疾病簡介
原發綜合徵和支氣管淋巴結核,在臨床上難於區分,只是在X線檢查時有不同表現。結核菌在肺內引起炎症性病灶和乾酪樣壞死,並由淋巴管傳播肺門淋巴結,引起淋巴結腫大。肺內原發病灶、引流淋巴管炎和肺門淋巴結腫大,合稱原發綜合徵。原發病灶大多位於右肺中部。若肺內病變吸收而肺門淋巴結病變繼續發展,則為支氣管淋巴結結核,即肺門結核。
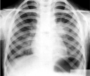
此型結核在臨床表現可輕可重,輕者可無症狀,偶可體檢時,作胸透時才被發現;重者可有結核中毒症狀,如長期低熱,輕咳,食欲不振,消瘦等,多見年齡較大兒童;再有表現為急性發病,多見於嬰幼兒,突然高熱持續2~3周,爾後低熱,但一般情況尚可,也可伴結核中毒症狀。如腫大的淋巴結壓迫氣管、支氣管,可有陣發性咳嗽或哮喘性呼吸困難。體格檢查肺部可無陽性體徵,可僅有全身淺表淋巴結腫大。血常規檢查:白細胞計數或可增加,核左移。血沉增快。痰細菌培養有時陽性。結核菌素試驗大都強陽性。X線檢查:原發綜合徵可見雙極啞鈴狀徵象;支氣管淋巴結核,可見肺門淋巴結腫大,或伴肺門炎性浸潤。
原發性肺結核病程一般呈良性,發病3~6個月後開始吸收或硬結,可在2年內吸收痊癒和鈣化。通過纖維鈣化而癒合,這是小兒結核的特徵之一。
臨床表現
臨床症狀:低熱、盜汗、消瘦、萎靡,偶有持續高熱、頸部淋巴結腫大者。

