東方馬型腦炎概述
英文名:eastern equine encephalitis
別 名:東方馬腦炎;東部馬腦炎
東方馬型腦炎(eastern equine encephalitis)是由東方馬型腦炎病毒引起的人畜共患病毒性疾病。主要侵犯馬和人。因本病1933年流行於美國東部一些農場的馬群,同年由Ten Broeck和Merrill從病馬中分離出病毒,故名叫東方馬型腦炎臨床上以高熱及中樞神經系統症狀為主。人偶然感染但病死率可高達50%。
流行病學:
1.傳染源 鳥類為本病主要傳染源和貯存宿主。在自然條件下本病毒在多種小野鳥和庫蚊中自然循環和傳播。人和馬是偶然受害者。鳥類感染本病後,大多無症狀,體內病毒血症約維持4天左右野鳥中幼鳥體內病毒比大鳥滴度高,數量多。故小鳥是本病主要傳染源。一些溫血脊椎動物對本病毒易感。馬感染後表現為病毒血症,病死率甚至高達80%~90%但血中病毒抗原效價低,流行病學調查顯示,馬和人一樣對本病毒不起傳染源作用。
2.傳播途徑 目前能分離到東方馬型腦炎病毒的蚊種已達1000餘種,其中黑尾脈毛蚊(cluliseta melanure)是最主要健康搜尋的傳播媒介。黑尾脈毛蚊專吸鳥血,很少吸人血,是鳥類之間主要傳播媒介。而煩擾伊蚊兼吸人血,故為人和家畜的主要傳播媒介蚊蟲叮咬是本病主要傳播途徑。偶可由人吸入含病毒的氣溶膠經呼吸道傳播。
化濃性腦炎3.人群易感性 人對本病普遍易感且大多呈不顯性感染,約2%~10%呈顯性感染。人感染後可產生持久免疫力。
4.流行特徵 本病主要分布在美國東部、東北部與南方幾個州,加拿大的安大略省、加勒比群島、阿根廷、蓋亞那等國。其他地區菲律賓泰國、捷克、波蘭等國都從動物中分離到本病毒,但尚無病例發生。中國也從自然界分離到東方馬型腦炎病毒,在人群血清學調查也發現東方馬型腦炎病毒抗體陽性由此推測,中國除已知乙腦和森林腦炎外,可能有其他蟲媒病毒引起的腦炎還未被人認識。
本病有嚴格季節性,多在7~10月,以8月份為高峰。在人間流行前幾周,常先在家畜、家禽之間流行。本病毒對人的感染大多侵犯10歲以下兒童和50歲以上老年人。據統計10歲以下兒童約占70%,男女無明顯差別。10~50歲之間顯性感染少。
病因
東方馬型腦炎屬蟲媒病毒A組。其代表株為Ten Broeck株。在電鏡下病毒顆粒為球形RNA病毒,有囊膜,直徑為40~60nm對乙醚、甲醛紫外線、脫氧膽酸鈉敏感。對胰酶不敏感能凝集1天齡雛雞和成年鵝紅細胞60℃加熱10min即可滅活,-70℃可長期保存。病毒在pH5.1~5.7不穩。本病毒在雞胚地鼠腎、豚鼠腎猴腎、鴨腎等組結培養下良好繁殖對實驗動物如小白鼠、豚鼠、雞有較強的侵襲力和毒力腦內接種和皮下接種可使許多鳥類和嚙齒類動物發病。一些鳥類、齧齒動物、家畜、家禽均可感染。
另在中美洲和南美一些地區還有一種東方馬型腦炎病毒變異株,其抗原性與Ten Broeck株有明顯差異。該株可在馬群中引起急性神經性疾病,而很少引起人類發病。
發病機制:
被受感染節肢動物叮咬之後,病毒在局部組織及局部淋巴結複製病毒血症的發生與持續取決於神經系統外局部組織內病毒複製的階段,單核-巨噬細胞系統清除病毒的速度以及特異性抗體的出現,故而出現臨床表現較大差異。
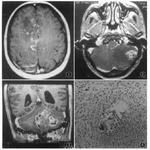
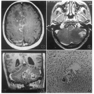
肉眼所見大腦充血水種,並有廣泛的神經細胞變性,腦組織多處有出血灶。顯微鏡檢查見神經細胞變性壞死血管周圍有淋巴細胞、單核細胞和多形核白細胞浸潤形成“血管周圍套”有的膠質細胞增生和多形核白細胞堆積形成結節。病灶主要見於大腦基底節,腦幹灰質和白質也可侵犯小腦和脊髓。
症狀
臨床表現:
潛伏期7~10天。除一部分病人有前驅症狀如倦怠食慾缺乏、腹痛、咽痛、頭痛外,臨床經過分三個階段
1.初熱期 急性起病,突然出現寒戰、高熱,伴劇烈頭痛,噁心嘔吐,眼結膜炎等症狀,體溫很快升至39℃以上健康搜尋,持續2~3天,稍下降,然後再上升進入極期。
2.極期 主要表現為持續高熱(40℃以上)和明顯中樞神經系統症狀體徵。病人有劇烈頭痛嘔吐肌張力增強譫妄或嗜睡,很快進入昏迷或驚厥。頸項強直明顯,凱爾尼格征陽性,腹壁反射和提睪反射消失,四肢肌肉痙攣部分病人表現麻痹。部分病人有眼肌麻痹,眼瞼下垂偏視。病重者因嚴重腦水腫發展成腦疝,引起呼吸不規則,直至呼吸心跳停止。也可因合併肺感染而死亡。死亡多發生在病後2周內。此期一般持續7~8天。
3.恢復期 病程約10天后,體溫開始下降各種症狀逐漸改善和恢復,病重者發熱持續時間要長一些。通常遺留有語言障礙、嗜睡狀、定向力差對周圍事物漠不關心或步態失調等。腦神經和支配四肢肌肉的神經麻痹者多為永久性損害。
併發症:
腦炎藥品本病主要靠血清學檢查和流行病學資料做出診斷。我國儘管在自然界分離出本病病毒,也發現人群血清抗體陽性,但尚未見本病例報告健康搜尋,故診斷時需慎重。必須取急性期和恢復期雙份血清中和抗體或凝血抑制試驗抗體4倍升高才可確診。另外從死者腦組織作小鼠腦內接種或雞胚接種進行病毒分離,可獲陽性結果。
鑑別診斷:
在美洲本病須與西方馬腦炎、聖路易腦炎、單純皰疹性腦炎等鑑別診斷。
檢查
實驗室檢查:
1.血象 末梢血白細胞計數多在(10~15)×109/L,中性粒細胞0.9以上健康搜尋,部分病人有類白血病反應。至恢復期,血象大致恢復正常健康搜尋。
細菌性腦炎2.腦脊液 壓力稍高,細胞計數在(0.1~1.0)×109/L,大多在0.3×109/L以下,病初多為中性白細胞,以後以淋巴細胞為主。蛋白稍增高糖、氯化物正常。
其它輔助檢查:
目前暫無相關資料
相關檢查:
淋巴細胞
白細胞計數
腦脊液
治療
本病尚無特效治療方法仍以支持療法和對症處理為主。對高熱、驚厥呼吸衰竭的搶救措施同流行性乙型腦炎。如能及時處理多數病人可順利度過極期而恢復。
預防
預後:
本病在美洲為最嚴重腦炎,死率約50%幼兒預後差,老年人死亡率高。常留有後遺症。
預防:
1.防蚊和滅蚊 是預防本病重要環節。
2.預防接種 目前使用單價(東方馬型腦炎)疫苗雙價(東馬加西馬)疫苗和三價(東馬、西馬和委內瑞拉馬腦炎)疫苗,對馬等家畜有較好的保護作用。目前人群疫苗接種,尚處在實驗階段。使用恢復期血清,對人群有一定的保護作用和治療作用。

