【概述】
淚腺多形性腺瘤是最常見的淚腺上皮性腫瘤,約占50%,是由上皮和間質成分構成的良性腫瘤,過去稱之為良性混合瘤。成年好發,單眼發病。
【症狀和體徵】
1. 成年時期單眼緩慢漸進性突出和向內下方移位。
2. 眶外上方可觸及腫物,質硬,邊界清,光滑,不能推動,無觸痛,少數患者可有壓痛或自發痛。
3. 腫瘤過大可繼發眼球運動障礙、視力減退和眼底改變等。
【診斷】
1. 緩慢病程結合上述典型體徵有助診斷。
2. 超聲檢查 腫瘤內回聲豐富,分布均勻,邊界清晰,聲衰中等,不可壓縮。
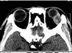
3. CT掃描 腫瘤呈圓形、類圓形或橢圓形,邊界清,光滑,位於淚腺窩,呈軟組織密度,均質,(圖)。少數有液化腔可呈片狀低密度區。淚腺窩骨質因長期壓迫可吸收變薄,甚至骨缺失。
4. MRI檢查 T1WI呈中信號,T2WI呈中高信號,明顯強化。腫瘤內有骨化生或液化腔者,可顯示點片狀不強化區。
| 軸位CT顯示左眶淚腺多形性腺瘤,腫瘤位於淚腺窩,圓形,邊界清,密度均勻。 |
淚腺多形性腺瘤 |
【鑑別診斷】
1. 淚腺炎性假瘤 好雙眼發病,眼瞼充血水腫,激素類藥物治療有效但易復發。超聲檢查可發現淚腺腫大,如淚腺小葉結構仍存在,內部回聲呈花瓣狀。CT掃描淚腺腫大呈扁平狀或杏仁狀,可向前或眶尖延長。
2. 淚腺淋巴增生性病變 常見於老年人,可雙側發生,病史較炎性假瘤短。超聲檢查病變內回聲較低,聲衰不著。CT掃描顯示病變形狀與炎性假瘤相似,但體積較大。
3. 皮樣囊腫 眶外上方和淚腺窩也是皮樣囊腫的好發部位,CT掃描有鑑別意義,囊腫呈低密度或伴負值區,可向顳窩或顱內蔓延。
【治療】
1. 完整手術切除是最佳的預後指征。術前正確的定性、定位診斷對於手術成功至關重要。術中腫瘤破碎,污染術野,會增加復發幾率,復發次數與惡變幾率呈正比。
2. 因腫瘤常侵及包膜,且包膜和眶壁骨膜融合緊密,術中應從眶緣處分離至骨膜下,將腫瘤和骨膜一併切除。
3. 分離腫瘤的眶內軟組織面時應注意保護提上瞼肌和眼外肌,勿隨意剪斷腫瘤表面軟組織,儘量直視下操作腫瘤後極部,防止盲目操作導致腫瘤殘存或破碎。
4. 腫瘤質脆,向眶後部分離時,切忌組織鉗鉗夾或提拉腫瘤,可鉗夾骨膜或用粗線環扎並輕提腫瘤。
5. 腫瘤一旦破碎,應立即用鹽水反覆沖洗術區並仔細清除播散的腫瘤組織。
6. 復發性多形性腺瘤原則上應按惡性腫瘤處治,行眶內容剜除術。復發範圍較小,就診較早者可行擴大的局部切除聯合術後放療。骨質破壞嚴重者應磨除被侵蝕骨質。

淚腺多形性腺瘤 