基本解釋
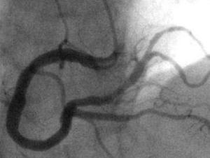
心臟造影檢查就是將一根很細的導管插入到你的主動脈里,然後通過導管前面的小口向主動脈血液注入造影劑,使X射線可以將沿血管流動的造影劑在顯示屏中顯示出來血管及心臟的形態來。
血管造影,套用大劑量造影劑注射時,有許多因素影響其毒性作用。心血管造影時,快速注射比緩慢注射時中毒的危險性增大數倍,主是由於造影劑的高滲作用,就是較新的製劑也有一些化學毒性作用。在一定情況下,心肌、腦、脊髓或腎臟的耐受性減低。關於造影劑的選擇,腦血管造影時最好選用甲葡胺鹽,而心臟造影時則用鈉鹽與甲葡胺鹽合劑。血管造影比尿路造影不常見有過敏反應,可能是血管造影時造影劑不直接通過肺臟。在套用碘醯胺血管造影的167例中,6例發生輕度的過敏反應。在注射血管分布區,偶見皮膚出血點,這可能是由於沖洗注射器或針頭所用的鹽水受污染所致的棉花纖維或手套的粉末污染而栓塞所致。
作用
香港葛量洪醫院和香港大學內科系合作,把用於治療慢性氣管病的橙樹化痰素用在準備接受放射性造影劑的心臟病人身上。研究結果顯示,該藥可把病人的腎衰竭發生率降低60%。葛量洪醫院進行了200名冠心血管病人參與的臨床研究。治療組100例病人在造影檢查前一天和檢查當天早晚接受一次口服600毫克的橙樹化痰素。結果,只有4人出現腎衰竭,而沒有服用橙樹化痰素的100人對照組有12人出現腎衰竭3.乙醯半胱氨酸在心臟血管造影術中有護腎作用 香港研究人員報告,抗氧化劑乙醯半胱氨酸可能讓行冠狀血管造影術的腎功能不全者避免出現腎功能障礙。
以香港大學Grantham醫院的凱(Jay Kay)為首的研究者說,乙醯半胱氨酸的腎保護作用在各病人亞組相似,且副作用很小。它對行診斷性或/和干預性冠狀血管造影的病人有保護作用,血清尿素和肌酐濃度出現了相似改變,這表明“腎小球過濾性的變化是乙醯半胱氨酸預防作用的基礎”。
該醫院在2000年5月到2001年12月間,讓200名病人隨機參與了一個前瞻性、雙盲試驗,行血管造影術前一天和當天,102名參與者被指定口服600毫克乙醯半胱氨酸,每天兩次。其餘98人接受了安慰劑。病人的平均年齡為68歲,腎功能不全的病情穩定、中度,即肌酐清除率不到60毫升/分,均行冠狀血管造影術,對比劑是低滲的。主要測量的後果包括給藥後48小時內的血清肌酐水平增加25%以上、肌酐清除率和血清肌酐的變化。
結果表明,安慰劑組12名病人(12%)、乙醯半胱氨酸組4名病人(4%)在48小時內血清肌酐水平增加了25%以上,術後頭48小時內乙醯半胱氨酸組病人的血清肌酐較低。2天后乙醯半胱氨酸明顯增加了肌酐清除率。“乙醯半胱氨酸的好處在各病人亞組相似,並至少持續了7天”,研究者總結。詳見《美國醫學會期刊》(JAMA, 2003;289:553-558)上“心臟血管造影術中乙醯半胱氨酸對腎功能不全病人有保護作用”一文。
手術的作用
心臟造影有冠狀動脈造影和心臟(心房、心室)造影。冠脈造影就是用一根細如髮絲的導管沿著橈動脈(手腕處)或股動脈(大腿處)的人為入口延行到心臟的冠狀動脈開口處,然後把造影劑(在X光下顯影)注入冠狀動脈,這樣冠狀動脈內部的形態就可以顯示出來,例如看冠脈有沒有狹窄、斑塊等,但基本上不能通過這個檢查來了解心臟形態的,主要還是了解冠脈的內部形態及冠脈內的血流速度。
※心臟造影是一種檢查手段。醫生懷疑病人是否有冠心病,檢查結果比較準確,因此稱此項診斷為“金診斷”,如果查出有冠狀動脈血管狹窄或者堵塞等可以作進一步的治療如放置支架等。造影不能治療高血壓、也不能治療早搏。

