病因
本病與肺內的液體增加及肺淋巴引流不足有關。如肺泡內及間質內液體多,吸收延遲,或有液體運轉困難,以致出生24小時內肺泡存留較多液體而影響氣體交換,出現呼吸困難,再加上轉運功能不全,這是本病發生的主要機制。常多見於剖宮產兒,因其肺泡液未被擠出,亦多見於吸入過多羊水窒息兒。
臨床表現
患兒大都為足月兒,多數在出生後6小時內即出現呼吸加速(>60次/分)。輕症較多,症狀僅持續12~24小時。表現為哭聲低弱、發紺、輕度呻吟、鼻翼翕動、三凹征、呼吸急速(可超過每分鐘100次)。肺部陽性體徵不多,聽診可有呼吸音減低和粗濕囉音,PaO略下降。個別病例可見嘔吐。PaCO上升及酸中毒均不常見。
檢查
1.血氣分析
多在正常範圍,較重者可出現呼吸性酸中毒和代謝性酸中毒。
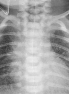
2.X線檢查
肺部病變廣泛多樣,但吸收快,大部分4天內消失。
(1)肺泡積液症兩肺野密度淡而均勻的斑片狀陰影,可融合成片或成結節狀。
(2)肺氣腫由部分肺泡呈代償性膨脹所致。
(3)肺間質積液可見血管和細支氣管周圍增寬的條狀陰影。
(4)葉間和/或胸腔積液多為右側葉間胸膜腔積液。
(5)肺紋理增多和增粗因間質液的增加,使淋巴管和靜脈的轉運量增加,造成淋巴管和靜脈擴張。
診斷
1.出生時呼吸大多正常,於出生後6小時內出現呼吸急促、發紺,輕者呼吸60~80次/分,偶爾可見嚴重者,呼吸可達100次/分,伴有呻吟、反應差、不吃奶、不哭等現象,窒息嬰兒經搶救復甦後即出現症狀,病情多較重。
2.體溫大都正常。
3.肺部體徵不明顯,僅呼吸音降低或有粗濕囉音。
4.氣促多在24小時內消失。
5.X線檢查可見兩側肺野透明度較低,肺紋理增多,增粗及斑點狀密度增深的陰影,有時可見葉間或胸腔積液,因代償性肺氣腫而於肺野出現廣泛而散在的小透亮區,胸廓前後徑增寬,橫膈頂扁平並降低,第2天以後連續攝片時可見這些異常迅速恢復正常,其表現與體徵不成正比。
鑑別診斷
1.肺透明膜病
早產兒多見,一般情況差,呼吸困難與發紺呈進行性加重,病情重,預後差,肺成熟度檢查及胸部X線檢查均有特殊改變。
2.吸入性肺炎
多有窒息史及吸入史,常為復甦後出現呼吸急促,臨床症狀重,X線呈支氣管肺炎改變,少有葉間和/或胸腔積液,病變消失時間較長。
3.羊水吸入綜合徵
此病有窒息或呼吸窘迫史,呼吸急促在復甦後發生,而新生兒濕肺則出生時正常,呼吸窘迫發生較晚,X線檢查亦有助於鑑別。
4.腦性過度換氣
此為腦水腫所致。常見於足月兒伴窒息,氣促,但無肺部體徵,預後與病因有關。
併發症
重症患兒可出現呼吸性酸中毒和代謝性酸中毒,甚至窒息,應密切觀察。
治療
在治療和護理上,應密切觀察早期發現,並注意與呼吸窘迫綜合徵以及吸入性肺炎鑑別。產婦勿用過量的鎮靜藥物,應限制不必要的剖宮產,需要時可及時作體位引流。對症治療
1.當呼吸急促和出現發紺時給予氧氣,如果新生兒過小還不能吃奶,可靜滴10%葡萄糖液,注意要間歇給氧,不主張用持續正壓呼吸,以免加重肺氣腫。
2.當出現代謝性酸中毒時加用5%碳酸氫鈉,靜滴或稀釋後緩慢靜注,必要時可重複,及時糾正酸中毒。
3.當新生兒出現煩躁、呻吟的症狀,可用苯巴比妥。
4.新生兒兩肺濕囉音多時可用速尿,並注意糾正心力衰竭。
5.靜滴地塞米松,以減輕肺水腫。
6.病程超過2天的病例可用抗生素防止繼發感染。
預防
產婦勿用過量的鎮靜藥物。應限制不必要的剖宮產。需要時可及時作體位引流。注意避免分娩過程中產程長,胎盤或臍帶原因影響胎兒血液循環,導致胎兒宮內缺氧,刺激胎兒呼吸中樞興奮,出現喘息樣呼吸,致羊水或胎糞吸入。

