小腦扁桃體鄰近延髓和枕骨大孔的兩側,當顱內壓增高時,小腦扁桃體有可能受擠而嵌入枕骨大孔,造成小腦扁桃體疝(枕骨大孔疝),壓迫延髓,危及生命。
相關詞條
-
小腦扁桃體下疝
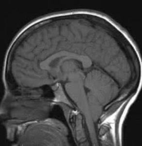
小腦扁桃體下疝畸形又名阿諾德-奇阿(Arnold–Chiari)畸形,為常見的先天性發育異常。是由於胚胎髮育異常使小腦扁桃體下部下降至枕骨大孔以下、頸椎...
疾病分類 病因病理 臨床表現 診斷 鑑別診斷 -
小腦扁桃體下疝畸形
小腦扁桃體下疝畸形又名阿諾德-奇阿(Arnold–Chiari)畸形,為常見的先天性發育異常。是由於胚胎髮育異常使小腦扁桃體下部下降至枕骨大孔以下、頸椎...
疾病分類 病因病理 臨床表現 診斷 鑑別診斷 -
小腦扁桃體
小腦扁桃體:小腦扁桃體位於小腦半球下方一對明顯的隆起,叫小腦扁桃體。此扁桃體正位於枕骨大孔上方,腦壓增高或附近發生腫瘤時可將其擠壓入枕骨大孔外,即為枕骨...
一、概述: 二、解剖結構: 三、與小腦扁桃體相關的疾病: -
小腦扁桃體疝(枕骨大孔疝)
由於顱內高壓或後顱窩占位病變將小腦和延髓推向枕骨大孔並向下移位。 疝入枕骨大孔的小腦扁桃體和延髓形成圓錐形,腹側出現枕骨大孔壓跡。
-
新小腦
新小腦: 小腦後葉位於小腦原裂和後外側裂之間。小腦後葉除去蚓垂、蚓錐體以外的其餘部分,是進化上最新的部分,稱為新小腦。它與大腦皮質通過皮質腦橋束、腦橋核...
解剖結構: 小腦的發展: 與小腦扁桃體相關的疾病: -
小腦膿腫
小腦膿腫臨床上較常見,其發病率僅次於顳葉膿腫。文獻報告約占全部腦膿腫的13%,任何年齡皆可發生,但以11~35歲最多見,占67.5%。小腦膿腫多形成於小...
病因病理 主要症狀體徵 誤診概況 誤診範圍 誤診原因 -
腦疝
正常顱腔內某一分腔有占位性病變時, 該分腔的壓力比鄰近分腔的壓力高,腦組織從高壓區向低壓區移位, 被擠到附近的生理孔道或非生理孔道, 使部分腦組織、神經...
病因 發病機制 分類 分期 臨床表現 -
枕骨大孔疝
當顱內某一分腔有占位病變,該分腔的壓力比鄰近分腔的壓力要高,於是壓力高的部位腦組織向壓力低的部分擠壓、移位,即是腦疝。枕骨大孔疝又稱小腦扁桃體疝,大多發...
發病機制和病理生理 臨床表現 治療處理原則

