基本概述
房間隔脂肪瘤樣肥厚(lipomatous hypertrophy of the interatrial septum,LHIS)是指脂肪細胞在心臟房間隔的增殖(是增殖,而不是肥大增生)而產生的對房間隔相鄰結構組織的擠壓的一系列病症。但一般由於瘤體較小,病人無任何症狀,常在體檢或屍檢時才可發現。
症狀
當瘤體較大壓迫心臟時,也可出現病人運動耐力差,用力後明顯氣短,甚至可出現左心功能不全等症狀。查體可發現心音減弱,無心臟雜音或出現Ⅱ期收縮期雜音。 當脂肪瘤巨大時可引起靜脈回流受阻表現,心包脂肪瘤可以壓迫心臟引起相應的症狀,也曾有報導。
病理
其組織結構特點是類似於棕色脂肪的良性成熟脂肪細胞,均有完整的包膜,邊界不規則,但具有明顯的包膜;鏡下瘤體主要由成熟脂肪小葉組成,其間具有不同量的纖維組織、黏液組織和血管,這些結構與發生於軟組織中的者相同,偶爾也可見到少量胚性脂肪細胞。當腫瘤發生在心肌內時,也可見到不同數量的心肌細胞陷入瘤體內,不應誤診,也見不到“蜘蛛細胞”。有的病例腫瘤可呈多發性並伴有,或心臟和內臟同時出現並也伴有的表現。
臨床診斷
一般臨床發病罕見,多數共同症狀為室上性心動過速。也有可能導致呼吸困難甚至猝死。
發病機理
一般推斷認為在胚胎髮育期,間質細胞向心房壁細胞內填充所致。脂肪細胞堆積在第二間隔也可擴展到卵圓窩。
流行病學
發病率1-8% ,與年齡和體重的增長有關。同時,有報導稱發病率的增加與胃腸外營養的經歷有關。
影像診斷
超聲:在房間隔到卵圓窩間的高回聲腫塊。
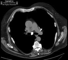
房間隔脂肪瘤樣肥厚CT:均勻的脂肪低密度在房間隔兩側呈啞鈴型表現。可能有多於正常的縱隔、心外膜脂肪含量。心房內脂肪腫塊可與心外膜脂肪相連。
磁共振成像(MRI):所有序列遵循脂肪信號。在軸向的圖像上也表現為啞鈴型。
核素成像(NM):增加的 氟化去氧葡萄糖(FDG)攝取量(較正常的1.6 -6.1倍)。吸收與腫塊的大小成正比。
鑑別診斷
影像學檢查對於區別於其他心臟腫瘤(如心臟粘液瘤、橫紋肌瘤、纖維瘤、轉移瘤等)極為重要。
治療
如果無症狀無需治療。外科手術切除阻塞物可解除症狀。
