病因
急性根尖周炎的病因概要有3個方面:牙髓組織感染、根尖周組織的治療創傷或藥物刺激、慢性根尖周炎急性發作等都會引起急性根尖周炎。急性跟肩周炎的病理變化主要是由慢性根尖周炎急性發作。發病初期表現為漿液性炎症變化。即牙周膜充血,血管擴張,血漿滲出形成水腫;炎症繼續發展,則迅速向牙槽骨內擴散,最後黏膜破潰,膿液排除,急性炎症緩解,轉為慢性炎症。其膿液擴散有三種途徑:通過根尖孔經根管從齲洞排膿、通過牙周膜從齦溝或牙周袋排出、通過骨髓腔突破骨膜、黏膜向外排出。
症狀
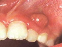
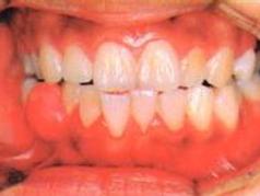
早期患牙有輕度疼痛,此時患牙咬緊,疼痛可以暫時緩解,隨炎症加重,患者齒伸長,有浮出感,輕叩患牙即疼痛。根尖周炎時疼痛為自發性、持續性癌,且範圍局限,患者能明確指出患牙。 如果急性根尖周炎沒有得到治療,炎症繼續發展,形成急性根尖膿腫,則疼痛加劇,叩痛明顯,且有持續性跳痛。膿液擴散至骨膜下,疼痛、腫脹均很明顯,膿液一旦穿破骨膜達到黏膜下,由於壓力減弱,黏膜下組織疏鬆,疼痛比以前減輕。
檢查
根據臨床表現及檢查患牙有無齲壞,深的牙周袋,牙齒鬆動度及叩痛可確診。
治療
早期患牙有輕度疼痛,此時患牙咬緊,疼痛可以暫時緩解,隨炎症加重,患者齒伸長,有浮出感,輕叩患牙即疼痛。根尖周炎時疼痛為自發性、持續性癌,且範圍局限,患者能明確指出患牙。 如果急性根尖周炎沒有得到治療,炎症繼續發展,形成急性根尖膿腫,則疼痛加劇,叩痛明顯,且有持續性跳痛。膿液擴散至骨膜下,疼痛、腫脹均很明顯,膿液一旦穿破骨膜達到黏膜下,由於壓力減弱,黏膜下組織疏鬆,疼痛比以前減輕。

