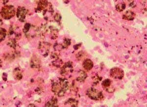
原理
當血紅蛋白通過腎濾過時,部分鐵離子以含鐵血黃素的形式沉積於上皮細胞,並隨尿液排出。尿中含鐵血黃素是不穩定的鐵蛋白聚合體,其中的高鐵離子與亞鐵氰化鉀作用,在酸性環境下產生普魯士藍色的亞鐵氰化鐵沉澱。尿沉渣腎小管細胞內外可見直徑1 ~3μm 的藍色顆粒。
參考值
正常人呈陰性
臨床評價
Rous 試驗陽性提示慢性血管內溶血,尿中有鐵排出。無論有無血紅蛋白尿,只要存 在慢性血管內溶血如PN H ,本試驗結果即呈陽性,並可持續數周。常見於陣發性睡眠性血紅蛋白尿。但在溶血初期,雖然有 血紅蛋白尿,上皮細胞內尚未形成可檢出的含鐵血黃素,此時本試驗可呈陰性反應。
注意事項
需注意由於尿含鐵血黃素是隨脫落的腎小管上皮細胞排出,而且為數較少,所以必須用足夠的尿量離心沉澱後再對沉渣進行染色檢查。對可疑的結果應當重複檢查確定。

