術前準備
冠狀動脈造影術術前準備:術前應進行青黴素皮試、碘過敏試驗、雙側腹股溝備皮(備皮後請洗澡並更換乾淨的衣服)、訓練床上大、小便(為防止術後排便困難,因為術後需要平臥24小時,不能下床活動)。
術前需要禁食6小時,禁水2小時,但是除停服手術當日降糖藥及手提阻滯劑外,要照常服用日常的口服藥(服用巴米爾請用溫開水泡服)。術前半小時排空大小便,取下身上所有飾物。
操作方法
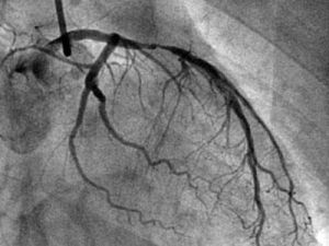
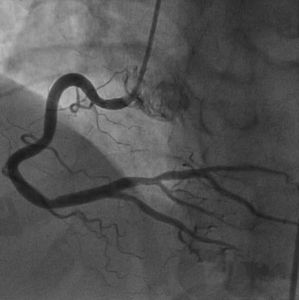
冠狀動脈造影是診斷冠心病的一種有效方法。將導管經大腿股動脈或其它周圍動脈插入,送至升主動脈,然後探尋左或右冠狀動脈口插入,注入造影劑,使冠狀動脈顯影。能較明確地揭示冠狀動脈的解剖畸形及其阻塞性病變的位置、程度與範圍。冠狀動脈造影是目前唯一能直接觀察冠狀動脈形態的論斷方法,醫學界號稱其為“金標準”。冠狀動脈造影術的死亡率約在0.11%-0.14%,心肌梗死率約在0%-0.06%;左冠狀動脈主幹病變患者的心肌梗死與死亡率均約在3.0%。
優勢
冠狀動脈造影是一種非常安全、有效的檢查手段。無須開刀,在局部麻醉下僅將特殊的導管經大腿股動脈或上肢橈動脈穿刺後插至冠狀動脈開口,選擇性地將造影劑注入冠狀動脈,記錄顯影的過程。檢查一般只需要15~30分鐘,術後病人平躺12~24小時後就可下地活動,不受年齡、性別限制,絕大部分病人都能接受。現已逐漸成為一項較常規的檢查手段。
術後注意事項
冠脈造影術後股動脈穿刺局部要用沙袋壓迫8小時,手術一側肢體在24小時內限制活動,以利於傷口恢復。24小時後傷口換藥病解除限制,可以在床邊進行輕微活動。因為冠脈造影劑從腎臟排泄,所以術後應該多喝水,使造影劑能儘快排出體外

