巨核細胞系統有以下幾種:
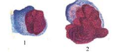
(1)原始巨核細胞:胞體較大,直徑l5~30μm,圓形或不規則形。胞核較大,圓形,不規則,核染色質呈粗大網狀,排列緊密,核仁2~3個。胞質量較少,不均勻,邊緣不規則,染深藍色,無顆粒,核周著色淺淡。
巨核細胞系統
巨核細胞系統(2)幼稚巨核細胞:胞體明顯增大,直徑30~50μm,外形常不規則。胞核不規則,有重疊或扭轉,核染色質呈粗顆粒狀或小塊狀,排列緊密,核仁可有可無,胞質量增多,染藍色或淺藍色,近核處呈淡藍色或淺粉紅色,出現少量天青胺藍顆粒。
(3)巨核細胞:
巨核細胞系統①顆粒型巨核細胞:胞體甚大,直徑40~70μm,有時可達100μm,其形態不規則。胞核較大,形態不規則,核染色質較粗糙,排列緊密呈團塊狀,無核仁,胞質極豐富,染粉紅色,夾雜有藍色,質內含有大量細小的紫紅色顆粒,常聚集成簇,但無血小板形成。
巨核細胞系統②產生血小板型巨核細胞:胞體巨大,直徑40~70μm,有時可達100μm,胞核不規則,高度分葉狀,核染色質呈團塊狀。胞質呈均勻粉紅色,質內充滿大小不等的紫紅色顆粒或血小板。胞膜不清晰,醫.學教.育網.收集整理多呈偽足狀,其內側及外側常有血小板的堆集。
巨核細胞系統③裸核型巨核細胞:產生血小板型巨核細胞的胞漿解體後,釋放出大量血小板,僅剩一胞核,稱之為裸核。
(4)血小板:胞體很小,直徑僅2~4μm,呈星形、橢圓形、逗點狀或不規則形。胞質染淺藍色或淡紅色,中心部位有細小紫紅色顆粒,但無細胞核。
