病因
(一)發病原因
本病病因尚不清楚。其發生可能與一定的內環境改變和基因變異有關,並非單一因素造成的。可能與顱腦外傷、放射性照射、病毒感染以及合併雙側聽神經瘤等因素有關。這些病理因素的共同特點是它們有可能使細胞染色體突變,或細胞分裂速度增快。通常認為蛛網膜細胞的細胞分裂是很慢的,而上述因素加速了細胞分裂速度,這可能就是導致細胞變性早期重要階段。腦膜腫瘤包括腦膜內皮細胞腫瘤、間葉性非腦膜內皮性腫瘤、原發黑色素細胞病變和組織來源不明的腫瘤4類。
(二)發病機制
嗅溝腦膜瘤屬於腦膜內皮細胞腫瘤,可能來源於蛛網膜絨毛或胚胎殘餘。包括11種類型,腦膜內皮型、纖維型、混合型、砂粒體型、血管型、微囊型、分泌型、透明細胞型、脊索樣型、淋巴漿細胞型、化生型。其中最常見的是腦膜內皮型,約占嗅溝腦膜瘤的53.5%。
嗅溝腦膜瘤有球形和扁平形兩種。球形多見,表面完整或呈結節狀,有色膜,常有一“臍”與硬膜相連;扁平形厚度常不超過1cm,廣布於硬膜上,以顱底部多見。嗅溝腦膜瘤血管豐富,多由頸外與頸內(或椎基底)動脈雙重供血。腫瘤切面呈暗紅色,可有片狀脂質沉積的奶黃色區,常見編織狀結構,有時見鈣化砂粒,少數有囊性變。嗅溝腦膜瘤的組織形態有多種表現,但各類型都多少具有嗅溝腦膜瘤的基本結構,含有腦膜內皮細胞成分,細胞排列也常保留蛛網膜絨毛及蛛網膜顆粒的一些特點,呈漩渦狀或同心圓狀,這些同心圓的中部容易發生透明變性或鈣化。瘤組織中可見纖維組織、血管組織、脂肪、骨或軟骨以及黑色素等。腫瘤惡性度為Ⅰ級。
症狀
嗅溝腦膜瘤早期症狀即有嗅覺逐漸喪失,腫瘤位於單側時,則嗅覺喪失屬單側性,對定位診斷有意義,但如為雙側喪失時,常與鼻炎混淆,嗅溝腦膜瘤的嗅覺障礙雖比較多見,但病人往往忽略,許多病人是人院查體時方得以證實的,這是由於單側的嗅覺障礙可被對側補償,病人不易察覺,另外,嗅溝腦膜瘤引起的是嗅覺喪失,與顳葉病變引起的幻嗅不同,應注意鑑別,由於早期嗅覺障礙常被病人忽略,所以腫瘤多長期不被發現,臨床確診時腫瘤已長得很大,已有顯著的顱內壓增高症狀。
視力障礙也較多見,造成視力減退的原因是顱內壓增高,視盤水腫和繼發性萎縮,造成視力減退的另一原因是腫瘤向後發展直接壓迫視神經,個別病人可出現雙顳或單側顳部偏盲,文獻報導,約1/4的病人構成Foster-Kennedy綜合徵。
腫瘤影響額葉功能,可引起精神症狀,病人出現興奮,幻覺和妄想,也可因顱內壓增高而表現為反應遲鈍和精神淡漠,少數病人可有癲癇發作,腫瘤晚期出現錐體束征或肢體震顫,為腫瘤壓迫內囊或基底節的表現。
用藥治療
嗅溝腦膜瘤的手術入路是比較成熟的。自早年Cushing使用的單側額部開顱,以及Dandy雙側額部開顱兩種方法一起沿用至今。這兩種入路的方法,基本要求是額部鑽孔要足夠低,容易暴露顱底,減少對額葉的牽拉。但此時要儘量避免額竇開放,一旦開放,要注意用骨蠟和筋膜將額竇封閉好,防止引起顱內繼發感染。對雙側腫瘤可使用雙額入路。通常採用經硬膜下的方法切除腫瘤,結紮和剪斷上矢狀竇及大腦鐮前方。自雙額葉縱裂分開,游離腫瘤時可先自瘤基底開始,這樣可減少出血。腫瘤較大時,先瘤內切除部分腫瘤,然後再四周分離。分離時注意不應過分牽拉腦組織,防止雙額葉或胼胝體損傷,術後病人會出現嚴重的神經功能損害。
套用顯微手術,可使分離腫瘤時更細緻。尤其是分離腫瘤後方,與視神經及雙側大腦前動脈近端粘連時,會減少損傷。近年,有人提倡經翼點側方入路切除腫瘤的報導,也取得很好的效果。
對受侵犯的顱底硬腦膜和篩板可一併切除,再用鈦網筋膜修補,以防術後腦脊液鼻漏。
飲食保健
平時不要吃一些刺激過大的食物,主要還是多吃一些清淡有營養的食物。
疾病診斷
無特殊需要鑑別的疾病。
檢查方法
實驗室檢查:
無特殊表現。
其他輔助檢查:
1.頭顱平片 常顯示前顱窩底包括篩板、眶頂骨質吸收變薄或銷蝕而輪廓模糊。也可以為篩板和眶頂骨質增生。瘤內廣泛砂粒體鈣化,可出現均勻密度增高塊影,復蓋於骨質銷蝕的前顱窩底上。
2.腦血管造影 側位相大腦前動脈垂直段弧形向後移位。大部分病側眼動脈增粗,遠端分支增多或呈柵欄狀引向前顱窩供血。同時,個別病例還可有腦膜中動脈向腫瘤供血。
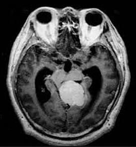
3.CT和MRI掃描 顯示顱前窩一側或雙側近中線處圓形腫瘤影像,直徑可達2.0~6.0cm,邊界清楚。CT平掃即可見高密度影,對比增強後腫瘤密度增高。腫瘤的後方可使腦室額角受壓。在MRI影像上可見腫瘤與頸內動脈的關係。
併發症
如進行手術治療,可能發生以下併發症:
1.嗅覺喪失:雙側嗅覺術後不可避免會出現喪失,但不會引起嚴重障礙。
2.大腦前動脈供血障礙:手術過程中損傷大腦前動脈而出現額葉術後腦水腫,腦腫脹,甚至缺血壞死。
3.丘腦下部損傷:患者術後出現持續昏迷和中樞性高熱。
4.視神經,大腦前動脈及其分支損傷:僅見於腫瘤體積較大,後極延至鞍上者,仔細分離腫瘤後極當可避免。
5.腦脊液鼻漏:多因切除腫瘤基底部篩板的硬膜所致,也可以是開顱時額竇開放而又處理不當的結果。
預後
影響手術預後的主要原因是腫瘤較大,術中傷及大腦前動脈,造成額葉腦梗死。使用顯微手術使手術死亡率明顯降低,國內有研究報導術後死亡率為1.96%。
發病機制
病理上腫瘤以內皮型最多,常沿顱底生長突起,壓迫額葉皮質、嗅神經、視神經或視交叉及顳葉內側面。主要由腦膜前動脈和篩前動脈供血。

