簡介
利什曼病臨床表現利什曼病(leishmaniasis),又稱黑熱病(Kala-azar)。它的病原體是幾種趨內臟的(viscerotropic)利什曼原蟲(leishmaniaspp)。原蟲主要寄生於病人體內的巨噬細胞里,由雙翅目昆蟲白蛉為傳播媒介。臨床特徵主要表現為長期不規則的發熱、脾臟腫大、貧血、消瘦、白細胞減少和血清球蛋白的增加,如不予合適的治療,患者大都在得病後1-2年內因並發其它疾病而死亡。
世界衛生組織把利什曼病列為再度回升的一種寄生蟲病。回升的原因大致有3條:①免疫力下降的人群增加,特別是愛滋病(AIDS)在全球的流行;②開發荒漠或森林,使人類移居入利什曼病的自然疫源地,導致原來僅在動物間流行的內臟利什曼病由野棲白蛉傳播給人,成為人類的疾病;③一些有利什曼病流行的國家因戰亂頻繁而發生人口的大範圍流動,促使疫區擴大,病人增多。
中國已在50年代末宣布基本消滅了利什曼病,但事實上,在新疆、甘肅、四川、陝西、山西和內蒙古6省、自治區,利什曼病從來沒有消失過,90年代在上述6省、自治區內,每年仍有新感染者200-300例,在甘肅和四川兩省還出現了新的利什曼病疫區.。非流行區的人群進入利什曼病疫區經商或打工獲得感染回歸故里後發病的例子亦並不罕見,以致造成誤診誤治而死亡。
特殊類型
利什曼病表現1、皮膚型利什曼病(PKDL):這種病例在印度和蘇丹頗為常見。皮損大都發生在患者經銻劑治療內臟感染消失之後,也有的患者的皮膚症狀與內臟感染同時存在,極少數無利什曼病史(但可能屬隱性感染),可稱為原發性皮膚損害。PKDL在我國並不多見,自30年代至今,見諸報導的僅106例,主要發生在人源型利什曼病疫區的山東、蘇北、皖北、冀南、河南、陝西關中平原以及新疆喀什綠洲。患者都是成人,90%以上均有利什曼病史;另在甘肅山區,曾報導一例兒童利什曼病患者在治療過程中出現含蟲的皮膚丘疹,經銻劑繼續注射後與內臟感染同時消失。
PKDL的皮膚損害主要有2種,一種為褪色斑型,即在皮膚上出現色素減退的斑疹,一般見於臉部,頸部,前臂伸側和大腿內側,最後可蔓延至全身。斑疹小者如針頭,大的直徑約1cm左右,偶亦聯合成片。這種病例如作皮膚塗片檢查不易找到原蟲,將皮損組織置三恩培養基(見:診斷方法)內培養可查見前鞭毛體。
另一種為結節型,最為常見。表現在皮膚上有肉芽瘤樣的結節,以頦、頰、鼻、唇、頸、腋窩等處多見,其次是臂、耳、胸、背和上下肢。結節的大小頗不一致,一般如黃豆或豌豆大,但可融合成大的結節。結節上的皮膚大都發紅,或略顯黃色,顯得薄而光滑,既無痛感,也不潰爛,與瘤型麻風頗為相似,每易發生誤診。發生在舌和唇部的損害,有時可因細菌感染而發生潰瘍。除非同時有內臟感染,PKDL的血象一般都屬正常,但嗜酸粒細胞往往增多。內臟感染已治癒多年後發生的PKDL,患者健康如常。這種病例若得不到及時的診斷和治療,在疫區內作為傳染源長期存在,在利什曼病的流行病學上具有重要意義。
2、淋巴結型利什曼病:此種病例多發生在白蛉季節內從非流行區進入以嬰幼兒發病為主的利什曼病流行區居住或旅遊的成年人中。50年代駐紮在馬爾它和塞普路斯的英、美籍士兵中以及在法國、義大利、伊朗,都曾查見淋巴結型利什曼病。60年代在我國內蒙古的額濟納旗野生動物源型利什曼病疫區,自外省非流行區進入的成年人中,曾查見較多病例。此外,在北京和新疆的額敏縣,也曾先後查見各一例。發病原因是由於進入人體的利什曼原蟲藉淋巴管到達淋巴結,被淋巴結內的巨噬細胞吞噬而未再進一步擴散所致。
淋巴結型利什曼病主要表現為淋巴結腫大。以腹股溝和股部居多,其次是頜下、頸部、腋下和上滑車,少數發生在耳後、鎖骨上和膕窩等處。淋巴結一般似花生米或蠶豆般大小,但有時因多個腫大的淋巴結融合而形成大似胡桃的腫塊,局部無明顯壓痛,患者一般情況大都良好,少數可有乏力或低熱,血象基本正常,嗜酸粒細胞常增多。
發病機制
病因學和發病機制舊大陸利什曼病的病原體是杜氏利什曼原蟲(Leishmaniadonovani)和嬰兒利什曼原蟲(L.infantum),在新大陸是恰氏利什曼原蟲(L.chagasi)。這3種利什曼原蟲在形態上雖無差別,但根據原蟲的基因型以及同工酶圖譜分析,可把杜氏利什曼和嬰兒利什曼區別開來,恰氏利什曼的酶譜則和嬰兒利什曼相似。在流行病學上,由杜氏利什曼原蟲引起的利什曼病主要發生在較大的兒童和青壯年中,而由嬰兒利什曼原蟲和恰氏利什曼原蟲所致的利什曼病,患者均主要是5歲以下的嬰、幼兒。因此,不少學者認為,嬰兒利什曼和恰氏利什曼應同屬一種。1990年,世界衛生組織利什曼病專家委員會的報告指出,杜氏利什曼,嬰兒利什曼和恰氏利什曼可以視為不同的種,並將三者組合為杜氏利什曼複合體(L.donovanicomplexes)。
利什曼原蟲是二態性原生動物,傳播過程中需要兩種不同的宿主相互交替。在白蛉體內,原蟲的形態為前鞭毛體(promastigote),在人、犬科動物或齧齒動物內則為無鞭毛體(amastigote)。當媒介白蛉刺叮病人,病狗等宿主時,血液或皮膚內的無鞭毛體被吸入白蛉的胃內,變為前鞭毛體,在白蛉胃內分裂繁殖,至吸血後6-7天,前鞭毛體即可抵達蛉的咽或喙部,該時白蛉胃血已消化完畢,感染白蛉如再次吸血,前鞭毛體即侵入人或狗等宿主體內。白蛉吸血時分泌的唾液也能增大前鞭毛體對宿主的感染性。
侵入人或動物宿主體內的前鞭毛體,一部分可被血清中的補體溶解或被多核白細胞吞噬消滅,一部分被毛細血管或淋巴管內的巨噬細胞吞噬。前鞭毛體侵入巨噬細胞內變成無鞭毛體的過程是細胞水平和分子水平多種因素相互作用的結果。當蟲體被吸附在巨噬細胞的表面後,可誘發細胞形成偽足,把前鞭毛體攝入胞質內,之後鞭毛消失,變成無鞭毛體,巨噬細胞偽足的胞膜包裹原蟲後形成帶蟲空泡,與溶酶體融合併使蟲體處在溶酶體的包圍之中,但蟲體上的脂磷酸聚糖能使利什曼原蟲逃避細胞水解酶作用而在細胞內增殖。
含蟲的巨噬細胞可藉淋巴或血流到達人體的任何部位,但在脾、肝、骨髓和淋巴結的巨噬細胞中最易繁殖,由於蟲數大量增加,直到巨噬細胞容納不下而告破裂,散出的無鞭毛體又侵入其它巨噬細胞,繼續進行繁殖,如此反覆不已,引起巨噬細胞大量破壞和極度增生,導致脾、肝、骨髓,淋巴結等器官產生一系列病變。AIDS若並發利什曼病,利什曼原蟲還可播散到胃腸道和皮膚組織,在胸腔積液與血液內極易查見原蟲。在臨床上,未合併感染HIV的利什曼病患者,除了有脾、肝腫大等症狀外,還表現為免疫球蛋白的大量增加,但對機體無保護作用;患者的細胞介導免疫受到抑制,巨噬細胞移動抑制因子(MIF)的作用降低,需待治癒後才能恢復。
受感染白蛉叮咬的人,除一部分人可發展成為典型的利什曼病外,大多數呈隱性感染或亞臨床型,其主要依據為:①利什曼病流行區內的居民,或是雖生活在非流行區,但在白蛉季節內曾去過流行區居住過的人員中,有些人從未有過利什曼病史,但當感染了HIV或成為AIDS後,發現其同時也是利什曼病患者;另有一些癌症患者和接受器官移植的人,在使用免疫抑制劑後發生了利什曼病,這都表明他們先前已感染了利什曼原蟲。②血清流行病學調查表明,在巴西和以色列的利什曼病流行區,健康人群的抗體陽性率達7.5%-15.0%;在中國甘肅省,1997年曾用ELISA法檢測利什曼病患者的家庭成員的血清抗體,陽性率達21.0%。③用利什曼素對利什曼病疫區的健康人作皮內試驗,具有很高的陽性率,表明亞臨床型較為普遍。隱性感染者一旦患有任何一種能使宿主細胞免疫抑制傾向的疾病,諸如營養不良、癌症、器官移植、獲得性免疫缺損,均可使隱匿在機體內的利什曼原蟲增殖,發展成為利什曼病。因此1990年世界衛生組織利什曼病專家委員會認為,利什曼病是一種機會性感染疾病。
流行病學
流行病學利什曼病的分布極廣,波及亞、歐、非及拉美四大洲。根據20世紀90年代的資料,全球50餘個國家有利什曼病流行,約有2億人口生活在疫區,每年有新感染病例10萬左右,各地利什曼病的流行病學特徵不盡相同。
南亞次大陸是人源型利什曼病疫區。病原體為杜氏利什曼原蟲,傳染源是患利什曼病的人,特別是患有利什曼病後皮膚利什曼病(postkala-azardermalleishmaniasis,PKDL)的病人。通過近家棲的銀足白蛉(P.argentipes)進行傳播,尚未發現動物宿主。目前在印度、孟加拉國、巴基斯坦及尼泊爾等國,均有利什曼病流行。
東非和西南非州一些國家內利什曼病的病原體為杜氏利什曼原蟲和嬰兒利什曼原蟲,主要傳染源是病人,雖然在一些食肉類動物、鼠及狗的內臟曾查見利什曼原蟲,但這些動物在當地利什曼病流行病學上的地位頗難確定,媒介白蛉P.martini主要棲息在野外。由於人口的頻繁流動,一些國家內常發生小範圍爆發流行,特別是在蘇丹,因戰亂導致的人群流動,利什曼病的流行已持續多年。
分布在西歐、北非、中東、西亞和中亞以及中、南美州40餘個國家的利什曼病均為動物源型。除巴西的病例較多外,其餘的多為散發性。在歐、亞及北非,利什曼病的病原體為嬰兒利什曼原蟲,在中、南美州則為恰氏利什曼原蟲,病狗是主要傳染源,狐、狼等野生動物是利什曼病的野生動物宿主。在西歐、北非及中東一帶,該病由多種勞蛉亞屬(subgenuslarroussius)的白蛉進行傳播。在中,南美州,媒介為長須羅蛉,當地的利什曼病除了流行於村鎮外,人們也可因開發森林而進入該病的自然疫源地而發生感染。
利什曼病在中國長江以北的16個省、直轄市、自治區曾廣泛流行,包括遼寧、河北、北京市、山東、江蘇、安徽、河南、湖北、陝西、山西、四川、甘肅、青海、寧夏、內蒙古和新疆。流行病學上大致可分為3種主要類型:
人源型(平原型):分布在平原地帶,包括冀南、山東、蘇北、皖北、豫東、陝西關中平原、湖北江漢平原以及新疆喀什綠洲。病原體主要是杜氏利什曼原蟲,病人為主要傳染源,可發生大的流行,病狗罕見,患者以較大的兒童和青、壯年占多數,傳播媒介為家棲的中華白蛉(P.chinensis),在喀什則為近家棲的長管白蛉(P.longiductus)。這類地帶的利什曼病大都於60年代已得到有效的控制,殘存的媒介白蛉密度很低或幾近絕跡。但在新疆喀什綠洲目前仍有利什曼病流行,當地長管白蛉的數量很大。
人犬共患型(山丘型):分布在山區及黃土高原地帶,包括甘肅和青海的東部,寧夏南部,川北,陝北,晉中、南,冀北,北京市郊各縣和遼寧省中、南部。病原體主要是嬰兒利什曼原蟲,當地的利什曼病主要是狗的病,人的感染大都來自病狗,病人比較分散,患者以嬰幼兒為主,媒介為野棲或近野棲中華白蛉。該型利什曼病在有些地區的流行已得到控制,但在甘肅、陝北,川北及晉中、南一帶,新感染的病例仍不斷出現,在川北的野外還查見自然感染嬰兒利什曼原蟲的中華白蛉,推測某些種類的野生動物也有利什曼原蟲的感染,狗的感染可由野生動物而來。在北京市的密雲縣,曾從貉(Nyctereutesprocyonoides)的內臟查見嬰兒利什曼原蟲的感染,它可能是冀北山區利什曼病的野生動物宿主。
野生動物源型(荒漠型):主要分布在新疆和內蒙古阿拉善盟的荒漠地帶。病原體為嬰兒利什曼原蟲,當地的利什曼病是某些野生動物的疾病,人類因從事生產活動進入這類地帶而獲得感染,尚未查見病狗。乾旱荒漠地帶的患者大都是2歲以內的嬰兒,礫質荒漠地帶則多為10歲以下的兒童。傳播媒介有野棲的吳氏白蛉(P.wui)和亞歷山大白蛉(P.alexandri),吸血地點主要在野外,夜間在燈光的誘引下,白蛉也可飛至居民點室內吸血。
必須指出,在山丘和荒漠地帶,利什曼病患者雖然主要是嬰幼兒,但近十餘年來,自非流行區進入該兩型疫區經商或打工的成人中,已發現不少利什曼病病例。他們從疫區獲得感染,返回原籍後發病,如果當地有合宜的媒介白蛉,即有可能傳播開來,形成新的利什曼病疫區。
臨床表現
臨床表現潛伏期
根據國內的觀察,在白蛉季節內出生的嬰兒至出現臨床症狀大體需4-6個月。印度曾用感染杜氏利什曼原蟲的銀足白蛉去叮咬5個健康人,受試者自叮咬至發病均在5-6個月之間。但利什曼病潛伏期的長短還受到患者的免疫力、營養水平以及感染原蟲的數量等因素的影響,從而延長或減短。
早期症狀
利什曼病的症狀大都是逐漸發生的。初起時一般有不規則發熱,脾臟隨之腫大,並伴有咳嗽及腹瀉。恐懼和失眠亦為利什曼病早期常見的症狀。嬰幼兒除有發熱和腹瀉等症狀外,尚可有夜啼、煩躁等現象。月經過多或閉止,常是婦女患者的早期症狀。
主要症狀
病人在發病2-3個月以後,臨床症狀就日益明顯。主要表現有以下幾方面:
1.發熱:發熱是利什曼病最主要的症狀,占病例數的95%左右。有些病人因就診時正值緩解期,或是僅夜間發熱而不自覺,以致在醫生詢問病歷時誤認為無發熱史。利什曼病的熱型極不規則,升降無定,有時連續,有時呈間歇或弛張,有時在一天內可出現兩次的升降,稱雙峰熱,在早期較常見。患者一般在下午發熱,發熱時患者感到倦怠,當發熱至390C以上時,可能伴有惡寒和頭疼,但並不發生神昏譫語症狀,夜間大都有盜汗。
2.脾腫:脾腫是利什曼病的主要體徵,一般在初次發熱半個月後即可觸及,至2-3個月時脾腫的下端可能達到臍部,半年後可能超過臍部,最大的可達恥骨上方。腫大的脾臟在疾病早期時都很柔軟,至晚期則較硬。脾臟表面一般比較平滑,且無觸痛。
3.肝腫:有半數左右的病人肝臟呈腫大。肝腫出現常較脾腫為遲,腫大程度也不如脾腫明顯,很少有超過右肋緣下6cm者。
4.消化系統症狀:患者常有口腔炎,除黏膜有潰瘍外,齒齦往往腐爛,且易出血,兒童患者每易並發走馬疳。患者食慾減退,常有消化不良及食後胃部飽脹的感覺,甚至可引起噁心、嘔吐及腹痛等症狀。
5.循
環系統症狀:病人的脈搏大都增速,血壓常因貧血及腎上腺機能的失調而降低。由於患者血漿蛋白總量的下降以及貧血,因此可以發生水腫。水腫以下肢和臉部最為常見,偶亦可出現全身性浮腫,晚期病人可能因肝臟損害的加重而使水腫更為顯著,預後亦較嚴重。鼻衄及齒齦出血的發生主要因患者的血小板大量減少所致,鼻衄多數出現於發熱期間,大都突然而來,少則數滴,多則可延續數小時,一般都能自止。
6.其它症狀:患者的淋巴結常有輕微或中度腫大,尤以頸部及腹股溝等部位較易捫及。夜間咳嗽為利什曼病常訴的症狀之一,且比較劇烈。絕大多數婦女在患利什曼病後月經閉止,生育因而受到影響。
利什曼病在疾病的過程中症狀可出現緩解,表現為在一段時間內體溫正常,食慾增加,腫大的脾臟亦稍有縮小,但過一段時間後,又出現發熱及脾臟繼續增大,如此反覆發作,病情日益加重,至疾病晚期則不再出現緩解。晚期病人大都消瘦,精神萎靡,頭髮稀少而無光澤,皮膚乾燥,面色蒼黃,在額、顳部和口腔周圍可有色素沉著。腹部常因肝脾腫大而突出,四肢顯得更加瘦細。兒童得病後發育受阻。
7、血象變化
患者的紅、白細胞和血小板減少,其原因與脾功能亢進有關。白細胞在疾病早期即開始減少,並隨病程的進展而日益顯著。其總數大都降至5000/mm3以下,有的病例僅1000/mm3左右。白細胞的減少主要是中性多形核白細胞減少所致,大單核細胞大致正常,嗜酸和嗜鹼粒細胞亦都減少,因而淋巴細胞的比例相對地增高。
患者的紅細胞和血紅蛋白均明顯減少。紅細胞一般降至400萬/mm3以下,多數在200-400萬/mm3之間;貧血比較嚴重的患者,紅細胞數可降至100萬/mm3以下。血紅蛋白大都在6-10g/dl之間。血小板計數平均減至10萬mm3。由於患者貧血和丙球蛋白和纖維蛋白元的增加,因而紅細胞沉降率加速。
8、肝臟功能變化
利什曼病患者由於肝功能的失調和肝、脾內漿細胞的大量增生,致使球蛋白大量增加及白蛋白減少,白、球蛋白的比例大致為1:1.7,恰與正常人相反。病程較長的患者,肝細胞受到損害,尤其是晚期患者更為嚴重,因此各種肝功能試驗都呈強陽性反應。
併發症
併發症併發症是引起利什曼病死亡的主要原因,常見的有以下3種。
1、肺炎:患者可並發間質性支氣炎、大葉性肺炎或小葉肺炎。間質性支氣管炎是兒童患者最容易並發的一種疾病,同時也是導致利什曼病患者死亡的最主要原因。
2、走馬疳:常見於兒童患者。一般都發生在口腔,先侵牙齦或頰和唇部,繼即蔓延至頰部,甚至波及鼻、顎、頦、咽等處。並發走馬疳的利什曼病患者一般都有顯著貧血,白細胞計數亦減少。以往由於缺乏有效的治療,利什曼病並發走馬疳者較為常見,多致死亡。自抗菌素問世以來,此種病例的死亡率已明顯降低。
3、急性粒性白細胞缺乏症
利什曼病可促成粒性白細胞缺乏症。患者的白細胞特別是中性多型核白細胞突然銳減,淋巴細胞相對增加,單核細胞的百分比正常或減少,由於粒細胞的減少或消失,白細胞總數明顯降低,有低至500/mm3以下的;骨髓象顯示粒性白細胞的再生障礙。如不及時治療,預後大都不良。
診斷
利什曼病參照國家技術監督局、衛生部1996-01-23發布的利什曼病診斷標準。
一、利什曼病的診斷標準
1.為利什曼病流行區(詳見:流行病學)的居民,或在白蛉季節內(5-9月)曾進入流行區內居住過的人員。
2.長期不規則發熱,脾臟呈進行性腫大,肝臟有輕度或中度腫大,白細胞計數降低,貧血,血小板減少或有鼻衄及齒齦出血等症狀;病程一般在2年以內者。
3.用間接螢光抗體試驗、酶聯免疫吸附試驗或ICT(dipstick)試條等方法檢測抗體呈陽性,或用單克隆抗體斑點-ELISA(McAbdot-ELISA)或單克隆抗體-抗原斑點試驗(McAb-AST法)等檢測循環抗原呈陽性。
4.在骨髓、脾或淋巴結等穿刺物塗片上查見利什曼原蟲無鞭毛體或將穿刺物注入三恩培養基內培養出前鞭毛體。
疑似病例:具備1與2條。
臨床診斷:疑似病例加3條
確診病例:疑似病例加4條。
二、皮膚型利什曼病(PKDL)的診斷標準
1.多數病例在數年或十餘年前有利什曼病史,也可以發生在利什曼病病程中,少數患者無利什曼病史,為原發性病例。
2.在面、四肢或軀幹部有皮下結節、丘疹或褪色斑,白細胞計數在正常值範圍內,嗜酸粒細胞常在5%以上。
3.McAbdot-ELISA法檢測循環抗原呈陽性。
4.從結節、丘疹處吸取的組織液或皮膚組織刮取物的塗片上查見利什曼原蟲的無鞭毛體或把皮膚組織置三恩培養基內培養查見前鞭毛體.
疑似病例:具備1、2條。
臨床診斷:疑似病例加3條。
確診病例:疑似病例加4條。
三、淋巴結型利什曼病的診斷標準
1.病人多發生在白蛉季節內由非流行區進入以嬰、幼兒發病為主的利什曼病疫區(山區、荒漠地帶)居住過的成年人中。
2.腹股溝、股、頸、腋下、耳後、鎖骨上和膕窩等一處或多處的淋巴結腫大如花生米或黃豆般大小,或由數個腫大的淋巴結融合而形成核桃般大小的腫塊。
3.從腫大的淋巴結吸取組織液塗片檢查或從摘下的淋巴結的組織切片上查見利什曼原蟲無鞭毛體,或把淋巴結組織置三恩培養基內培養查見前鞭毛體。
疑似病例:具備1、2條
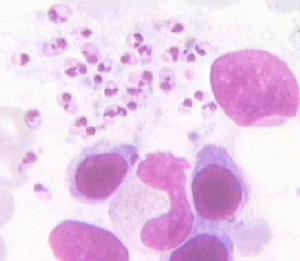
確診病例:疑似病例加3條。在光學顯微鏡(油鏡)下所見的利什曼原蟲無鞭毛體呈園形,平均大小為4.4μm×2.8μm。吉姆薩或瑞氏染色後,原蟲的細胞漿呈淡藍色;核的位置常靠近細胞膜,染成紅色;動基體呈桿狀,位於核的對側,呈紫紅色;有時在動基體附近可見小的空泡。三恩培養基內或白蛉消化道內的前鞭毛體呈梭型,染色後胞漿呈淡蘭色,深紅色的核一般位於蟲體中部,動基體位於核的前端,呈紫紅色,基體位於蟲體最前端,呈紅色顆粒狀,鞭毛由此發出並伸向體外,作為運動的工具。
鑑別診斷
利什曼病利什曼病應與下列疾病作鑑別診斷。
1.白血病:慢性骨髓白血病與慢性淋巴性白血病的患者大都是成人,有脾腫大、貧血以及鼻衄和齒齦出血等症狀,很象利什曼病,經血常規檢查即可鑑別,此種病人的白細胞大量增加,一般在10萬/mm3以上。前一種患者的粒細胞占80-95%,後者則主要是淋巴細胞,且有淋巴結腫大。兒童患白血病較成人為少,大都是急性白血病,主要症狀有面色蒼白,顯著衰弱,頸間淋巴結腫大,口瘡以及各種出血現象。在鑑別診斷上,該病的白細胞計數可能增至10萬/mm3以上或減少到1000/mm3左右,血液內出現異常的無粒單核白細胞,其數占白細胞總數的60-80%,紅細胞及血小板均顯著減少,該病的病程頗速,如延誤治療,數月內即可死亡。
2.莢膜組織胞漿菌病(Histoplasmosis):病原體為莢膜組織胞漿菌(Histoplasmaspp),近年來該病在我國的湖北、四川、廣西、浙江、江蘇和雲南等省均有查見。播散性莢膜組織胞漿菌病的患者肝、脾腫大,貧血以及白細胞和血小板減少,從病人的骨髓、脾或淋巴結抽出物中見到的病原體也極易與利什曼原蟲相混淆,每多誤診為利什曼病。但該病的病原體內部結構與利什曼原蟲不同,也看不到動基體的構造;患者ICT檢測呈陰性,可用組織胞漿菌素作皮內試驗以及真菌培養的方法確定診斷。
3.班替氏綜合症(Banti’sdiseases):此病的病程可分三期,初期僅有貧血和脾腫,中間期肝脾
亦增大,且多噁心及腹瀉等症狀,晚期可發生肝硬化的症狀,如嘔血、腹水、消瘦以及胸腹部靜脈怒張。患者大都是成年人,嬰幼兒少見。該病除並發其它疾病或至晚期,患者一般情況良好,食慾正常,無發熱等其它不適,球蛋白的增加並不顯著,病程很長,可能維持10-20年,與利什曼病不難鑑別。
PKDL(皮膚型利什曼病)應與瘤型麻風鑑別。瘤型麻風的皮損小而多,分布廣泛而對稱,顏色淺淡。該病至中、晚期有眉毛對稱脫落和脫髮,周圍神經腫大及皮膚感覺障礙,並可出現難以癒合的潰瘍,嚴重的可發生肌內萎縮和畸殘。PKDL無皮膚知覺障礙,也無眉毛脫落及神經腫大等症狀。皮膚刮片檢查尋找抗酸菌和利什曼原蟲可確定診斷。
PKDL還應與皮膚利什曼病(cutaneousleishmaniasis)鑑別。舊大陸的皮膚利什曼病是由數種嗜皮膚的利什曼原蟲感染所致的單純性皮膚損害,患者無利什曼病史。皮損在發展過程中可產生潰瘍,絕大多數患者的病程較短,潰瘍大都在一年左右即自行癒合。而PKDL的皮膚損害不發生潰瘍,病程頗長,如不予治療,皮膚損害不會自行消失。
診斷方法
利什曼病診斷方法 一、病原學檢查
1、髂骨穿刺:施行髂骨穿刺時,病人側臥。術者先用手指確定髂骨前上棘的部位,皮膚消毒。視患者年齡大小使用17號至20號的乾燥無菌穿刺針,從髂骨前上棘後1cm處刺入皮膚,然後將針豎起,使與水平線呈70-80度,穿過皮下組織及骨膜後,施術者可感覺到針頭已觸及骨面,再用鏇轉式的動作將針頭鑽入骨腔,穿刺深度為0.5-1cm,針頭刺入骨腔後,可將針芯抽出,接以5毫升乾燥無菌注射器,抽取少許骨髓,製成塗片,染色後鏡檢。此法的利什曼原蟲檢出率約在85%左右。合併HIV感染的利什曼病患者,檢出率可達98%。
2、脾臟穿刺:實施脾穿刺前,應先測定病人的出血時間,如超過5分鐘則不予穿刺,凡脾腫在肋下4cm以內的亦以不作穿刺為妥,患者如伴有腹水、黃疸、極度貧血以及並發肺炎等嚴重疾病時,均不宜施行脾穿刺術。穿刺時病人仰臥,施術者先確定脾臟的大小和部位,消毒皮膚。助手托住腫大的脾臟下端,以固定其位置。術者持乾燥消毒的帶有22-24號針頭的2毫升注射器,從脾臟正中離肋緣下約2cm處刺入皮下,即將針筒的軸抽出一段,使注射器先形成真空,再刺入脾內,即可吸出脾髓,針頭拔出後,即將針頭內的脾髓注射於玻片上,製成塗片,染色鏡檢。脾穿刺法的原蟲檢出率很高,可達95%左右。
3、淋巴結穿刺:腫大的淋巴結處的皮膚作局部消毒後,用洗淨的左手拇指和食指捏住淋巴結,向上提起,並使其固定於兩指之間。手持消毒的針頭刺入淋巴結內,待數秒鐘後即將針頭拔出。因淋巴結內的壓力較高,淋巴液會自動流入針內,無需用針筒抽吸。針頭拔出後,用空針筒接上,將針筒內淋巴液射在玻片上,製成塗片,染色鏡檢。該法對初診病人而言,原蟲的檢出率一般為50%左右,但合併HIV感染的利什曼病患者,檢出率可達100%。
4、皮膚刮片檢查:局部皮膚消毒後,以洗淨的左手拇指和食指捏住皮膚結節,使其固定於兩指間。再用滅菌乾燥手術刀輕輕切開皮膚,刮取切口兩側的皮膚組織,製成塗片後染色鏡檢。如是PKDL,一般都能查見利什曼原蟲。
5、原蟲培養:在嚴格的無菌操作下,把可疑病人的骨,脾、淋巴結或皮膚損害內所取得的各種組織液置三恩培養基內,放入22-240C溫箱內培養。15天后用白金耳取少量培養液於玻片上,在光學顯微鏡(高倍)下檢查,如查見利什曼原蟲前鞭毛體,即可確定診斷。
附:三恩培養基(Novy-McNeal-Nicollemedium)的製備:瓊脂14.0克,氯化鈉6.0克,蒸餾水900毫升,盛燒瓶中加熱使瓊脂完全融化於水內,分裝試管,每管3毫升,以棉塞塞緊管口,經高壓滅菌,待稍冷卻後每管加入1毫升去纖維兔血,均勻混合後斜置於冰水中冷卻,待瓊脂凝固後每管內加入0.5毫升洛克液,管口換上消毒的橡皮塞,40C冷藏備用。
二、血清學檢查
自70年代開始,隨著生物化學、免疫學和分子生物學的進展,促使血清學診斷研究有了很大提高。不僅方法多樣,而且從以往簡單的補體結合試驗,發展為微量、特異、快速的免疫標記技術。這種利什曼病免疫診斷新技術可用於檢測感染宿主體內的循環抗體、循環抗原和循環免疫複合物。在輔助病原診斷及判斷流行情況方面起著重要的作用。目前主要套用的為抗體檢測和抗原檢測兩大類,其中檢測抗體的技術有以下3種。
1、免疫螢光測定(IFAT):為免疫螢光染色示蹤抗原或抗體的方法,即用化學方法將螢光素與特異性抗體或抗人免疫球蛋白結合,製備成螢光抗體。再與相應的抗原或抗體-抗原複合物相結合時,形成免疫螢光複合物。此時可用螢光顯微鏡觀察,如待測樣本呈亮綠色螢光,則顯示陽性,證明有相應的抗體存在。利什曼病IFAT試驗的陽性率為100%,抗體滴度最低為1:320,最高為1:5120,與健康人及其它疾病的交叉反應,抗體滴度不超過1:20。此法的另一優點在於可採血20mm3滴於濾紙上,浸出液亦可進行IFAT,便於利什曼病基本消滅地區的監測工作。根據山東省寄生蟲病防治研究所的隨訪觀察,在利什曼病治癒已1-7年的7例中,IFAT無一例轉陰,抗體滴度為1:160-1:2560,在治癒已經20年的52例中仍有28.9%呈陽性反應,但抗體水平降至1:160。
2、酶聯免疫吸附試驗(ELISA)和斑點-酶聯免疫吸附試驗(Dot-ELISA):ELISA以96孔聚苯乙烯微滴板作為包被抗原或抗體的固化介質,加入待測血清,孵育後洗滌多餘的血清成份,再加酶標記抗球蛋白使與抗原-抗體複合物相結合,經洗滌,最後加入底物,測定被酶降解後的底物量,即相當於抗體存在的量。凡大於或等於陰性對照OD均值(x)加3個標準差(SD)可判為陽性,利什曼病ELISA與病原檢查陽性的符合率為100%。值得注意的是與麻風病有23%的交叉反應。
Dot-ELISA是在ELISA基礎上發展的一種簡易的、而敏感和特異性均不亞於ELISA的檢測方法。此法用硝酸纖維膜作為固相載體,其它操作與ELISA同。由於硝酸纖維膜能較強地吸附抗原,且可定量控制,避免了可溶性抗原吸附聚苯乙烯微滴板時的批間差異。觀察結果乃根據斑點的出現與否,目測即可,不受分光光度計讀數的限制。而且記錄可長期保存。利什曼病患者的血清,在稀釋度為1:100-1:800時均可出現藍色斑點,與病原檢查陽性的符合率為97.6%。與瘧疾、肺吸蟲、麻風等疾病未出現交叉反應。經銻劑治療後1-2年的利什曼病患者,當血清為1:200-1:800稀釋時,陽性率為66%。現症患者乾血滴標本的陽性率僅為37.6%。
3、免疫層析診斷試條(ICT):此法是把免疫親和技術、印漬術和經典的薄層層析技術組合在一起的新技術(即dipstick)。以恰氏利什曼原蟲(Leishmaniachagasi)的類Kinesin基因中39個胺基酸重組片段的表達產物-rk39為重組抗原製備成免疫層析診斷試條。檢測時,取利什曼病患者全血或血清一滴(約20-30μl)於樣本墊上,通過層析,於3-5分鐘內,出現與抗原結合的陽性條帶,目測即可。此法快速敏感,與病原檢查的符合率可達100%,是目前頗受基層防疫單位歡迎的診斷方法。同樣,亦可用重組抗原rk39進行ELISA診斷利什曼病現症患者,所用的重組抗原工作濃度為1:3000,檢出的抗體陽性率為96.2%,與原蟲檢出的符合率達100%,僅個別麻風病患者抗體OD>0.43.此法特異性、敏感性高,且有穩定的重複性。
利什曼病循環抗原的檢測不但可提示宿主的活動性感染,亦可反映感染度及用作療效考核。常用的技術有以下3種。
(1)、酶標記單克隆抗體斑點-ELISA直接法:以過氧化物酶標記特異性抗杜氏利什曼原蟲單克隆抗體,直接結合於待測樣本中的循環抗原。從此法檢測利什曼病現症患者血清中相應的CAg,陽性率為90.6%,根據歷年血清檢測結果分析,以新鮮血清為佳,陽性率可達100%,而保存三年的血清陽性率僅為80%。對治癒後3個月至16年的利什曼病患者50份進行檢測,未見陽性反應。直接法實驗操作簡便,全過程為4小時。單克隆抗體-抗原斑點試驗(McAb-AST),亦用於利什曼病循環抗原的檢測,但加有待測樣本的硝酸纖維膜,需經McAb孵育過夜後,再與HRP標記的第二抗體作用。其檢測陽性率為97%。25例經銻劑一療程後一年左右用本法檢測,13例呈陰性,12例呈中度或弱陽性反應。上述兩種方法都可用來對利什曼病作療效考核。
(2)、單克隆抗體-酶聯免疫印漬技術(McAb-EITB):套用聚丙烯醯胺凝膠具有將抗原蛋白組分分離成單一區帶和解析度高的特點,然後通過電泳將蛋白組分轉移至硝酸纖維膜上,以膜作為載體進行固相酶免疫試驗。用辣根過氧化物酶標記抗杜氏利什曼McAb後用於EITB檢測利什曼病CAg,可減去使用第二抗體的步驟,不但簡化操作,並提高了解析度和特異性。以130kD、100kD和25kD為利什曼病特異條帶,檢測25例經病原確診的患者血清均呈陽性,而與正常人及其它疾病均無交叉反應出現。
(3)、體夾心斑點-酶聯免疫吸附試驗(SandwichDot-ELISA):將含有特異性抗體的免疫球蛋白,致敏載體(硝酸纖維膜),與待測抗原孵育後,加入酶標記特異性單抗結合物,結合物即與載體表面的抗原-抗體複合物相結合,當加底物後,可肉眼觀察斑點的出現。這種套用特異性單克隆抗體的雙抗體夾心Dot-ELISA法,測檢我國新疆克拉瑪依地區的皮膚利什曼病患者的循環抗原,其陽性率為83.3%,較皮膚組織直接塗片鏡檢原蟲的檢出率22.2%提高4倍。
疾病治療
參照國家技術監督局、衛生部1996-01-23發布的利什曼病處理原則。國產五價葡萄糖酸銻鈉注射劑(商品名稱為斯銻黑克)為治療利什曼病的首選藥物,含銻量為100mg/ml。
一、利什曼病的治療
1、初治病例:斯銻黑克六日療法:成人總量120-150mg銻/kg,兒童總量200-240mg銻/kg,平分6次,每日肌肉或靜脈注射一次,6天為一療程。在治療過程中,如病人出現高熱、鼻衄、呼吸加速或劇烈咳嗽和脾區疼痛等副反應,可停止注射數日,待症狀緩解後再繼續注射,藥物總量可與先前注射的合併計算。如果白細胞計數突然減少,粒細胞降至20%以下,可考慮為白細胞缺乏症,應立即停藥,進行對症治療,待恢復後再使用銻劑治療利什曼病。斯銻黑克三周療法:成人總量135mg銻/kg,兒童總量200mg銻/kg,平分6次,每周肌肉或靜脈注射2次,三周完畢一療程。此法適用於體質差或病情較重的患者。
2、未治癒病人:患者經一個療程斯銻黑克治療後半個月複查時,如體溫仍高於正常,白細胞計數未見增加,脾腫依舊,原蟲並不消失,應認為治療無效。可加大斯銻黑克的劑量,比原劑量增加1/3,採取8天8針療法進行第2個療程。
3、復發病人:利什曼病經治療後體溫已恢復正常,一般情況和血象都有好轉,脾腫亦見縮小,穿刺檢查不復能查見利什曼原蟲,但隔數月後(一般在半年內)體溫上升,脾腫增大,骨髓或脾穿刺塗片上又查見原蟲,即為復發,仍可用斯銻黑克治療,應在原劑量基礎上加大1/3。
4、抗銻病人:經銻劑三個療程以上仍未痊癒的病人,臨床上稱為抗銻性利什曼病病人。可採用以下3種藥物進行治療。
①、戊烷脒(pentamidine):每次4mg/kg,總劑量為60-70mg/kg。在每次注射前把藥物先溶解於無菌蒸餾水內配成4%的溶液作肌肉注射,15-20天完畢一療程。在藥物注射過程中,注射局部可產生紅腫等反應,可用局部熱敷法以減輕反應。偶爾發生血壓下降,出現脈搏增速、眩暈、心悸等反應,注射腎上腺素即可消失。
②、羥脒芪(Hydroxystilbamidine):每次2-3mg/kg肌肉或靜脈注射,總量為85mg/kg.。每次臨用前先用少量蒸餾水把藥物溶解,再用1%普魯卡因溶液使成2.5-5.0%溶液,緩慢作肌肉注射;或將藥物溶於50%的葡萄糖液內,使成2%的溶液,作靜脈注射。戊烷脒和羥脒芪在水溶液內極不穩定,容易變質,增加毒性,故每次注射都必須用新鮮配製的溶液。
③、兩性黴素B(AmphotericinB):Mishra等(1994)用每日0.5mg/kg連續14天的方法來治療對銻劑及戊烷脒療效不佳的病例,治癒率為98%。藥物溶於5%的葡萄糖液內作靜脈滴注,4-6小時內注射完畢。Giri(1993)採用0.5mg/kg隔日注射一次共21次的方法也達到了相似的效果。在藥物滴注過程中,可出現發熱、寒戰、肌肉或關節痛,少數有腸胃道症狀,但患者能夠耐受,並在繼續滴注過程中消失。脂質體兩性黴素B可有效降低藥物的毒性反應,可用3mg/kg每日或隔日滴注一次,總量為15mk/kg,療效可達100%(Sundar,等1996)。
二、皮膚型利什曼病(PKDL)的治療
斯銻黑克6日或8日療法,連續2-3個療程。戊烷脒的療效優良,每次4mg/kg,肌肉注射,總量為60-80mg/kg,一般即可治癒。如皮膚損害仍未完全消失,可再給予一療程。
三、淋巴結型利什曼病的治療
斯銻黑克的劑量和療程同利什曼病初治病人。對症治療和併發症的處理:
1、患者如有中等度貧血,在治療期間應給予鐵劑。嚴重貧血者,除給予鐵劑外,可進行小量多次輸血,待貧血有所好轉後再用銻劑治療。
2、鼻出血:先洗淨鼻腔,尋找出血點,然後用棉花浸以1:1000腎上腺素液、3%麻黃素置出血處,或用明膠海綿覆蓋在出血部位。
此外,病人在治療期間,應臥床休息,預防感冒,給予營養豐富或高熱量的食物,如雞蛋,豬肝、豆腐等。每日口服足量的多種維生素,以利病體的恢復。
四、需要處理的常見併發症有下列3種
1、肺炎:並發肺炎的利什曼病病人,不宜使用銻劑或戊烷脒及羥脒芪治療。肺炎若發生在利什曼病治療過程中,應立即停止注射,先用抗菌素治療,待肺炎症狀消失後再用抗利什曼病藥物治療。
2、走馬疳:應按常規方法給予抗利什曼病治療,並及時使用抗菌素。
3、急性粒細胞缺乏症:應立即使用青黴素治療以防止繼發感染。如發生在銻劑治療過程中,應停止注射銻劑,待症狀消失後再給予抗利什曼病治療。但有時利什曼病也可以引起此症,與銻劑使用無關,在此種情況下,銻劑使用不但無害,且能隨利什曼病的好轉而促使粒細胞回升。
預防
利什曼病1、消滅病狗:在山丘或黃土高原地帶的利什曼病流行區,宜及時使用病原檢查或血清學方法查出病狗,加以殺滅。在病狗較多的地區,應動員民眾少養或不養狗。
2、滅蛉和防蛉:在白蛉季節內查見病人後,可用殺蟲劑噴灑病家及其四周半徑15m之內的住屋和畜舍,以殲滅停留在室內或自野外入侵室內吸血的白蛉。提倡使用蚊帳,以2.5%溴氰菊酯(每m2帳面15mg純品)在白蛉季節內浸蚊帳一次,能有效保護人體免受蚊、蛉叮咬。不露宿,提倡裝置浸泡過溴氰菊酯(劑量同上)的細孔紗門紗窗。
在山丘及黃土高原地帶的利什曼病疫區內,可在白蛉季節內用2.5%溴氰菊酯藥浴或噴淋狗體(每隻狗用2-3克),以殺死或驅除前來刺叮吸血的白蛉。夜間在荒漠地帶野外執勤人員,應在身體裸露部位塗擦驅避劑,以防止白蛉叮咬。

