【影像學表現】
CT表現:
1.有一個或多個副脾。為結節狀或球狀的組織,密度或增強特性與正常脾臟相同。
2.脾臟異位,可位於右側腹部。
3.多同時有多臟器的移位症,如右位心、異位的肝、胃腸、膽囊膽道等,即內臟異位症。
4.個別病例有可能同時發生膽囊先天缺如、心臟與大血管發育不全、畸形等。

為先天性變異。多脾可以單獨發生,亦可合併心血管及內臟多種畸形。
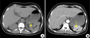
CT表現:
1.有一個或多個副脾。為結節狀或球狀的組織,密度或增強特性與正常脾臟相同。
2.脾臟異位,可位於右側腹部。
3.多同時有多臟器的移位症,如右位心、異位的肝、胃腸、膽囊膽道等,即內臟異位症。
4.個別病例有可能同時發生膽囊先天缺如、心臟與大血管發育不全、畸形等。
脾-肝綜合徵(Splenic-LiverSyndrome)是指具有脾大、貧血、肝硬化的一組病徵,也稱血栓靜脈炎性脾大綜合徵、脾性貧血、充血性脾大綜合徵、...
概述 病因病理 臨床表現 化驗檢查 診斷乳頭肌綜合徵多脾綜合徵龐普綜合徵心臟術后綜合征心動過速后綜合征預激綜合徵早期...阿-斯綜合徵大動脈炎綜合徵無脾綜合徵原發性肺動脈高壓綜合徵布蘭德-懷特...綜合徵胎兒-母親出血綜合徵新生兒多血性高粘稠度綜合徵佩爾格綜合徵喬布綜合徵...
作品目錄兒童多動綜合徵又稱“輕微腦功能障礙綜合徵”(MBD),是兒童時期一種較常見的行為異常性疾患。患兒智力正常或接近正常,以難以控制的動作過多,注意力不集中,...
疾病簡介 病因病機 臨床診斷 辨證論治 預防護理過敏性紫癜綜合徵(Allergic PurpuraSyndrome)又稱Schonlein-Henoch紫癜、出血性毛細血管中毒症(Hemorrhagi...
臨床表現 NO相關性 冬天多發 發病機理 病理診斷脾切除術廣泛套用於脾破裂、遊走脾(異位脾)、脾局部感染或腫瘤、囊腫、肝內型門靜脈高壓症合併脾功能亢進等引起充血性脾腫大等疾病。脾臟是人體內最大的周圍淋巴...
適應證 術前準備 技術要點 術後併發症及防治 術後注意事項方解方中補骨脂、吳茱萸、肉豆蔻、五味子取四神丸之意,溫腎暖脾,澀腸止瀉;黨參、白朮、茯苓、甘草益氣健脾,與溫中暖腸胃的炮姜、吳茱萸配合,運脾土,振奮中陽...
治法 方藥 方解 注意事項《腹腔鏡二級脾蒂離斷法脾切除術》一片由浙江大學醫學院附屬邵逸夫醫院製作,人民衛生出版社出版發行,是國家衛生部醫學視聽教材,該課件主要介紹了腹腔鏡下二級脾...
基本信息 手術操作 參考資料費爾蒂(Felty)綜合徵首先由Felty(1924)報導,其特點為類風濕關節炎合併脾腫大和白細胞減少與普通型類風濕關節炎不同。Hanrakar等(19...
疾病概述 流行病學 病因 發病機制 臨床表現總之,脾切除術中發生意外的大出血,常使病人失血過多,發生休克,嚴重影響到術後的恢復。
手術操作