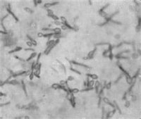
菌體
難辨梭狀芽孢桿菌梭狀芽孢桿菌包括一大群厭氧或微需氧的粗大芽孢桿菌。革蘭染色陽性,芽孢呈圓形或卵圓形,直徑大於菌體,位於菌體中央,極端或次極端,使菌體膨大呈梭狀,故得名。
致病性
本菌屬細菌在自然界分布廣泛,常存在於土壤、人和動物腸道以及腐敗物中。多為腐物寄生菌,少數為致病菌,能分泌外毒素和侵襲性酶類,引起人和動物治病。
臨床上有致病性的梭狀芽孢桿菌主要是某些厭氧芽孢桿菌(anaerobicsporeformingbacilli),如破傷風梭菌(C.tetani)、產氣莢膜梭菌(C.perfringens)、肉毒梭菌(C.botulinum)和艱難梭菌(C.difficile)等,分別引起破傷風、氣性壞疽、食物中毒和偽膜性結腸炎等人類疾病。
傷口表現
梭狀芽胞桿菌傷口感染可表現為局灶性蜂窩織炎,局部或擴散性肌炎,或最為嚴重的進行性肌壞死(氣性壞疽)。感染可在受傷後數小時或數日後發生,常發生於嚴重擠壓傷或穿透傷後組織壞死的肢體,特別是有閉塞性血管病的病人。
涉及事件
2013年8月28日,紐西蘭初級產業部宣布,恆天然乳清蛋白粉里所含的細菌並不是可能致毒的肉毒桿菌,而是與之相似的梭狀芽孢桿菌(又稱生孢梭菌),不會產生致命的肉毒素,但可能導致食物腐壞。
紐西蘭初級產業部昨日稱,紐西蘭和美國多達195次的追加檢測結果表明,恆天然產品中檢出的微生物是生孢梭菌。
生孢梭菌不會像肉毒桿菌那樣產生出致命的肉毒素,迄今也未曾報告過與生孢梭菌有關的食品安全問題。換言之,生孢梭菌的性質不像肉毒桿菌那么嚴重,只是如果含量過高,生孢梭菌也有可能導致食物腐壞。
治療
一般可用β內醯胺類藥物。
治療癌症
將梭狀芽孢桿菌作為治療手段是一種早期控制癌症的方法。但是對其基因的操控一直無法實現,這意味著人們只能依靠環境中的品系,變異也就不可避免。
現今的大量研究使得人們可以改變梭狀芽孢桿菌的種類,使其可以表達諸如胞嘧啶脫氨酶(CD)或胸苷激酶(TK)這樣的前體藥物轉化酶。CD將無毒的5-氟胞嘧啶轉化為細胞毒性的5-氟尿嘧啶,而TK則可將無毒的羥甲基無環鳥苷磷酸化,轉化為活性有毒物質。
化療通常通過靜脈注射給藥,藥劑在作用於快速增殖的細胞之前就會擴散到病人全身。但在有了能產生前體藥物轉化酶的梭狀芽孢桿菌,就可以注射高濃度的無毒前體藥物,直到細菌表達了這些酶,藥物才會被轉化並產生毒性。
相關菌種
破傷風梭菌
(1)形態結構:革蘭染色陽性。芽胞呈圓形,比菌體粗,位於菌體頂端,使細菌呈鼓槌狀,為本菌典型特徵。 (2)培養和抵抗力:嚴格厭氧。在乾燥的土壤和塵埃中可存活數十年。芽胞在100℃ 1小時才被殺死。
致病性
(1)致病條件:該菌由傷口侵入人體,局部傷口需具備厭氧條件,即傷口窄而深,有泥土或異物污染;大面積創傷,壞死組織多,局部組織缺血;同時有需氧菌或兼性厭氧菌混合感染的傷口,均易造成厭氧微環境。(2)致病機制:主要有賴於產生的破傷風痙攣毒素(tetanospasmin)。①該毒素為神經毒素,當釋出菌體時,被細菌蛋白酶裂解為輕鏈和重鏈,其中輕鏈為毒性部分,重鏈具有結合神經細胞和轉運毒素分子的作用;②重鏈通過其羧基端識別神經肌肉結點處運動神經元外胞質膜上的受體並與之結合,促使毒素進入細胞,在細胞膜形成的小泡中;③小泡從外周神經末梢沿神經軸突逆行向上,到達運動神經元細胞體,通過跨突觸運動,小泡從運動神經元進入傳入神經末梢,從而進入中樞神經系統;④然後通過重鏈N端的介導產生膜的轉位使輕鏈進入胞質。輕鏈為一種鋅內肽酶,可裂解儲存有抑制性神經介質(γ-氨基丁酸)小泡上膜蛋白特異性肽鍵,使小泡膜蛋白發生改變,從而阻止抑制性神經介質的釋放
所致疾病
引起破傷風,潛伏期為幾天到幾周,典型的表現為肌肉活動的興奮與抑制失調,造成的苦笑面容和角弓反張等臨床表現。
免疫性
自然感染後不足以引起免疫應答,獲得有效保護的途徑是人工主動免疫。破傷風類毒素是預防破傷風的有效生物製劑。
微生物學檢查
根據典型的症狀和病史即可作出診斷。一般不採集標本培養。
防治
(1)一般預防:對傷口清創擴創,防止形成厭氧微環境。(2)特異性預防 :對3~6個月的兒童,用百白破三聯疫苗進行免疫接種。對傷口污染嚴重而又未經過基礎免疫者,可立即注射精製破傷風抗毒素進行被動免疫作為緊急預防。同時,還可注射破傷風類毒素作主動免疫。(3)特異性治療: 對已感染者,應早期、足量使用破傷風抗毒素(tetanus antitoxin, TAT)。抗菌治療可採用四環素,紅黴素等。
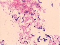
產氣莢膜梭菌
梭狀芽孢桿菌(1)形態結構:革蘭陽性粗大桿菌,芽胞位於次極端,呈橢圓形,直徑小於菌體。在機體內可形成明顯的莢膜。 (2)培養:厭氧不嚴格,繁殖周期僅為8分鐘,在血瓊脂平板上可形成雙層溶血環,內環是由θ毒素引起的完全溶血,外環是由α毒素引起的不完全溶血。(3)生化反應:非常活躍。典型的有:1)“Nagler反應”:在卵黃瓊脂平板上,菌落周圍出現乳白色渾濁圈,是由細菌產生的卵磷脂酶(α毒素)分解卵黃中卵磷脂所致,稱“Nagler反應”。2)“洶湧發酵” (stormy fermentation):在牛奶培養基內能分解乳糖產酸,使其中酪蛋白凝固,同時產生大量氣體(H2和CO2),可將凝固的酪蛋白沖成蜂窩狀,甚至將復蓋在培養基上的凡士林層衝到試管頂部,氣勢兇猛,稱作“洶湧發酵”。
致病性
(1)致病物質:產生10餘種外毒素,其中α毒素毒性強,能造成血細胞和內皮細胞溶解,血管通透性增加,組織壞死,肝臟、心功能受損。其次還能產生不耐熱的腸毒素。(2)所致疾病:1)氣性壞疽:該病多見於戰傷,也見於平時大面積創傷的工傷、車禍等。60%~80%由A型引起。氣性壞疽潛伏期短,嚴重病例表現為組織脹痛劇烈,水氣夾雜,觸摸有捻發感,最後產生大塊組織壞死,並有惡臭。毒素和組織壞死的毒性產物被吸收入血,引起毒血症、休克,死亡率高。2)食物中毒:主要由A型產氣莢膜梭菌污染食物(多為肉類食品)而引起。潛伏期約10小時,可出現腹痛、腹脹、水樣腹瀉,無噁心嘔吐及發熱。3)壞死性腸炎:由C型菌株污染食品所致。表現為腸麻痹壞死,死亡率較高。
微生物學檢查
儘早診斷極為重要,可避免病人截肢或死亡。從深部創口取材直接塗片染色,鏡檢有莢膜的革蘭陽性大桿菌,白細胞少且形態不典型,並伴有其他雜菌是氣性壞疽標本圖片的三個特徵。分離培養可取壞死組織製成懸液,接種血平板、牛奶培養基或庖肉培養基,厭氧培養,觀察生長情況,取培養物塗片鏡檢。動物試驗可取細菌培養液靜脈注射小鼠,10分鐘後處死,置37℃經5~8小時,如動物軀體膨脹,取肝或腹腔滲出液塗片鏡檢並分離培養。
防治
對局部感染應儘早施行擴創手術,切除感染的壞死組織,消除局部厭氧環境。大劑量使用青黴素等抗生素以殺滅病原菌和其他細菌。有條件可使用氣性壞疽多價抗毒素和高壓氧艙法治療氣性壞疽。
肉毒梭菌
梭狀芽孢桿菌(1)形態結構:革蘭陽性粗短桿菌,芽胞呈橢圓形,粗於菌體,位於次極端,使菌體呈網球拍狀。(2)培養和抵抗力:嚴格厭氧。肉毒毒素不耐熱,煮沸1分鐘左右即可被破壞。對酸和蛋白酶有較強的抵抗力。芽胞耐熱,在100℃時至少需要3~5小時才能被殺死。
致病性
(1)致病物質:肉毒毒素是已知最劇烈的神經外毒素(對人致死量為0.1ug)。肉毒毒素經胃腸道吸收入血後,作用於中樞神經系統的腦神經核和外周神經-肌肉神經接頭處以及自主神經末梢,阻礙乙醯膽鹼的釋放,引起運動神經末梢功能失調,導致肌肉麻痹。(2)所致疾病:1)食物中毒: 由於肉毒梭菌芽胞污染食品,未經徹底消毒,在厭氧條件下繁殖產生毒素,食前又未加熱烹調而發生食物中毒。臨床表現胃腸道症狀較少,在整個病程中病人神智清楚並不發熱,。出現復視、斜視、眼瞼下垂等眼肌麻痹症狀;再是吞咽、咀嚼困難、口齒不清等咽部肌肉麻痹症狀,進而膈肌麻痹、呼吸困難、直至呼吸停止而導致死亡。2)創傷感染中毒3)嬰兒肉毒: 因食入被肉毒梭菌芽胞污染的食品(如蜂蜜)後發生中毒,早期症狀為便閉,吸吮啼哭無力、眼瞼下垂等。病死亡率不高。
微生物學檢查
檢測肉毒毒素,取可疑食物進行動物實驗。其次可厭氧培養細菌。
防治
預防主要是加強食品管理和監督,進食前必須充分加熱可破壞毒素。治療應儘早迅速注射A、B、E三型多價抗毒素,同時加強護理並對症治療。
艱難梭菌
是人類腸道中的正常菌群之一。革蘭陽性粗大桿菌,芽胞位於菌體次極端。艱難梭菌在腸道的數量不多,當長期使用或不正規套用某些抗生素以後,可引起腸道內的菌群失調,耐藥的艱難梭菌能導致抗生素相關性腹瀉和假膜性結腸炎等疾病。

