疾病分類
腐敗型
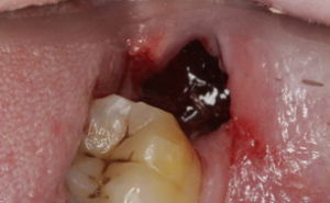
符合乾槽症臨床表現,拔牙窩內為腐敗變性的血凝塊,腐臭味強烈。非腐敗型
符合乾槽症臨床表現,拔牙窩內空虛,沒有明顯腐敗物存在。發病原因
發病原因有多種學說,目前均不能全面解釋乾槽症的發病及臨床表現。1.感染:但迄今為止,單一的病原菌尚未發現。多數學者認為乾槽症是一種混合感染,厭氧菌起重要作用。
2.拔牙創傷:複雜拔牙,創傷大、時間長,發生乾槽症幾率較高。
3.性別:女性患病率高於男性5倍。
4.年齡:隨年齡增高發生率增加。
5.口服避孕藥:口服避孕藥患病率較未口服避孕藥婦女增高3倍。
6.吸菸:吸菸者較不吸菸者患病率高5倍,拔牙後24小時內吸菸的發生乾槽症的比率高達40%。
7.冠周炎:冠周炎患牙較未發生冠周炎的乾槽症發生率高。
發病機制
1.感染:感染學說是基於乾槽症實際上表現為骨創感染。感染的作用可以使直接的;也可以是間接的,即引起血凝塊的纖維蛋白溶解。基於感染學說,全身或局部使用抗菌藥物可預防及治療乾槽症,針對厭氧菌的藥物預防乾槽症也取得了滿意的效果。2.創傷:Krogh在1937年提出創傷在乾槽症病因中期重要作用。許多研究認為創傷為乾槽症的主要發病因素之一。創傷引起發病的機制有不同的解釋:創傷使骨組織易發生繼發感染;創傷使骨壁的血管栓塞,導致牙槽窩內血凝塊形成障礙;創傷產生的組胺影響傷口癒合;創傷骨組織使組織活化劑釋放,導致纖維蛋白溶解。確切機制有待進一步研究。
3.解剖因素:此學說認為下頜磨牙去有較厚的密質骨,致使該部位的血液供應不良。下頜智牙拔除後,骨腔大, 血凝塊不易附著。下頜牙拔除後,食物及唾液易進入拔牙創而引發感染。它解釋了為什麼下頜智牙拔除後,乾槽症的發生率高於其他部位。依據這一觀點採用縫合縮小拔牙創,以及拔牙窩內填放藥劑占據空間的預防方法取得了較好的效果。
4.纖維蛋白溶解學說:此學說認為拔牙的創傷或感染,引起骨髓的炎症,使組織活化劑釋放,將血凝塊中的纖維蛋白溶解酶原轉化為纖維蛋白溶解酶,使血凝塊中的纖維蛋白溶解導致血凝塊脫落,出現乾槽現象;同時產生激肽,引發疼痛。它部分解釋了乾槽症的發病機制,但套用活化劑抑制物和纖維蛋白溶解抑制劑預防乾槽症未能取得成功。
病理生理
乾槽症在組織病理學上主要表現為牙槽骨壁的骨炎或輕微的局限性骨髓炎。最初為血塊分解、破壞、脫落,以致骨壁暴露並發生多處小的壞死。周圍骨髓腔內有典型的輕度急性或亞急性骨髓炎,出現炎性細胞浸潤和血管栓塞。主要表現為牙槽窩骨壁的感染。臨床表現
好發群體
女性、口服避孕藥、30歲以上、下頜阻生智牙、下頜複雜磨牙拔除術後。疾病症狀
主要症狀為拔牙2-3天后有劇烈疼痛,並可向耳顳部、下頜區、頭頂部放散,一般鎮痛藥物不能止痛;拔牙窩內可空虛,或有腐敗變性的血凝塊,有強烈腐臭味。疾病危害
引起患者劇烈疼痛,持續時間較長,嚴重影響生活和工作。診斷鑑別
疾病診斷
主要依靠臨床表現進行診斷,疼痛發生的時間、誘因、程度,拔牙窩是否有空虛或腐敗壞死物,結合好發人群、口腔衛生情況、拔牙術後護理情況,進行診斷。疾病鑑別
一、拔牙術後反應性疼痛反應性疼痛術後當日即出現,疼痛一般不嚴重,呈逐漸減輕趨勢,3-5天內基本消失,檢查拔牙創血凝塊基本正常。而乾槽症則是於拔牙後2-5天再次出現的劇烈疼痛,放散痛,持續時間長。
二、拔牙術後感染
咽頰前間隙感染,術後疼痛,開口受限嚴重,伴有吞咽困難,下頜角內側明顯壓痛,第三磨牙佘策下後方紅腫、壓痛,穿刺有膿液。而乾槽症臨床表現主要是劇烈的自發性疼痛,沒有明顯軟組織腫脹,也沒有膿液。

