簡介
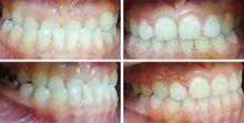
地包天矯正術在正常情況下,當上下牙齒咬合時,應該是上前牙咬在下前牙的外面,若相反的話即下前牙咬在上前牙的外面,這在醫學上稱“前牙反牙合”、“反牙合”,俗稱“地包天”,也叫“兜齒”。
地包天是最常見的頜骨發育性疾病,影響美觀。通常情況下,上頜的牙齒蓋住下頜的牙齒;“地包天”則相反,下頜牙齒往前伸,咬在上頜牙齒前面。部分“地包天”矯治越早越好。在早期,可通過一些簡單的方法來阻止進一步發展。當發現孩子下頜有這種趨勢時,就要請醫生,做些簡單矯正裝置。如果孩子在乳牙階段出現此狀況,必須及時矯正,千萬不能等換牙後,以免形成骨型畸形。
類型
地包天矯正術正常情況下,地包天可單純表現為前牙反合,而後牙關係正常,面部外形無明顯異常。嚴重者,除前牙反合外,後牙為近中錯合和面中l/3發育不足,下頜前突等畸形。分為三型。
1、牙源型:多由局部障礙引起,表現為單純性前牙反合,反覆蓋較小,磨牙關係為中性或開始近中合。下頜大小形態正常,上下頜骨關係正常,下頜能後退至切對切關係,顏面基本正常。
2、功能型:多由不良哺乳姿勢等而引起的下頜功能性過度前伸和前牙反合,下頜大小和形態正常,下頜能後退至前牙切對切關係,又稱假性下頜前突。
3、骨源型:多由遺傳和疾病等因素所致。除前牙反合外,反覆蓋大,磨牙為近中合,並有頜骨畸形,表現為下頜體長,下頜支短和下頜角鈍,上頜發育不足,額部明顯前突,下頜不能自行後退,面部呈凹面型,有時還伴有開合畸形。
適應症
本病在乳牙期和混合牙期矯治,常常因配合不好而致矯治效果不甚理想;到了患兒在乳牙全部替換掉至第二大磨牙萌出這一段時期內,即12~16歲左右施行矯治術,可獲得較好療效。
術前準備
術前應注意口腔衛生,做一個全面的口腔檢查,先做基礎治療,如注意齲齒的治療,牙周炎的治療,口腔潰瘍的治療等。
手術方法
1、乳尖牙調牙合、咬翹法:適用於由於乳尖牙磨耗不足或個別牙合干擾造成的前牙反合,通常在消除合干擾後,前牙反牙合會自行糾正。
2、去除不良習慣:造成乳牙反牙合常見的口腔不良習慣有前伸下頜、咬上唇。
3、下頜聯冠斜面導板:乳牙深反覆牙合患者,可採用下頜聯冠斜面導板矯治器。
4、上頜舌簧活動矯治器:是通過唇向移動舌傾的上前牙或個別牙,去除咬合干擾,解除前牙反牙合,吃飯時必須戴用。
5、局部固定矯治器:替牙早期個別前牙反牙合可能導致咬合創傷,可採用局部固定矯治器,唇向傾斜上前牙,舌向移動下前牙,消除咬合干擾並解除前牙反牙合。
6、上頜前方牽引裝置:牽拉上頜骨,適合於生長發育高峰期前上頜發育不足的兒童。
矯治方法
1、普通正畸:通常見到的“鐵齒鋼牙”的矯治方法,用粘結劑將矯正裝置粘固於牙齒上,患者不能自行摘戴,只能由正畸醫師裝拆、調整加力。往往需要2~3年左右,需要每個月複診一次, 醫生逐漸加力使牙齒移動,達到設計的理想狀態,正畸工作基本結束。拆除矯治器以後還要戴一段時間保持器,以鞏固正畸成果,防止復發。
2、隱形正畸:傳統牙頜畸形矯正器是在牙齒上粘結稱為托槽的小鐵片,將矯正弓絲結紮上去,使牙齒髮生移動,達到矯正的目的。隱形透明正畸是3D立體電腦技術,量身定製一系列近乎無法察覺的透明牙托來完成整個矯正療程。矯正時間需要2年左右。
3、 烤瓷矯正:先用合金製成金屬基底,再在其表面覆蓋與天然牙相似的低熔瓷粉,在真空高溫烤瓷爐中燒結熔附而成,因而有金屬的強度和烤瓷全冠的美觀。它的特點是能恢復牙體的形態功能,抗折力強且顏色、外觀逼真,表面光滑,耐磨性強不會變形,色澤穩定, 成功的烤瓷修復體應當是形態逼真。是一種帶有損傷性的治療,對牙體有損傷,烤瓷牙的使用年限臨床醫學觀察是八年。
4、仿生美容冠矯正:牙齒美容中的一種新型的技術,它採用3D數碼定位技術,對牙齒的自然形態和顏色全面分析,根據牙冠、牙根、牙頸三部分形態,再結合專業牙齒美容醫師的檢測,制定出最適合的牙齒美容方案。
5、微正畸矯正:採取整形外科與口腔科專家聯合共同矯正的方式,僅部分青枝骨折,時間僅需一小時,出血極少,風險小、恢復快,周期由以往的幾個月縮短至兩周,比以往傳統全斷開術式過度自然。能夠完全恢復正常的咬頜狀態,還您完美的下面部。
術後須知
1、克服初戴期的不適:剛剛戴用矯正器的開始幾天甚至一二周內,可能引起牙齒酸脹甚至疼痛,以及頰唇部黏膜的刺痛,患者要有這個思想準備並配合醫生渡過這個初始期。
2、細心保護矯正裝置:粘結在牙面上的托槽及穿行其中的弓絲都是非常精細的裝置,患者必須倍加呵護,這就必須做到:刷牙既要仔細,動作又要輕盈,避免暴力碰撞裝置;進食或咀嚼食物時動作要輕,儘量避免食用粗硬食物;手指不要觸摸或撥弄牙面上的矯正裝置。
3、嚴格依照醫囑配合:患者應該嚴格遵循醫生的要求,在整個治療過程中配合治療,如橡皮圈的更換、口外弓的套用、活動矯正器的戴用。另外,遵囑準時複診也是達到良好矯治效果的必要條件。
注意事項
不吃過粘食物;保持口腔清潔;兒童矯正牙齒少吃零食;可用水或茶水餐後漱口;不吃骨類、硬殼食物。
在牙齒矯正期間,除了遵守醫生的指示外,還要小心護理牙齒上的矯正器。首先應該避免吃質地較硬的食物,比如:骨類食物、蟹、堅果類等。還要避免吃大塊的食物,比如要把蘋果切成小塊才吃,這樣可以防止因飲食不當而導致矯正器的附屬檔案鬆脫,從而使得整個矯治的過程能順利完成。
最佳時間
根據牙齒畸形的嚴重程度,具體情況要具體分析的。兒童和青少年時期的矯正年齡並不相同的。醫學上對反頜的矯正原則是儘可能及早消除病因,早期矯治,可收到良好的矯治效果,並可防止畸形向嚴重發展。一般個別牙輕度的反頜可在醫生的指導下,家長自行進行治療,而多個牙反頜或畸形較嚴重時,則需要需要用矯治器或外科正牙矯正。許多前牙反頜可單純經過牙科醫生進行矯治而恢復正常的咬頜功能和顏面的美觀。
通常情況下,乳牙反頜輕度的可暫時不矯治,待乳牙脫落替換恆牙時,有的反頜畸形能自行矯正過來。而重度、顯著的乳牙反頜,在4周歲時進行治療為好。在替換牙期和恆牙早期,頜面部生長發育旺盛,反頜畸形如及時得到矯正,可收到事半功倍的效果,並能及時阻斷頜骨的異常生長發育,是矯治反頜的關鍵時期。一般年齡在8~12歲。否則只好通過外科正牙治療,才能取得好的效果。
最佳年齡
最佳矯正年齡一般分三個階段:
乳牙期階段(4—5歲)。
替牙期階段(女孩:8—10歲,男孩:9—12歲)。
恆壓期階段(女孩:11—14歲,男孩:13—15歲),如果錯過未成年矯正期也不用著急,可採用成人牙齒畸形矯正方式矯正。

