發病機制
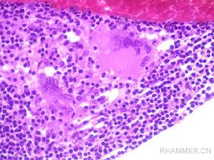
體液免疫正常或增強,IgM、IgA及IgG多增高。在急性期肉芽腫周圍和內部主要為T輔助淋巴細胞浸潤,病灶消退後,T淋巴細胞減少,但存留的淋巴細胞主要是T抑制細胞。
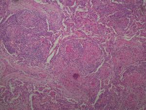
病理特徵是沒有乾酪壞死的慢性肉芽腫炎症。
小兒結節病疾病症狀
症狀輕重懸殊,主要取決於受累的器官。起病緩慢,可有咳嗽、疲倦、體重減輕,骨與關節疼痛等症狀。多由於發現淋巴結腫大、腮腺腫大、皮疹或虹膜炎,葡萄膜炎而就診。根據受累的器官可見下列症狀:
肺部浸潤:兒童期發病主要侵犯肺臟。起病時症狀多不明顯,可出現咳嗽,多在X線檢查時發現病灶。肺門和氣管周圍淋巴結腫大,肺野可見粟粒樣結節或網點狀陰影,有時與粟粒結核很難鑑別。肉芽腫滿布於肺泡內時可呈絮狀陰影。偶有胸痛。肺門淋巴結腫大嚴重時出現氣促,肺內病變嚴重者可出現肺大皰,氣胸和支氣管擴張。以上病變可以自然吸收,部分可發展成纖維化。個別病例由於肺組織廣泛破壞,引起肺功能不全和心力衰竭。
淋巴結腫大:除縱隔淋巴結腫大外,可有全身淺表淋巴結腫大,無壓痛,不粘連。肝脾多增大,腮腺腫大是比較突出的症狀。
皮疹:約有1/3以上的病人有特殊的皮膚改變,多見於4歲以下兒童,一般多為重症。可見各種肉瘤樣肉芽腫,多見於面部,小兒有這類皮疹的預後不良。皮疹可以是蠟黃色的粟粒結節或較大的丘疹,有的可呈苔蘚狀,凸起或平的光滑的紫紅色斑疹或丘疹,直徑可達1cm以上。結節樣紅斑也很常見,尤其多見於女孩,常為此病的早期症狀。皮疹可出現瘙癢。
眼症狀:眼部病變可造成嚴重的視力障礙。角膜炎、虹膜炎、虹膜睫狀體炎、葡萄膜炎(眼色素層炎)和青光眼比較多見。偶出現視網膜炎或視網膜出血。淚腺偶被侵犯,可有多淚等症狀。最終可致葡萄膜纖維化而致視力障礙。
唾液腺腫大:該病的一個特異性症狀是腮腺和其他唾液腺的無痛性腫大,同時合併葡萄膜炎、面神經麻痹和發熱,有“葡萄膜腮腺熱”之稱。
骨骼及關節病變:骨骼變化較多見於手足,但非常見症狀,有輕度疼痛和運動受限,X線片呈多發性囊狀改變,關節滑膜增厚,腱鞘受累,但無骨質疏鬆改變,與類風濕關節炎不同。1歲以下嬰兒極少發病,但其主要症狀為關節炎、皮疹和眼部症狀,很像類風濕性關節炎。
其他症狀:如侵犯心肌或心包,可出現相應的症狀。除肺源性心臟病外,常見心律失常。如侵犯肌肉,可出現肌萎縮或假性肥大。偶見神經症狀出現顏面麻痹。亦可涉及內分泌腺體,如侵犯垂體可出現尿崩症;侵犯腎上腺皮質可出現阿迪森(Addison)綜合徵等。兒童時期的結節病很少出現腎臟病變,僅偶見蛋白尿、膿尿、血尿或間斷出現糖尿和顆粒管型。部分病兒出現高鈣血症,其嚴重程度及持續時間與腎功能似有一定關係。有腎功能衰竭的多合併高鈣血症。少數病兒有鼻塞、嘶啞、耳聾及夜尿。
根據多臟器浸潤的臨床症狀和X線檢查,若有肺部症狀和皮疹、眼色素膜炎或關節炎則應高度懷疑該病,對可疑病例應做淋巴結、皮疹等活檢。若見到非乾酪樣肉芽腫多可確診。若肺部症狀為主應做開胸肺活檢或經氣管肺活檢,支氣管肺泡灌洗,即使肺部病變不嚴重,灌洗液中可見大量的淋巴細胞,主要是T淋巴細胞。近年來做肺部掃描可發現胸部病變。
相關檢查
實驗室所見多為非特異性。可見高蛋白血症,白蛋白與球蛋白比值降低,血沉增快,周圍血嗜酸細胞增高,尿鈣增多,偶見血鈣增高。血漿血管緊張素轉化酶(ACE)濃度增高等。
約40%~60%的患兒X線可見肺門淋巴結腫大,或合併肺紋理增多。胸部TV可見到一般X線不能發現的肺門淋巴結腫大。
疾病治療
尚無特效療法。主要是對症和支持治療。腎上腺皮質激素可使症狀減輕,尤其對於控制眼部症狀、肺部症狀和降低血鈣起到較好的作用。服用潑尼松(強地松)40mg/m2或甲潑尼龍(強地松龍)1mg/kg,分3次口服,用藥後皮疹消失較快,血鈣明顯下降,腎功能逐漸恢復,尿鈣消失。對於腫大的淋巴結、肝、脾和關節腫痛亦可起到減輕和緩解的作用。
治療過程中應觀察呼吸功能和血沉等的變化,以判斷療效。緩解後逐漸減量,用最小有效量1次/d,口服,共維持半年左右。
病程多遷延,預後難以預測,即使服用腎上腺皮質激素也可見緩解與復發交替出現的現象,經數月或數年後可自然緩解或完全恢復。也有反覆發作,病情逐漸進展而發生肺纖維化,有眼部症狀的可發展為葡萄膜纖維化,甚至失明。個別病人可發生腎鈣質沉著症。
疾病預後
輕症可恢復正常,重症造成多器官功能嚴重受損,影響預後。
併發症
肺內病變嚴重者可出現肺大皰,氣胸和支氣管擴張,可發展成纖維化,引起肺功能不全和心力衰竭。眼部病變可造成嚴重的視力障礙。可並發尿崩症,出現阿迪森(Addison)綜合徵,偶見蛋白尿、膿尿、血尿,高鈣血症,腎功能衰竭等。

