簡介
憩室炎 憩室炎是憩室黏膜的炎症,可伴憩室周圍炎,腸壁的蜂窩織炎,穿孔,膿腫和或腹膜炎,伴有或不伴有梗阻,瘺管形成和出血。憩室炎在低於40歲以下患者中往往是嚴重的,但老年人最為嚴重,特別是那些服用強的松或其他增加感染危險性藥物的老年人。在94%的患者中,嚴重的憩室炎可累及乙狀結腸。
大腸的憩室是屬於假性憩室,其黏膜以及黏膜下層穿越肌肉層向外鼓出,存在以久的憩室,會發生顯微性的穿孔造成糞便的外滲,而後周邊的發炎。
流行病學
大部分好發於老年人,極少發生於三十歲以下的病人。發生率隨著年齡上升,在八十歲時有約75%的盛行率。
致病原因
大多發生在腸系膜對側大腸帶的腸系膜面。
又以乙狀結腸最常見,原因可能是此處腔室直徑突降以及壓上升所致。
腸蠕動異常也可能造成此結果。
常合併低纖維飲食發生。
症狀
腹痛、發燒、大便習慣改變、尿急、腹脹、過度排氣。影像診斷
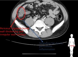
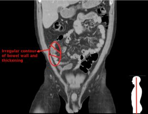
電腦斷層為優先考量,可能發現腸道變厚(wall thickening),周邊腸系膜脂肪的成股相紋(stranding),結腸憩室(Diverticula)。嚴重者可能會發現瘺管(fistula)或是腫瘍(abscess)。
在急性期或初期來說,鋇劑大腸攝影及結腸內視鏡並不建議,可能會並發腹膜炎或腸穿孔的可能。再著電腦斷層可以在有腫瘍的患者上直接作經皮引流。
治療
輕度可給於口服抗生素以流質清淡飲食即可。
嚴重者必須腸道體息並給於止痛及抗生素。
4~6周后當發燒以及症狀改善後,施行內視鏡或鋇劑攝影以排除大腸癌或是發炎性腸疾。
由於第一次發作後的復發率是30%,第二次後的復發率是50%。大部分外科介入會在第一次嚴重發作之後。
預防
憩室炎 腸子上形成憩室和年紀大、便秘都有關。便秘的人每次排便都要對腸子施以很大壓力,時間長了,憩室就可能被一個一個擠出來了。所以要注意緩解便秘,但不能老吃瀉藥,以免產生依賴性和耐藥性。
如果便秘嚴重,灌腸能徹底清理腸道。但灌腸只能去醫院進行,不方便,所以還是要養成自己主動、定時排便的好習慣。為此要改變飲食結構,多吃高纖維食物(蔬菜、水果、粗糧等)幫助腸道蠕動,纖維素量一般約為每天20-35克。纖維素吃太多可能導致胃脹氣。
另外,平時多喝水、多運動。還要學會控制壓力,避免長時間情緒緊張,充分休息,有便意的時候千萬不要憋。

