小腦腦橋角腦膜瘤流行病學
文獻報導橋小腦角腫瘤中以聽神經瘤多見,占70%~80%,腦膜瘤僅占6%~8%第3位為膽脂瘤占4%~5%。發病以中年女性為多,平均年齡43.8歲,女∶男為1.53∶1。
發病機制
腫瘤的類型以內皮型和纖維型多見,多發生於岩骨後面和內聽道內側的腦膜上,常與岩上、下竇或乙狀竇相連。多數呈球形結節狀,少數為扁平狀腫瘤的血供來自於岩骨後面的硬腦膜,也可來自於小腦前下和小腦後小動脈的分支。按腫瘤與內聽道的關係,常分為內聽道前組和內聽道後組。
臨床表現
小腦腦橋角腦膜瘤腦神經以聽神經損害最多見,患側聽力減退和早期耳鳴占90%以上,眩暈較少見,前庭功能試驗和電測聽檢查多可發現異常其次為輕度面神經損害;病側面肌癱瘓或面肌痙攣多為早期表現,有人報導約占68%。
三叉神經損害也較多見病人表現患側面部麻木、感覺減退、角膜反射遲鈍或消失;若三叉神經運動支受累可見顳肌萎縮。個別病例患側面部或舌部陣發性劇痛,單就疼痛的程度難與繼發性三叉神經痛鑑別。
較常受損的是舌咽神經和迷走神經吞咽嗆咳、聲音嘶啞、檢查可見咽反射減弱或消失,軟齶下垂或提齶無力。而展神經舌下神經和副神經的損害在橋小腦角腦膜瘤中較少見。
小腦功能障礙是僅次於聽神經損害的常見症狀,表現為走路不穩及患側肢體共濟失調,粗大的水平眼球震顫;出現語言障礙者較少見腫瘤較大壓迫腦幹時,可出現同側肢體肌力減弱,少數患者伴有病側淺感覺減退後期有時可出現雙側錐體束征。
併發症
腦水腫1.腦膜炎 顱後窩腫瘤術後比其他部位的腫瘤手術後更容易發生腦膜炎多發生在術後1周左右,患者多持續高熱,頸部抵抗感,腦脊液白細胞增多,尤其是中性分葉核細胞增多明顯,但反覆細菌培養呈陰性,老年人可能症狀與體徵都不如青壯年者明顯,但是一旦惡化,預後很差因此對於顱後窩開顱手術的患者,尤其是腦橋小腦角區腦膜瘤的患者,早期多次、緩慢適量的腰椎穿刺釋放腦脊液有利於促進腦脊液循環的恢復,減少腦膜炎的發生。另外應儘量縮短手術操作時間健康搜尋減少腫瘤殘餘手術結束後反覆沖洗術腔,手術後預防性套用抗生素等都是預防腦膜炎的關鍵。腦膜炎一旦發生,則需要積極處理,更換有效的抗生素,多次腰椎穿刺釋放腦脊液,也可以腰椎穿刺置管引流,必要時可行慶大黴素鞘內注射。
2.後組腦神經損傷 若患者後組腦神經受牽拉、鉗夾或手術後粘連,則術後患者易發生飲水嗆咳聲音嘶啞、咳嗽反射減弱等,此時患者易發生吸入性肺炎,術後有意識障礙的患者更容易發生。此併發症一旦出現可預防性行置胃管鼻飼,靜脈輸液保證患者的能量及保持水電解質平衡,給予營養神經藥物治療,促進患者神經功能的恢復,平時護理時應注意多翻身、拍背等促進痰液排出。一旦發生吸入性肺炎應儘量吸出吸入氣管內的食物,霧化稀釋痰液必要時氣管切開,更換有效的抗生素。
3.腦幹損傷 若切除腫瘤過程中過度牽拉腦幹,電灼過多的腦幹供血動脈或直接電灼腦幹,則易導致偏癱,甚至出現呼吸循環功能紊亂此併發症應以預防為主,若一旦發生應針對性治療呼吸循環紊亂的患者多預後不良,若僅為一過性腦幹水腫則功能有可能恢復,若發生梗死則較難恢復。針對腦幹損傷無有效的治療措施,水腫應使用脫水藥,有時高壓氧可以促進功能恢復,針灸也有一定的效果。腦幹損傷所致肢體癱瘓,保守治療過程中應注意預防靜脈血栓形成尤其是下肢深靜脈血栓形成,此併發症也應以預防為主,手術後應針對癱瘓的肢體進行針對性治療,如被動活動、按摩、理療、針灸、抗凝等。
4.三叉神經、面神經損傷 常發生營養不良性角膜潰瘍或暴露性角膜炎此併發症的發生與手術操作有很大的關係,一般發生在手術後半年左右。患者因長期眼瞼不能閉合或角膜反射減弱導致角膜炎、甚至角膜潰瘍的發生。防治的關鍵在於預防,術後患者出現角膜反射減弱或周圍性面癱時應及時處理,防止或延緩角膜炎及角膜潰瘍的發生。患者應長期套用氯黴素眼藥水或紅黴素眼藥膏,保持角膜的營養,必要時可將眼瞼縫合。
5.腦水腫 腦膜瘤術後易發生腦水腫,腦橋小腦角腦膜瘤也不例外。一旦發生應給予減輕腦水腫的藥物。
6.腫瘤復發 多因手術未完全切除腫瘤,或未處理好腫瘤的基底及受腫瘤侵蝕的顱骨所致對於腫瘤未完全切除的患者,應進行放射治療或內放射治療。一旦腫瘤復發,仍應手術治療。
7.其他器官病變 若患者手術前合併心臟、肺或其他全身系統疾病,術後可能發生多器官功能衰竭。此併發症的防治關鍵在於預防,手術前充分估計患者耐受手術的能力,術前充分準備後方可進行手術。
診斷
患者逐漸出現進行性一側腦橋小腦角綜合徵伴有顱內壓增高症狀,特別是首發非聽神經症狀,結合CT及MRI等影像學檢查,一般可以做出診斷。
鑑別診斷
小腦腦橋角腦膜瘤1.聽神經鞘瘤 症狀與橋小腦角腦膜瘤相似一般聽神經鞘瘤症狀多自聽神經開始,內聽道有擴大、破壞聽神經鞘瘤多見於男性,而腦膜瘤以女性為多。若無聽神經症狀或損害岩骨尖破壞,伴有附近鈣化,則首先考慮腦膜瘤。聽神經鞘瘤的CT及MRI檢查則表現圓形或分葉狀的低密度灶邊界清楚,少數呈略高密度,內聽道多呈錐形或漏斗形擴大,第四腦室受壓變形並向對側移位或閉鎖,導水管、三腦室、側腦室擴大。增強後多有明顯強化囊變或壞死部分有大小不等的低密度區。MRI檢查表現為長T1、長T2信號。
2.腦橋小腦角膽脂瘤 多表現三叉神經痛或橋小腦角綜合徵,年齡較輕,病程較長,腦神經多有損害。X線平片示少數橋小腦角膽脂瘤可見岩骨尖或岩骨嵴破壞,內聽道口不擴大;CT的典型表現為低密度影注射造影劑一般不強化;MRI表現在T1加權像信號更低,在T2加權像上信號更高,且內部信號不均勻。由於膽脂瘤為匍匐樣生長,對鄰位結構是包繞而不是推移,不發生異常對比增強。
3.原發性三叉神經痛 症狀為局限性的三叉神經分布區的陣發性劇烈疼痛,一般無異常體徵。X線平片、CT及MRI無異常發現。
4.腦蛛網膜炎 有感染史,病程波動,除局限症狀外常有一些較彌散的體徵,腦脊液有炎症改變。抗炎治療有一定效果。
檢查
實驗室檢查:
無特殊表現。
其它輔助檢查:
1.腦血管造影 正位像可以顯示大腦後動脈及小腦上動脈向內上移位,腫瘤向斜坡發展時,基底動脈分叉處向對側移位。側位像小腦後下動脈向後移位。同時可見腫瘤染色。
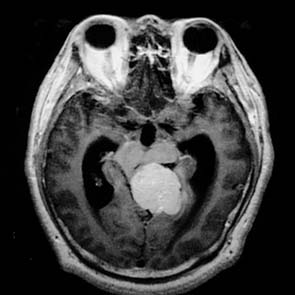
2.CT及MRI掃描 腫瘤體積一般較大(多大於3.5cm)位於橋小腦角,以廣基與岩骨相連邊界清楚,呈卵圓形,基底附著寬。不增強時密度鶒不高,均勻一致,注射造影劑後呈均一性強化。可見鈣化或岩骨骨質破壞或增生。腫瘤不以內聽道口為中心,內聽道一般不擴大,而往往與小腦幕有粘連,冠狀掃描更能證實腫瘤與小腦幕的關係。在MRI圖像中,腫瘤信號與腦灰質相似,T1加權像上為低、等信號,T2加權像上為等、高信號;瘤內可見鈣化或囊變,腫瘤周圍多伴有水腫。腫瘤與周圍的關係顯示更加清晰,這對制訂手術方案是極為有利的。
治療
治療手術切除仍是惟一有效的方法。手術多採用患側枕下開顱,術中放出腦脊液這樣可不必過分牽拉小腦,後組腦神經暴露和保護都很容易而且暴露小腦幕切跡、中腦、基底動脈上部以及第Ⅲ腦神經與顳下入路相差鶒不多有時顳下入路和枕下入路可聯合使用,使腫瘤暴露更充分為全切腫瘤提供更有利的條件。
顳下入路切開小腦幕,術野較寬闊,基底動脈、第Ⅲ、Ⅳ、Ⅴ腦神經顯示更清楚,但此入路會造成腦損傷及Labbe靜脈損傷,嚴重可術後出現癲癇和偏癱。
預後
CT及MRI套用,早期發現腫瘤,套用顯微手術切除,使橋小腦角腦膜瘤全切的成功率進一步提高,手術效果越來越好,腫瘤未能全切的原因多是腫瘤較大且質地堅硬,與腦幹和腦神經粘連緊不易分離,或腫瘤向幕上發展,幕下開顱無法暴露。提高橋小腦角巨大腦膜瘤的手術效果寄希望於腦神經和血管再造。

