分類
口腔疾病,醫學名詞的一種。
病理病因
1.牙胚原位錯誤牙胚距萌出點過遠或位置異常。
2.萌出障礙因鄰牙畸形、乳牙早失使間隙縮小,額外牙的阻礙、幼兒期頜骨感染或外傷等所致。
3.全身性因素遺傳因素或內分泌障礙,如鎖骨、顱骨發育不全症患者常有多個埋伏牙。
埋伏牙與其周圍組織之間存在牙囊組織,一般是無炎症的。埋伏牙有一種向牙齒胎面及切端方向移動的自然趨勢,遇到阻礙時則產生壓力。埋伏一段時間之後,牙冠釉質表面的成釉上皮會萎縮消失,其上可能有來自牙囊的牙骨質沉積。偶見埋伏牙的牙體組織發生置換性吸收,易誤認為齲齒。
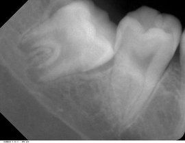
臨床表現及診斷
埋伏牙臨床多見於第三磨牙,其次為上頜尖牙,第二雙尖牙和額外牙等,有時有雙側的埋伏牙。一般由X光片檢查發現。在上頜中切牙之間,常有額外牙埋伏,可使兩個中切牙之間間隙加寬。埋伏牙可對相鄰的牙齒產生壓迫症狀,如第二磨牙受埋伏的第三磨牙壓迫,發生牙根吸收,引起疼痛並繼發牙髓炎和根尖周炎。偶見多年戴總義齒的老年患者,有埋伏牙的萌出。

