應,這些蠕蟲可以由蚊蟲叮咬傳播,當微絲蚴寄宿在肺血管部位時就刺激局部的過敏反應。幼蟲通過絲蟲叮咬進入人體發展成成熟的成蟲,成蟲定居於淋巴結,產生微絲蟲,然後移行到肺血管,變性的微絲蟲釋放抗原導致強烈的局部和全身炎症反應,顯著的抗體增加和嗜酸粒細胞反應。在周圍血和肺組織中都可以發現,細胞總數增加,嗜酸粒細胞分類增加(高達50%),血及BALF中的總IgE,絲蟲特異性的IgG、IgM和IgE升高。抗體依賴性和嗜酸粒細胞在其中發揮著重要作用。在體外,粒細胞和巨噬細胞在IgG和IgE或補體的存在下,能抑制微絲蟲,導致病原體的死亡。微蟲組織周圍大量的淋巴細胞和漿細胞的浸潤表明淋巴細胞在清除微生物方面發揮重要的作用,在體外,用微絲抗原能引起淋巴細胞的遷移。IgE和嗜酸粒細胞、肥大細胞或嗜鹼細胞的誘導產物可能是引起哮喘的原因。
疾病早期(2周)典型表現為肺泡、間質、支氣管周圍和血管周圍間隔組織細胞炎症,肺組織結構正常,在肺組織上可見微結節,症狀發作1-3個月後,未經治療的病人肺泡和間質內有嗜酸粒細胞和組織細胞浸潤,有嗜酸性壞死物質,並可找到微絲蚴的殘骸(多在伴有肺泡壁破壞膿腫的中央),有時可有肺泡壞死和嗜酸性膿腫,局部支氣管水腫腫脹,並有上皮細胞破壞,某些長期沒有治療的慢性患者可形成結節和肺間質纖維化,這可能與慢性混合性細胞炎症存在有關,常常可見異物樣肉芽腫。淋巴結活檢可見到變性的微絲蟲或成蟲,嗜酸粒細胞及其粒產物和巨細胞聚集在周圍。
