一、病因及常見分類:
GBM是由星形細胞瘤惡變而來,是星形細胞瘤中惡性程度最高的類型。GBM一般被認為是星形細胞瘤、混合性星形少突細胞瘤、少突膠質細胞瘤進行性間變的表現,為分化Ⅳ級的星形細胞瘤。這一變化時間長短不一,但可能相當短。伴有分化好的膠質瘤成分被稱為繼發性膠質母細胞瘤,不伴有分化好膠質瘤成分的被稱為原發性膠質母細胞瘤。原發性GBM可來源於生長過於迅速的分化好的膠質瘤,也可來源於伴有星形及少突膠質細胞分化傾向的Denovo原始腫瘤。少見的變異型GBM可分為巨細胞性膠質母細胞瘤、富脂質上皮樣膠質母細胞瘤及膠質肉瘤三型。
二、鑑別診斷:
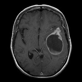
臨床表現多為頭痛、抽搐及精神症狀等,腫瘤生長迅速,高度惡性,病情進展一般較快,平均存活期約12個月。GBM的細胞學特點為瘤組織內見到明顯壞死灶,周圍瘤細胞呈柵欄狀排列,間質內小血管明顯增生呈花蕾狀、腎小球樣,或形成彎曲長帶狀,瘤細胞常呈多形性,易見異形多核巨細胞,習慣上常稱為多形性膠質母細胞瘤。免疫組化標記常以GFAP(+)為基礎,波形蛋白(Vimentin)(+)多提示瘤細胞分化較差,EMA、細胞因子(CK)(+)多提示瘤細胞上皮樣化生。GBM主要位於大腦半球的白質內,常侵犯額、顳、頂葉,枕葉較少見,基底節和胼胝體常受累,瘤組織可以經胼胝體侵犯對側大腦半球呈S形生長,或是經胼胝體在兩側大腦半球深部呈蝶形生長,丘腦的GBM也不少見。小兒和青年人的腦幹膠質瘤大多轉變為GBM,小腦內GBM十分少見。由於腫瘤細胞高度間變和不成熟性、新生血管結構不良、血栓形成等原因,所以常有廣泛退變出血和壞死,因此腫瘤具有多形性的特徵。
GBM的生長特性:①可沿白質中的神經束伸展至深處,例如額葉腫瘤可沿額頂束生長至同側頂葉,沿鉤束生長至同側顳葉,甚至可沿胼胝體生長至對側大腦半球;②多中心性生長,有4.9%~20%的GBM由幾個似乎獨立的瘤中心組成,各個瘤中心常聚集在一起,有時在腫瘤主體附近可見衛星灶。

