疾病名稱
晶狀體挫傷
疾病分類
眼科
疾病概述
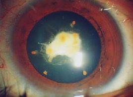
晶狀體挫傷主要表現為晶狀體混濁和脫位。當眼球突然受到前方來的打擊時,晶狀體纖維發生腫脹甚至斷裂。輕者,前囊下出現散在點狀或片狀混濁。重者全晶狀體混濁,嚴重影響視力,有的可於數周內吸收,混濁消失;有的則成為永久性混濁;有的挫傷後,發生晶狀體囊膜破裂,若破口較小且很快閉合,混濁可局限,否則可因房水侵入,導致全部混濁。腫脹的皮質可由囊的破口處進入前房,引起明顯的刺激症狀或發生晶狀體性虹膜睫狀體炎。有的因大量皮質堵塞房角使眼壓升高,發生繼發性青光眼。對輕度混濁,視力仍存在者,可觀察治療,滴白內停眼藥水,口服維生素C等。如晶狀體巳破,有併發症者應早期進行手術。
晶狀體挫傷後發生部分脫位者,如無嚴重視力障礙和繼發虹膜睫狀體炎或青光眼者,可任其自然。否則應將脫位的晶狀體摘除。脫入前房嵌頓於瞳孔者,須儘早取出。
晶狀體脫位或半脫位
晶狀體脫位或半脫位 由於懸韌帶全部或部分斷裂所致。部分斷裂時,晶狀體向懸韌帶斷裂的相對方向移位。在孔區可見部分晶狀體的赤道部,可有部分虹膜震顫、散光或單眼復視。晶狀體全脫為時,可向前脫入前房或嵌頓於瞳孔區,引起急性繼發性青光眼和角膜內皮損傷;向後脫入玻璃體,此時前房變深,虹膜震顫,出現高度遠視。如果角鞏膜部破裂,晶狀體也可脫位於球結膜下。
晶狀體挫傷挫傷性白內障
有多種形態,挫傷時,瞳孔緣部虹膜色素上皮破裂脫落,附貼在晶狀體前表面稱Vossius環,相應的囊膜下出現混濁,可在數日後消失,或長期存在。當晶狀體受到挫傷後,其纖維和縫合的結構受到破壞,液體向晶狀體縫合間和板層流動,形成放射狀混濁,可在傷後數小時或數周內發生,可被吸收或永久存在。受傷後,囊膜完整性受到影響,滲透性改變,可引起淺層皮質混濁,形成板層白內障。嚴重挫傷可致晶狀體囊膜、尤其是後囊膜的破裂,房水進入晶狀體內而致混濁。囊膜破口小時,可形成局限混濁,有時混濁可部分吸收。當破口大時,晶狀體可在短期內完全混濁。除外傷性白內障外,鈍挫傷還可引起前房出血、前房角後退、晶狀體脫位、繼發性青光眼等。治療上應根據視力需要進行手術。
晶狀體挫傷疾病病因
外傷。
相關資料
晶狀體挫傷
疾病病因:外傷。
病理生理:由於懸韌帶全部或部分斷裂所致。部分斷裂時,晶狀體向懸韌帶斷裂的相對方向移位。
診斷檢查:根據臨床即可診斷。
治療方案:晶狀體嵌頓於瞳孔或脫入前房,需急手術摘除。晶狀體半脫位時,可試用眼鏡矯正散光,但效果差。晶狀體脫入玻璃體,可引起繼發性青光眼、視網膜脫離等併發症,可行晶狀體切除或玻璃體手術。
病理生理
由於懸韌帶全部或部分斷裂所致。部分斷裂時,晶狀體向懸韌帶斷裂的相對方向移位。
診斷檢查
根據臨床即可診斷。
治療方案
晶狀體嵌頓於瞳孔或脫入前房,需急手術摘除。晶狀體半脫位時,可試用眼鏡矯正散光,但效果差。晶狀體脫入玻璃體,可引起繼發性青光眼、視網膜脫離等併發症,可行晶狀體切除或玻璃體手術。
用藥安全
1、治療措施:
(1)半臥位休息,雙眼包紮,適當套用鎮靜劑。
(2)全身套用止血劑,可聯合套用激素。
(3)不擴瞳不縮瞳。出現虹膜刺激症狀時,可及時散瞳。
(4)注意觀察眼壓。眼壓升高時,套用降眼壓藥物。
2、頑固性眼壓升高,作前房穿刺術放出積血。
晶狀體挫傷
