四維B超
四維彩超胎囊:也叫孕囊。月經28-30天規則來潮的婦女,停經35天,B超就可以在宮腔內看到胎囊。在懷孕6周時胎囊直徑約2厘米,孕10周時約5厘米。胎囊位置在子宮的宮底、前壁、後壁、上部、中部都屬正常;形態圓形、橢圓形、清晰為正常;如胎囊為不規則形、模糊,且位置在下部,孕婦同時有腹痛或陰道流血時,可能要流產。
胎頭:輪廓完整為正常,缺損、變形為異常,腦中線無移位和無腦積水為正常。
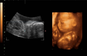
“4D”是“四維”的縮寫。第四維是指時間這個矢量,所以也被稱作實時三維。對於超聲學來說,4D超聲技術是彩超行業的革命性突破,最先由韓國麥迪遜公司率先研發出並開始推廣。4D超聲技術就是採用3D超聲圖像加上時間維度參數,該革命性的技術能夠實時獲取三維圖像,超越了傳統超聲的限制。它提供了包括腹部、血管、小器官、產科、婦科、泌尿科、新生兒和兒科等多領域的多方面的套用。
胎心:B超於懷孕7-8周、最早孕6周末可見胎心跳動。胎心跳動的頻率正常為每分鐘120-160次之間。
臍帶:正常情況下,臍帶應漂浮在羊水中,如在胎兒頸部見到臍帶影像,可能為臍帶繞頸。
羊水:最大羊水池垂直羊水深度在3-7厘米之間為正常,超過7厘米為羊水增多,少於3厘米為羊水減少。
胎盤:位置是說明胎盤在子宮壁的位置,正常足月胎盤的厚度應在2.5-5厘米之間。
優勢
四維彩超同其它超聲診斷過程相比,可以實時的觀察人體內部器官的動態運動。臨床醫生和超聲科大夫可以檢測和發現各種異常,從血管畸形到遺傳性綜合徵。四維彩超能夠多方位、多角度地觀察宮內胎兒的生長發育情況,且可以為早期診斷胎兒先天性體表畸形和先天性心臟疾病提供準確的科學依據。過去的B超設備只能檢查胎兒的生理指標,而四維彩超還能對胎兒的體表進行檢查,如唇裂,脊柱裂,大腦、腎、心臟、骨骼發育不良等,以便儘早的進行治療。生個聰明健康的小寶寶,並且將寶寶的樣子和動作製作成照片或VCD,讓寶寶擁有最完整的0歲相冊,這已經不再是幻想。
另外,四維彩色超聲診斷儀出色的人體工程學設計,不存在射線、光波和電磁波等方面的輻射,對人體的健康沒有任何影響。
使用範圍
4D超聲技術就是採用3D超聲圖像加上時間維度參數,該革命性的技術能夠實時獲取三維圖像,超越了傳統超聲的限制。它提供了包括腹部、血管、小器官、產科、婦科、泌尿科、新生兒和兒科等多領域的多方面的套用,是目前世界上最先進的彩色超聲設備。
優點
過去使用的B超設備只能檢查胎兒的一些生理指標,而四維彩超還能對胎兒的體表進行檢查,如唇裂,脊柱裂,大腦、腎、心臟、骨骼發育不良等情況,以便儘早的進行治療,生個聰明健康的小寶寶。四維彩超能進行宮內寫真,讓準媽媽看到宮內寶寶的一舉一動,親身體會到寶寶的笑容相貌!而且四維彩超可以把宮內四維彩超寶寶的動態刻錄成dvd作為寶寶的0歲寫真!永久留念!
最佳時間
做四維彩超的最佳時間是因個人而異的,做四維彩超的需求不同得到的結果也會不同。
一般而言孕期可分為三個階段:孕早期(1月-3月),孕中期(4月-6月),孕晚期(7月-9月)。這三個時期照出來的四維彩超效果也不同。
做四維彩超的最佳時間為懷孕5-7(20-28周)個月,因為這個時段胎兒的肢體及各主要臟器已經全部發育,而且羊水較適合做胎兒畸形篩查。但因孕婦的個體差異,個人的具體時間還請和醫生聯繫,按醫囑時間定。
1.為拍胎寶寶全身:這時候可以選擇孕前期去做四維彩超,這時候胎寶寶還小,透過儀器可照出寶寶全身,值得提醒的是,1-2月不建議去做四維彩超,這個孕期做四維存在爭議。
2.為排查胎寶寶外在缺陷:這時候可以選擇孕中期或孕晚期去做四維彩超,這時候寶寶身體已經有一定的發展,照寶寶的全身已經不可能了,但可以去觀察寶寶某個部位的形態。
優勢
◆進行胎盤定位;◆分析胎兒的發育情況;◆測定胎兒年齡;◆檢測子宮的結構異常;
◆檢測胎兒異常;◆評價多胞胎或高危妊娠;◆檢測胎盤異常;◆檢測卵巢的腫瘤和纖維瘤;
◆檢測異常出血;◆檢測異位妊娠和其它的異常妊娠;◆自動為胎兒進行宮內拍“寫真”和動態錄像,或人體器官實時活動圖。
作用
臨床廣泛套用的B超或彩超雖然能夠判斷胎兒發育是否正常,但只有專業醫生看得懂,四維彩色超聲診斷儀能能夠自動為胎兒進行宮內拍“寫真”和進行動態錄像,為眾多的準媽媽們增添無數安心和情趣。四位彩超使用的儀器叫‘四維(4D)彩色超聲診斷儀’,這種技術能夠實時獲取三維圖像,提供包括腹部、血管、小器官、產科、婦科、泌尿科、新生兒和兒科等多領域的多方面的套用。
區別
彩超、三維彩超、四維彩超。彩超其實還是黑白的,而三維、四維彩超在做出三維、四維圖像的時候才可能是土黃色,也並非彩超就是彩色的。被稱為彩超,是因為會用彩色標註心臟、血流等指標。彩超的解析度會比一般黑白B超高一些,所以在需要做比較細緻的檢查的時候,更多的醫生願意通過彩超來檢查。而因為能用彩色標註血流,當臍帶繞頸的時候就會看見寶寶的脖子上呈U形或者W形的血流,對是否臍帶繞頸也就一目了然了。
三維彩超、四維彩超的圖像則是後期生成的,並不是說觀察到的圖像就是三維、四維的,而是仍然用普通彩超觀察,然後通過儀器中的轉換軟體將觀察到的平面圖像轉成三維、四維的立體圖像,說得更直白一點,如果將你的家用電腦中裝上類似軟體,你就可以把普通B超的圖像自己在家裡轉換成立體的了。在診斷的意義上,三維彩超、四維彩超沒有任何對診斷更有利的地方,只不過是不懂得B超圖像的人也能看出模樣而已。它們的意義也就在於,您能看見寶寶還在肚子裡的模樣了。
三維彩超和四維彩超的區別就在於在一個“時間維”,也就是說,三維彩超是圖片,四維彩超是錄像,可以讓孕媽媽看到胎兒一連串的動作。
四維彩超是動態的,三維彩超是靜態的,所以四維看起來會更清楚明晰,三維彩超只能是某個時間點上的照片,四維彩超的就可以做成DV那樣連續的,可以刻錄光碟。三維彩超和高清四維彩超一樣的有排畸的作用,高清四維彩超更加精確。
檢前準備
產科四維彩超檢查:
1.任何孕周都可以做四維彩超,但是需要強調的是,早孕期(孕12周以前)做四維彩超存在爭議,為安全起見,建議孕20周以後做胎兒四維彩超。
2.胎兒在孕20周以後肢體及各主要臟器已經全部發育,但在孕22~26周因胎兒器官發育更加完善,而且羊水量較多,適合做胎兒畸形篩查。
婦科四維彩超檢查
1.腹部四維超聲檢查不受時間限制,但是除外中晚孕患者。
2.經陰道四維超聲檢查需要排空膀胱,無需憋尿,隨時都可以檢查,但是月經期注意消毒預防感染。
3.經直腸四維超聲檢查需排空膀胱及直腸。
適用範圍
四維彩超診斷胎兒先天畸形疾病主要包括以下方面:
1.胎兒面部畸形:如唇齶裂等。
2.神經系統:無腦兒、腦積水、小頭畸形、脊柱裂及腦脊膜膨出。
3.消化系統:臍部腸膨出、內臟外翻、腸道閉鎖及巨結腸等。
4.泌尿系統:腎積水、多囊腎及巨膀胱、尿道梗阻。
5.其它畸形:短肢畸形,聯體畸形,唇裂、四心腔。
6.羊水過多、過少等。
產科檢查
1、任何孕周都可以做四維彩超,但是需要強調的是,早孕期(孕12周以前)做四維彩超存在爭議,為安全起見,建議孕16周以後做胎兒四維彩超。
2、胎兒在孕16周以後肢體及各主要臟器已經全部發育,其最佳檢查時間為中孕16~24周,而且羊水量較多,適合做胎兒畸形篩查。
婦科檢查
1、腹部四維超聲檢查不受時間限制,但中晚孕患者除外,需要充盈膀胱。鑒於患者需忍受憋尿痛苦,且經腹部檢查遠沒有經陰道檢查圖像清晰,建議還是採用經陰道四維超聲檢查。
2、經陰道四維超聲檢查需要排空膀胱,無需憋尿,隨時都可以檢查,但是月經期注意消毒預防感染。
3、經直腸四維超聲檢查需排空膀胱及直腸。
對比
四維彩超
·能測定胎兒胎齡
·能評價多胞胎或者高危妊娠
·能分析胎兒的發育情況
·檢測胎盤異常
·能檢測異位妊娠和其它的異常妊娠
·能檢測子宮的結構異常
·能進行胎盤定位
·能檢測胎兒異常
·能檢測異常的出血
·能檢測卵巢的腫瘤和纖維瘤
·能夠多方位、多角度的觀察胎兒生長發育情況,為早期診斷胎兒先天體表畸形和先天性心臟疾病提供了科學依據。
·能自動為胎兒進行宮內拍“寫真”和動態錄像,或人體內臟器官實時活動圖像。
三維彩超
三維彩超是立體動態顯示的彩色都卜勒超聲診斷儀,它的作用和普通的彩超一樣,彩超簡單的說就是高清晰度的黑白B超再加上彩色都卜勒。三維彩超屬於彩超的一種,三維彩超是立體動態顯示的。彩超套用於婦產科主要優點在於對良惡性腫瘤鑑別及臍帶疾病、胎兒先心病及胎盤功能的評估,對於滋養細胞疾病有較佳的輔助診斷價值,對不孕症、盆腔靜脈曲張通過血流頻譜觀察,也可作出黑白超難下的診斷。
三維彩超運用陰道探頭較腹部探查又具有一定的優勢,它的優越性主要體現在:
①子宮動脈、卵巢血流敏感性、顯示率高。
②縮短檢查時間、獲得準確的都卜勒頻譜。
③無需充盈膀胱。
④不受體型肥胖、腹部疤痕、腸腔充氣等干擾。
⑤藉助探頭頂端的活動尋找盆腔臟器觸痛部位判斷盆腔有無粘連。
三維彩超表面成像用於產科檢查,不僅可觀察到胎兒成長的過程,而且能夠直觀地看到胎兒在母體內的活動狀況,如:呼吸情況,運動情況,包括整個身體大的運動,肢體的運動,甚至是胎兒細小的吞咽動作等。醫生還可以通過B超來觀察胎兒的張力是否良好。通常情況下,當胎兒在宮內缺氧受到損害時,胎兒的活動就會明顯地減少或消失,而不做B超是很難發現這些變化的。其優點是:
(1)在保留二維成像的基礎上增加冠狀切面圖像。
(2)立體定位,軸位調整,ABC三個軸面可隨意調整直至顯示出最佳圖像。
(3)立體顯像,動態直觀;可實時動態觀察胎兒頭部、軀體表面及內臟活動,圖像清晰精確可靠。
(4)切割功能,可保留圖像重點;切去無用的部分,對可疑部位進行三維重建顯示。
(5)鏇轉功能,可多面觀察;具有前後、左右、上下360°鏇轉功能,對圖像進行不同方位全面觀察。
(6)可給胎兒拍攝精美的照片,錄下表情變化及刻錄光碟作為資料保存,留做永久的紀念。
(7)可顯示不同層次病灶的立體關係及毗鄰關係。三維彩超在產科的套用為臨床超聲診斷提供了豐富的影像信息,胎兒在羊膜腔內被液體包繞是三維超聲良好的成像條件,圖像立體、形象直觀,可任意調整角度,通過三個切面的鏇轉可觀察到可疑結構,對胎兒大體結構的畸形可一目了然,極大地提高了診療質量,減少了誤診或漏診。
診斷胎兒
四維彩超不再是僅僅感覺寶寶的呼吸和運動,而是可以親眼目睹他們的一舉一動和乖巧的秀容。更為重要的是,四維彩超能夠多方位、多角度地觀察宮內胎兒的生長發育情況,為早期診斷胎兒先天性體表畸形和先天性心臟疾病提供準確的科學依據。
看報告單
看胎頭——看四維彩超報告單胎頭輪廓是否完整,如缺損或變形則為異常;腦中線無移位和無腦積水為正常。胎頭雙頂徑的測量是估計胎齡及胎兒成熟度的指標。懷孕二十六到三十六周雙頂徑平均每周增加零點二二厘米。懷孕三十六周后雙頂徑的增加速度逐漸減慢,每周只增加零點一厘米。足月胎兒的雙頂徑在八至十厘米之間。雙頂徑也可以預測胎兒的體重。如果雙頂徑達到八點五厘米以上,則胎兒體重超過二千五百克。專家指出,如果雙頂徑在九點一至十厘米,新生兒體重在三千二百七十六至三千九百二十五克,雙頂徑大於十厘米,新生兒的體重在四千克以上。
看胎心——胎心存在,強為正常,弱有兩種可能,一種是胎兒正在睡眠中,一是異常情況。正常胎心率為每分鐘一百二十至一百六十次。
看臍帶——正常情況下,臍帶應漂浮在羊水中,如果在胎兒頸部見到臍帶影像,可能為臍帶繞頸。
看胎盤——胎盤的正常厚度應在二十五至五十毫米之間。四維彩超報告單中根據絨毛膜、胎盤光點、基底膜的改變,將胎盤成熟度為0、Ⅰ、Ⅱ、Ⅲ四級。胎盤的定級表示胎盤的成熟度。正常早期妊娠多表現為0級,是胎盤的生長階段。妊娠中晚期,隨著胎盤的成熟,由Ⅰ級向Ⅲ級發展。孕三十七周以後,大多是Ⅲ級胎盤。所以胎盤Ⅲ級可作為胎兒成熟度的參考。
看股骨長度——是指胎兒大腿骨的長度。它的正常值應與相應的懷孕月份的雙頂徑值差小於二十至三十毫米。

