概況?
肺解剖圖
肺
胸片?普通間質性肺炎肺炎是指終末氣道。肺泡和肺間質的炎症,可由疾病微生物、理化因素。免疫損傷、過敏及藥物所致。細菌性肺炎是最常見的肺炎。也是最常見的感染性疾病之一。日常所講的肺炎主要是指細菌性感染引起的肺炎,此肺炎也是最常見的一種。在抗生素套用以前,細菌性肺炎對兒童及老年人額健康威脅極大,抗生素的出現及發展曾一度使肺炎病死率明顯下降。但近年來,儘管套用強有力的抗生素和有效的疫苗,肺炎總的病死率不再降低。甚至有所上升。不是一個單一的疾病,而是一大類疾病的總稱,約有近百餘種,已知一小部分病因已明,如塵肺、藥物性肺炎肺炎是指終末氣道。肺泡和肺間質的炎症,可由疾病微生物、理化因素。免疫損傷、過敏及藥物所致。細菌性肺炎是最常見的肺炎。也是最常見的感染性疾病之一。日常所講的肺炎主要是指細菌性感染引起的肺炎,此肺炎也是最常見的一種。在抗生素套用以前,細菌性肺炎對兒童及老年人額健康威脅極大,抗生素的出現及發展曾一度使肺炎病死率明顯下降。但近年來,儘管套用強有力的抗生素和有效的疫苗,肺炎總的病死率不再降低。甚至有所上升。、放射性肺炎放射性肺炎(radiation pneumonitis)系由於肺癌、乳腺癌、食管癌、惡性淋巴瘤或胸部其他惡性腫瘤經放射治療後,在放射野內的正常肺組織受到損傷而引起的炎症反應。輕者無症狀,炎症可 ?自行消散;重者肺臟發生廣泛纖維化,導致呼吸功能損害,甚致呼吸衰竭。等;但也有部分病因不明,如特發性肺纖維化特發性肺纖維化(idiopathic pulmonary fibrosis,IPF)是一種原因不明、以瀰漫性肺泡炎和肺泡結構紊亂最終導致肺間質纖維化為特徵的疾病。按病程有急性、亞急性和慢性之分,所謂Hamman-Rich綜合徵屬急性型,臨床更多見的則是亞急性和慢性型。歐洲學者多稱本病為隱源性致纖維性肺泡炎(cryptogenic fibrosing alveolitis,CFA)。美國習用IPF。我國一度盛行CFA的名稱,近來卻多用IPF。本病多為散發,估計發病率3~5/10萬,占所有間質性肺病的65%左右。見於各年齡組,而作出診斷常在50~70歲之間,男女比例1.5~2∶1。預後不良,早期病例即使對激素治療有反應,生存期一般也僅有5年。、結節病結節病(Sarcoidosis)又稱肉樣瘤病,還有Boeck肉樣瘤Schaumann良性淋巴肉芽腫病和Besnier凍瘡樣狼瘡等名稱。為一種慢性肉芽腫病。堅實無破潰又無自覺症狀的皮膚損害外,還可侵入黏膜、淋巴結、骨骼及身體內部器官而稱全身性類肉瘤病。等。屬中醫“頑咳”之證。我們平時所說的間質性肺炎肺炎是指終末氣道。肺泡和肺間質的炎症,可由疾病微生物、理化因素。免疫損傷、過敏及藥物所致。細菌性肺炎是最常見的肺炎。也是最常見的感染性疾病之一。日常所講的肺炎主要是指細菌性感染引起的肺炎,此肺炎也是最常見的一種。在抗生素套用以前,細菌性肺炎對兒童及老年人額健康威脅極大,抗生素的出現及發展曾一度使肺炎病死率明顯下降。但近年來,儘管套用強有力的抗生素和有效的疫苗,肺炎總的病死率不再降低。甚至有所 ?上升。一般是指肺的間質組織發生炎症,炎症主要侵犯支氣管壁、肺泡壁,特別是支氣管周圍血管,周圍小葉間和肺泡間隔的結締組織,而且,多呈壞死性病變。中醫認為該病是由於脾腎不足,外邪客肺後,肺虛邪留,久則氣陰受損,肺臟脈絡瘀阻,宣肅失司,痰濁留戀肺竅,或陰虛津涸而致乾咳頻頻,成纏綿難愈的頑咳證。間質性肺炎肺炎是指終末氣道。肺泡和肺間質的炎症,可由疾病微生物、理化因素。免疫損傷、過敏及藥物所致。細菌性肺炎是最常見的肺炎。也是最常見的感染性疾病之一。日常所講的肺炎主要是指細菌性感染引起的肺炎,此肺炎也是最常見的一種。在抗生素套用以前,細菌性肺炎對兒童及老年人額健康威脅極大,抗生素的出現及發展曾一度使肺炎病死率明顯下降。但近年來,儘管套用強有力的抗生素和有效的疫苗,肺炎總的病死率不再降低。甚至有所上升。的最大特點是:起病隱襲、進行性加重、最終導致肺、心功能衰竭;因不易預防、不易早期發現、不好治療致進行性損害的不可逆的肺部損傷。 治療做效果最好的是中藥-溫腎清肺湯。
疾病描述??
臨床特點?
普通型間質性肺炎/特發性肺間質性纖維化(UIP/IPF)[710] 臨床特點:此型在IIP中最為常見(占65%左右),50歲以上的成年人多發,約2/3患者年齡大於60歲,男性多於女性。臨床表現為乾咳、呼吸困難等,多數患者可聞及吸氣性爆裂音,以雙肺底部最為明顯,三分之一以上的患者可見杵狀指。肺功能異常主要為中至重度限制性通氣功能障礙和(或)彌散功能障礙。實驗室檢查缺乏特徵性,10%~25%的患者血清抗核抗體(ANA)和類風濕因子(RF)陽性。
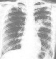
影像學特點
?胸部X線片主要表現是在兩肺基底部和周邊部的網狀陰影,常為雙側、不對稱性,伴有肺容積減少。CT對UIP的診斷具有重要的意義,主要表現為兩肺片狀、以基底部為主的網狀陰影,可有少量毛玻璃狀影。在纖維化嚴重的區域,常有牽引性支氣管和細支氣管擴張,和(或)胸膜下的蜂窩樣改變。
病理特點
肉眼觀察雙肺體積縮小,重量增加,質地較硬,髒層胸膜增厚,散在局灶性瘢痕,可見肺氣腫甚至肺大泡形成。切面呈雙肺瀰漫性實變區,輕重不一,嚴重受累處形成多房囊性結構,即蜂窩肺。低倍鏡下病變呈斑片狀分布,主要累及胸膜下及肺實質,間質炎症、纖維化和蜂窩肺改變輕重不一,新舊病變交雜分布,病變間可見正常肺組織。早期病變是肺泡間隔增寬充血,淋巴細胞、漿細胞和組織細胞與散在的中性粒細胞浸潤,伴有Ⅱ型肺泡上皮和細支氣管上皮增生,部分肺泡內可見巨噬細胞。纖維化區有數量不等的膠原纖維沉積,炎症細胞相對較少,肺泡間隔毛細血管床減少乃至完全消失,其間可形成假腺樣結構,內覆增生的Ⅱ型肺泡上皮。蜂窩肺改變的區域是由大小不等的囊性纖維氣腔所構成,被覆有細支氣管上皮細胞。在纖維化區和蜂窩肺區可見有呼吸性細支氣管、肺泡管以及重建的囊壁內有大量增生之平滑肌束,形成所謂“肌硬化”。除了上述提及的老病灶(膠原沉積的瘢痕灶)外,同時還有增生活躍的肌纖維母細胞和纖維母細胞,基質呈粘液樣,位於肺間質,突向被覆呼吸上皮的腔面,此結構稱為纖維母細胞灶(fibroblast foci)。總之,纖維母細胞灶、伴膠原沉積的瘢痕化,不同時相病變的共存和蜂窩肺病變是診斷UIP的重要依據,也是與IIP其他類型相區別的要點.
普通型間質性肺炎常見症狀
間質性肺炎在病情早期的時候症狀不明顯,只是在間質性肺炎的病情嚴重的時候出現進行性的呼吸困難,之後,間質性肺炎的症狀會隨著病情的加重而改變。
1.進行性呼吸困難為本病特徵。
2.刺激性乾咳或伴少量粘痰,少數有黃痰及血痰。
3.乏力、消瘦、關節疼痛、低熱等。
4.肺底及腋下區可聞及爆裂性羅音(稱Velcro羅音),吸氣末聽到,表淺粗糙、調高。可有肺氣腫及右心衰竭,50%以上病人有杵狀指(趾)。
普通型間質性肺炎病理分型
1. 普通的間質性肺炎:病變不均一,間質有炎症、纖維化、蜂窩樣改變與正常肺組織,纖維母細胞灶互動出現。
2. 剝脫性間質性肺炎/呼吸細支氣管間質性肺炎:肺泡腔內大量巨噬細胞均勻分布,而以細支氣管周圍氣腔更明顯,故稱為RBILD。
3. 急性間質性肺炎:可見肺泡上皮受損,II型上皮細胞增生,肺泡間隔水腫,肺泡腔內出血,有透明膜形成,與ARDS所見類似。
4. 非特異性間質性肺炎:肺泡壁有炎性細胞浸潤,為漿細胞和淋巴細胞,也有纖維化形成。病變在細支氣管周圍更明顯。這4種組織類型的特徵是由於炎症和纖維化量化的不同,也可以由一種類型轉變為另一種類型。分型不同,臨床表現以及對糖皮質激素治療反應也不同,如非特異性間質性肺炎是最常見的一種類型,隱襲發病,病情進展慢,治療反應差,多數病例最後死亡。非特異性間質性肺炎是少見的類型,也是隱襲發病,但預後好,90%與吸菸有關。
普通型間質性肺炎病因
普通型間質性肺炎是一種以瀰漫性肺泡炎和肺泡結構紊亂最終導致肺間質纖維化為特徵的疾病。按病程有急性、亞急性和慢性之分,所謂Hamman-Rich綜合徵屬急性型,臨床更多見的則是亞急性和慢性型。歐洲學者多稱本病為隱源性致纖維性肺泡炎。美國習用IPF。我國一度盛行CFA的名稱,近來卻多用IPF。本病多為散發,估計發病率3~5/10萬,占所有間質性肺病的65%左右。見於各年齡組,而作出診斷常在50~70歲之間,男女比例1.5~2∶1。預後不良,早期病例即使對激素治療有反應,生存期一般也僅有5年。
普通型間質性肺炎的飲食
(1)供給優質蛋白、多種維生素及較高比例的碳水化合物飲食(碳酸飲料除外)。例如:蛋類、糙米、玉米面、蕎麥麵、水果和蔬菜等。
(2)少吃辛辣、煎炸等刺激性油膩食物:平素要吃得清淡,尤其對於肥胖患者,脂肪供給量宜低。吃肉以瘦肉為宜,以達到祛痰濕與適當控制體重的目的。辛辣、煎炸等食物,因容易生痰,導致熱助邪勝,邪熱郁內而不達,久之可釀成疾熱上犯於肺,加重病情。
(3)重度間質性肺炎病人可予軟食或半流食:這樣可以減輕呼吸急迫所引起的咀嚼和吞咽困難,既有利於消化吸收,又可防止食物反流。
(4)多飲水:重度肺纖維化患者因張口呼吸,出汗多、飲食少,常使患者失水,並使痰液黏稠不易咯出,因此及時補充水分、增加液體攝入量,對於糾正或防止失水,具有非常重要的意義,要鼓勵患者多飲水;如患者不能飲食時,可用靜脈補液,這樣有利於稀釋痰液、促使黏稠痰液排出。伴有心力衰竭的患者飲水要適量。
(5)對某些已知會引起過敏、誘發哮喘的食物,應避免食用:所謂“忌口”就是忌“發物”。“發物”一般是指食後能引起舊病復發或新病加重的食物。“發物”包括的範圍很廣,對於不同的患者來說是因人而異的。例如:有些過敏體質者常因吃了魚、蝦、蟹等海腥類的食品而誘發咳、喘加重。所以肺纖維化患者應根據自己的實際情況,合理地“忌口”,這樣既可以避免由飲食不慎而導致咳、喘加重,又可以防止因過於講究“忌口”而影響機體對多種營養物質的吸收。
(6)忌菸酒、忌過鹹食物:肺纖維化患者多數伴有氣道高反應狀態,煙、酒和過鹹食物的刺激,容易引發支氣管的反應,加重咳嗽、氣喘等症狀。
(7)根據自己平日身體狀況,針對性地選擇食品:肺纖維化患者不僅應注意食品的寒、熱、溫、涼四性對病情的影響,還應掌握食物的四性,選擇食物,安排好食譜,避免誤食與身體不適的食物。
普通型間質性肺炎的注意事項
1、要保證有足夠的休息,還要注意保暖,避免受寒,預防各種感染。注意氣候變化,特別是冬春季節,氣溫變化劇烈,及時增減衣物,避免受寒後加重病情。
2、要有舒適的居住環境。房間要安靜,保持清潔衛生,空氣要清新、濕潤、流通,避免煙霧、香水、空氣清新劑等帶有濃烈氣味的刺激因素,也要避免吸入過冷、過乾、過濕的空氣。
3、飲食方面,飲食上要清淡、易消化,以流質或半流質為主,多吃瓜果蔬菜,多飲水,避免食用辛、酸、麻、辣、油炸的食物及蛋、魚、蝦等易誘發哮喘的食物。不要吃刺激性的食物。總的說來飲食特點應是:飲食必須做到多樣化,合理搭配、富有營養、比例適宜,並且宜於消化吸收。
4、精神上應保持愉快樂觀的情緒,防止精神刺激和精神過度緊張。這就要求你要有一個豁達開朗的生活態度,也就是說要保持精神愉快,就要培養“知足常樂”的思想,不過分追求名利和享受要體會“比上不足,比下有餘”的道理,這樣可以感到生活和心理上的滿足。保持精神愉快,還要把日常生活安排得豐富多彩。
5、遠離外源性過敏原,諸如:一些花草(尤其對花粉過敏者)、用羽毛或陳舊棉絮等易引起過敏的物品填充的被褥、枕頭、鳥類、動物(寵物或實驗飼養者)、木材(紅杉塵、軟木加工)、蔗糖加工、蘑菇養殖、乳酪、釀酒加工、發霉稻草暴露、水源(熱水管道、空調,濕化器,桑那浴)以及農業殺蟲劑或除莠劑等。
普通型間質性肺炎致病因素
目前原因不明,已發現有180多種已知疾病可累及肺間質。根據病因普通型間質性肺炎可分為兩類:一類為已知原因;另一類為未知病因。在普通型間質性肺炎的已知病因中,最大一組為職業和環境吸入疾病,如塵肺、藥物性肺炎、放射性肺炎等;但有相當一部分病因不明,如特發性肺纖維化、結節病等。
但是,無論普通型間質性肺炎的病因如何,大多數間質性肺炎都有共同的病理基礎過程。初期損傷之後,有炎性和免疫細胞的參與。
普通型間質性肺炎的肺功能檢查
1、典型肺功能改變為限制性通氣功能障礙,表現為肺總量(TLC)、功能殘氣量(FRC)和殘氣量(RV)下降。一秒鐘用力呼氣容積/用力肺活量(FEV1/FVC)正常或增加。
2、單次呼吸法一氧化碳彌散(DLCO)降低,即在通氣功能和肺容積正常時,一氧化碳彌散(DLCO)也可降低。肺功能檢查與治療反應間的關係已經明確,一氧化碳彌散(DLCO) 嚴重減低病死率增加,一氧化碳彌散(DLCO)低於40%預計值的IPF患者其病死率>50%,若激素治療3個月後肺功能指標無改善,則提示繼續使用激素病情好轉的可能性很小。
普通型間質性肺炎的病理變化
普通型間質性肺炎大多由於病毒所致,主要為腺病毒、呼吸道合胞病毒,流感病毒、副流感病毒、麻疹病毒等。其中以腺病毒和流感病毒引起的間質性肺炎較多見,也較嚴重,常形成壞死性支氣管炎及支氣管肺炎,病程遷延易演變為慢性肺炎。
肺炎支原體也能引起慢性間質性肺炎。支原體經呼吸道侵入後,主要侵犯細支氣管和支氣管周圍組織,由於無破壞性病變,故能完全恢復。
過敏性肺炎,是由於吸入含有真菌孢子、細菌產物、動物蛋白質或有機物塵埃所引起的非哮喘性變應性肺疾患,以瀰漫性肺間質炎為病理特徵,能痊癒,不留後遺症。比較少見的,如肺炎鏈球菌肺炎,金黃色葡萄球菌肺炎的併發症,化膿性炎症擴展到間質組織,引起化膿性間質性肺炎。若炎症繼續發展可發生肺膿腫、膿胸等;若病變停止發展,則轉向恢復痊癒,但也可形成普通型間質性肺炎。
普通型間質性肺炎傷害呼吸膜
普通型間質性肺病是一組主要累及肺間質、肺泡和細支氣管的肺部瀰漫性疾病,其發病率呈逐年增高的趨勢,過去10年中增加了87%,它包括200多個病種,是一組病因多樣、表現多樣的疾病,主要損害呼吸膜。呼吸膜是一層在肺泡和血管之間的膜,肺泡與毛細血管的氣體交換通過這個生物膜進行,通常厚度在0.1-0.3微米之間,由於某種原因導致呼吸膜增厚、變性,氣體的彌散功能障礙。由於反覆的肺損傷導致肺纖維化,增厚的呼吸膜限制了肺的擴張,患者就會出現限制性通氣功能障礙和活動後氣喘、低氧血症等,最終發展為普通型間質性肺炎。
