診斷困難的原因
第一,長期人們認為這種腫瘤罕見,較少考慮。
第二,對此腫瘤臨床特點不熟悉。
因此,為了提高診\斷,對查到雙側、實性活動的附屬檔案腫物,不論有無腹水,都應轉到轉移的可能性。如患者過去有消化道、乳腺等部位的惡性腫瘤病史,則診斷基本建立,轉移性卵巢瘤的處理,由於預後極差,生命短暫,研究較少。但一致認為,應儘可能積極地切除腫瘤,術後輔助化療或放療。來自乳腺的卵巢轉移瘤多數已在轉移前切除,而胃、結腸原發灶多在轉移瘤出現後診斷。應積極處理原發灶。
預後
預後極壞,多在術後一年內死亡。

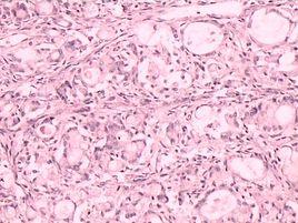
庫肯勃瘤,是一種特殊的卵巢轉移性癌,原發部位在胃腸道,腫瘤為雙側性,中等大,多保持卵巢原狀或呈腎形,鏡下可見印戒狀粘液細胞,間質伴有肉瘤樣的浸潤的卵巢轉移。由於德國人庫肯勃於1896年報導了這種獨特形態的卵巢瘤,證實為轉移瘤,所以也稱庫肯勃瘤。
第一,長期人們認為這種腫瘤罕見,較少考慮。
第二,對此腫瘤臨床特點不熟悉。
因此,為了提高診\斷,對查到雙側、實性活動的附屬檔案腫物,不論有無腹水,都應轉到轉移的可能性。如患者過去有消化道、乳腺等部位的惡性腫瘤病史,則診斷基本建立,轉移性卵巢瘤的處理,由於預後極差,生命短暫,研究較少。但一致認為,應儘可能積極地切除腫瘤,術後輔助化療或放療。來自乳腺的卵巢轉移瘤多數已在轉移前切除,而胃、結腸原發灶多在轉移瘤出現後診斷。應積極處理原發灶。
預後極壞,多在術後一年內死亡。
一切從其他器官轉移至卵巢的腫瘤,都叫做轉移性卵巢瘤,由於德國人庫肯勃於1896年報導了這種獨特形態的卵巢瘤,證實為轉移瘤,所以也稱庫肯勃瘤。
Krukenberg瘤的CT表現及鑑別:Krukenberg瘤的CT診斷報導較少,CT表現缺少特異性需與卵巢原發腫瘤鑑別。Krukenberg瘤中原發腫...
,鏡下可見印戒細胞,又稱庫肯勃氏瘤。症狀分析卵巢腫瘤都市中有很多女性常常因...、腹脹、食慾減退,消瘦,發熱等。卵巢腫瘤的合併症有瘤蒂扭轉、破裂及感染...、生殖細胞腫瘤;5、性腺母細胞瘤;6、非卵巢特異性軟組織腫瘤;7、未分類腫瘤...
病症概述 病症分類 症狀分析 併發症 卵巢腫瘤的特點詩詞律韻探微詩詞律韻探微 詩詞律韻探微 孫德振 編著 香港銀河出版社出版 二零一零年六月 孫德振藝術簡介 孫德振,男,漢族,河南...
性肌纖維母細胞瘤生殖系統胃癌卵巢轉移(庫肯勃瘤)卵泡膜細胞瘤(左側卵巢...中樞神經系統 膠質瘤(一)星形細胞瘤(二)膠質母細胞瘤(三)少突膠質細胞瘤脈絡叢乳頭狀瘤室管膜瘤中樞神經細胞瘤腦膜瘤腦轉移瘤黑色素瘤椎管神經鞘瘤骨瘤...
圖書信息 內容簡介 作者簡介 圖書目錄班傑明亨利·伊安·庫斯克 Henry Ian Cusick 飾... Carbonell 飾 Richard Alpert 理察肯·梁...
簡單概述 劇情介紹 角色介紹 演員表 職員表病因本病多來源於胃。功能旺盛、血供豐富的卵巢適於轉移瘤生長。臨床表現...,中等硬度,呈半透明膠樣。瘤內有壞死、出血和囊性變,形成大小不等似海綿狀的小囊腔,囊腔內含有黏液或血性液。(2)鏡下 1)瘤細胞,為黏液細胞,含有...
病因 臨床表現 檢查 診斷 治療劇情簡介 生活大爆炸第四季 生活大爆炸主演 生活大爆炸主人公Leonard(JohnnyGalecki, "Roseanne")...
劇情簡介 分集劇情 演職員表 角色介紹 音樂原聲劇情簡介主人公謝爾頓·庫珀Sheldon Cooper (吉姆·帕森斯飾)和萊納德·霍夫斯塔特Leonard Hofstadter (約翰尼...泡妞的傢伙,很多時候他的泡妞手法都讓對方感到噁心。來自印度的拉傑什·庫斯...
劇情簡介 分集劇情 演職員表 角色介紹 音樂原聲