基本概念
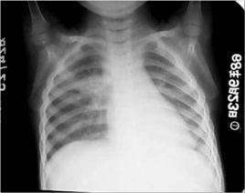
原發綜合徵(primary complex):原發性肺結核時,肺部原發病灶、淋巴管炎和肺門淋巴結結核稱為原發綜合徵,X線呈啞鈴狀陰影,臨床上症狀和體徵多不明顯。
病因病理
為初染結核,人體從空氣中吸入含有結核桿菌的塵埃或飛沫而致病。多發生於兒童或青年,尤以3歲以下的嬰幼兒為多見。原發綜合徵包括原發病灶及病灶周圍炎、淋巴管炎和淋巴結炎,有時還附加的局部胸膜改變。
臨床表現
發熱、咳嗽、氣急、盜汗和消瘦為主要臨床症狀。有些病例可無任何症狀,因體檢而發現。痰檢可查到結核桿菌。
影像學表現
1.上葉下部或下葉上部片狀或類圓形模糊陰影,也可呈肺段或肺葉陰影。 2.同側肺門淋巴結增大。
3.肺內原發病灶與增大的肺門淋巴結之間可見索條狀陰影,即結核性淋巴管炎。
上述三者呈啞鈴形,又稱雙極期,為原發綜合徵典型表現,但這種徵象並不多見。如原發灶範圍較大,常可將結核性淋巴管炎和淋巴結炎掩蓋。
鑑別診斷
原發性結核空洞與急性肺膿腫空洞鑑別,後者密度較均勻,空洞內往往見有明顯的液平。

