診斷和鑑別診斷
凡遇有反覆嘔吐膽汁和所進食物的病人,尤當體位改變可減輕徵象,應考慮腸系膜上動脈綜合徵的可能,需進一步作胃腸鋇餐檢查。
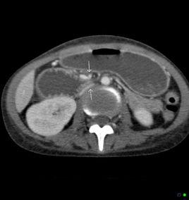
胃腸鋇餐造影可見十二指腸第一、二部擴張,並有反覆的強烈逆蠕動,鋇劑可回流入胃內。在十二指腸橫段遠側有一外形整齊的斜行壓跡和鋇劑通過受阻現象。如吞服的鋇餐在2~4小時後不能從十二指腸內排空,即表示有梗阻存在。如病人取俯臥或左側臥位時,十二指腸瀦留消失,這對本綜合徵的診斷很有幫助。
同時進行主動脈造影和鋇劑檢查可以顯示十二指腸受壓與腸系膜上動脈的關係,腸系膜上動脈與腹主動脈之間的變狹角度,以及腸系膜上動脈的異常走行,但臨床上很少需用主動脈造影的方法。
要排除十二指腸梗阻的其他病因,諸如屈氏韌帶附近的炎性腫塊、先天性巨十二指腸、環狀胰腺、十二指腸隔膜和腫瘤,後兩者可用纖維內窺鏡檢查幫助診斷。症狀不典型者,尚需排除胃、十二指腸潰瘍、膽石症、膽囊炎、胰腺炎和十二指腸炎等可能。近年來已有慢性十二指腸梗阻合併潰瘍病或胰腺炎的報導,診斷時需加以注意。
病因和病理解剖
十二指腸橫段位於腹膜後,是消化道中最固定的部份。它從右至左橫行跨越第三腰椎和腹主動脈,十二指腸的遠端又被十二指腸懸韌帶(Trietz韌帶)所固定,其後方為腔靜脈、椎體和腹主動脈,其前方被腸系膜根部內的腸系膜上血管神經束所橫跨。腸系膜上動脈一般在第一腰椎水平處分出,與主動脈呈30~42°角。如果腸系膜上動脈與腹主動脈之間的角度變小,腸系膜上動脈即可將十二指腸橫部壓至椎體或腹主動脈上,造成腸腔狹窄和梗阻。
引起上述機械性梗阻常是多種因素的綜合結果,如腸系膜上動脈起始處呈一狹角,十二指腸懸韌帶過短而將十二指腸的遠端固定於較高的位置,腸系膜上動脈起源於腹主動脈的位置過低,在十二指腸跨越椎體處的前方有腸系膜上動脈的異常行走等等。此外,腰椎前凸畸形,十二指腸懸韌帶和腸系膜根部鄰近淋巴結炎性腫大,消瘦所致腸系膜和後腹膜脂肪減少,內臟下垂等等均可縮小脊椎與腸系膜上動脈近端部份之間的空隙,易使十二指腸遭受壓迫。
臨床表現
因腸系膜上動脈壓迫所引起的十二指腸梗阻可分為急性和慢性兩種類。慢性梗阻是臨床上最常見的類型。主要症狀為嘔吐,多在飯後出現,嘔吐物含膽汁和所進食物。症狀呈間歇性反覆發作,緩解期或長或短,症狀可因體位的改變而減輕,如側臥、俯臥、胸膝位等。
併發症
長期反覆嘔吐則可並發消瘦、脫水和全身營養不良等症狀。
鑑別
凡遇有反覆嘔吐膽汁和所進食物的病人,尤當體位改變可減輕徵象,應考慮腸系膜上動脈綜合徵的可能,需進一步作胃腸鋇餐檢查。
胃腸鋇餐造影可見十二指腸第一、二部擴張,並有反覆的強烈逆蠕動,鋇劑可回流入胃內。在十二指腸橫段遠側有一外形整齊的斜行壓跡和鋇劑通過受阻現象。如吞服的鋇餐在2~4小時後不能從十二指腸內排空,即表示有梗阻存在。如病人取俯臥或左側臥位時,十二指腸瀦留消失,這對本綜合徵的診斷很有幫助。 同時進行主動脈造影和鋇劑檢查可以顯示十二指腸受壓與腸系膜上動脈的關係,腸系膜上動脈與腹主動脈之間的變狹角度,以及腸系膜上動脈的異常走行,但臨床上很少需用主動脈造影的方法。
要排除十二指腸梗阻的其他病因,諸如屈氏韌帶附近的炎性腫塊、先天性巨十二指腸、環狀胰腺、十二指腸隔膜和腫瘤,後兩者可用纖維內窺鏡檢查幫助診斷。症狀不典型者,尚需排除胃、十二指腸潰瘍、膽石症、膽囊炎、胰腺炎和十二指腸炎等可能。近年來已有慢性十二指腸梗阻合併潰瘍病或胰腺炎的報導,診斷時需加以注意。
治療說明
非手術治療
凡診斷為十二指腸血管性壓迫綜合徵者,應先採用非手術治療,特別在急性發作期給予靜脈補充營養、禁食、鼻胃管減壓和抗痙攣藥物。症狀緩解後,可進流質飲食,少量多餐,逐步改為軟食,飯後即採取俯臥位或右側臥位,用上述方法治癒的報導日見增多。營養改善和體重增加使腹膜後間隙的脂肪沉積,或可使症狀有所改善。
手術治療
上述治療失敗後,採用手術治療。手術的方法不外乎以下三種:①游離十二指腸懸韌帶;②十二指腸空腸吻合術;③十二指腸復位術。
第一種方法收效甚微,僅適於十二指腸懸韌帶過短而造成十二指腸受壓的病例,但臨床上已很少套用。
第二種方法雖被廣泛採用,但效果常不能滿意。將橫結腸向上翻轉後切開橫結腸系膜,就可暴露出膨大的十二指腸第三部,取距離十二指腸空腸曲約10~15cm的一段空腸與之作側側吻合(見圖25-19)。最後,將橫結腸系膜的切口邊緣縫到十二指腸壁上,以防十二指腸空腸的吻合口回縮而形成內疝。
不宜採用胃空腸吻合術,因不能有效地解除十二指腸淤滯。
近年來推廣十二指腸復位術,尤多套用於兒童患者。手術方法是游離右半結腸和整個“C”型十二指腸袢,包括腹膜後的第三、四部,直達腸系膜血管的壓迫處,並松解十二指腸懸韌帶,再將十二指腸和空腸在腸系膜血管後方使安置在腹中線的右側(見圖25-20)。這種方法的優點是不切開腸壁,而僅將近側小腸和結腸回復到在胚胎期尚未轉位前的位置。游離十二指腸時需切斷血管,注意十二指腸的生機。

