概況???
肺解剖圖?中文拼音:zhòng dú xìng fèi yán
英文參考:toxic pneumonia;toxic pneumonitis
中毒性肺炎 西醫病名。小兒肺炎中較為嚴重的一種。屬中醫溫病範疇。臨床表現起病急驟,來勢兇猛,高熱,嗜睡,昏迷,驚厥,循環及呼吸衰竭等。由熱邪侵襲,氣分熱熾,灼肺傷津,進而熱入營血,擾及心神所致。氣分熱熾者,治宜平喘解毒,宣肺化痰,用麻杏石甘湯加魚腥草、銀花、竺黃、竹瀝;熱入營血者,宜清營解毒,平喘化痰,用清營湯加減。若正不勝邪,陽氣衰竭,合併心力衰,用參附湯,益氣固脫;合併中毒性腦病,宜加有羚角鉤藤湯或神犀丹。
疾病描述??
病因病機?
呼吸系統解剖圖??由細菌胞壁的脂多糖組成的細菌內毒素,可激活人體某些潛在體液或細胞介導的反應系統(包括交感-腎上腺髓質系統、補體系統、激肽系統、凝血和纖溶系統等),產生各種生物活性物質,後者相互作用引起微循環功能障礙。導致血流動力學的改變、血液流變學的變化以及細胞損害和重要臟器功能的改變。溶酶體膜完整性、穩定性的破壞,其中水解酶的釋放,以及血細胞激活後釋放的產物如腫瘤壞死因子、活性氧等在造成細胞損傷中具重要意義。花生四烯酸代謝產物的增加,在發病中亦起重要的作用。另外肺部炎症引起通氣/血流比例嚴重失調,肺泡一動脈血氧分壓差增大,缺氧嚴重。過度通氣,可引起呼吸性鹼中毒。嚴重毒血症時,細菌內毒素損害血管內膜,抗原一抗體複合物沉積,彌散性血管內凝血,白細胞和血小板破壞,導致間質與肺泡內水腫和肺泡表面活性物質喪失而產生瀰漫性微小肺不張,使肺順應性減低,通氣/血流比例嚴重失調引起成人型呼吸窘迫綜合徵。臨床上有難以氧療緩解的低氧血症。
症狀體徵?
?患者有高熱,血白細胞和中性粒細胞增加。但如反應性極差時,體溫可不升高、白細胞減低。血流動力學改變開始有末梢血管擴張,四肢溫暖,紫紺,血壓下降至10.7/8.0kPa(80/60mmHg)以下。情況進展,心搏血量減少,靜脈壓增加,心肌逐漸衰竭,四肢厥冷,潮汗。
臨床表現
中毒性肺炎症狀表現:一般病起2—3天出現休克,或發病時以休克為第一症狀,四肢厥冷、周身冷汗、唇甲紫紺、少尿或無尿、血壓低於10/6.5Kpa甚至測不出(有高血壓病者可高於上述數值),50%以上患者體溫低於38度以下,高齡老人甚至體溫不升。患者衰竭、不思飲食、情緒低沉、神志模糊、煩躁、譫妄、嗜睡、呼吸增快,甚可呈昏迷狀態。實驗室檢查血白細胞總數多高達20-30×109/L、中性粒細胞達0.9以上,胸X線拍片異常,甚則心電圖及肝、腎功能改變。
診斷檢查
診斷標準?
嚴重肺炎發生毒血症,起病急驟,惡寒高熱,血壓下降至10.6/6.6kPa(80/50mmHg)以下,病情迅速惡化;原有高血壓者,血壓下降20%以上,脈壓差小於2.6kPa(20mmHg),常伴有心率增快、面色蒼白、四肢厥冷、出冷汗、脈搏及心音減弱。可出現神志模糊或煩躁不安,有時血壓測不到,少尿或無尿。
實驗室檢查?
血白細胞總數及中性粒細胞增高或減低,細胞內有中毒顆粒,核左移。
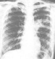
X線檢查?
X線胸片?肺炎呈多樣性,病變範圍不一定與症狀的嚴重度成正比。
治療措施
?首先糾正缺氧,補充血容量和防止酸中毒。一般以鼻導管給氧,靜脈滴注平衡鹽液和右鏇糖酐40各500ml,維持收縮期血壓至12-13.3kPa(90-100mmHg)和尿排出量。酸中毒時給5%碳酸氫鈉200-250ml。
休克解除的指標是神志清醒,血壓回升,心率減慢,四肢血循環恢復和尿量增加。上述措施無效時,可用調節血管舒縮功能的藥物,如多巴胺在每100m15%-10%葡萄糖液中分別套用10-20mg, 或以酚妥拉明(苄胺唑啉)加去甲腎上腺素各1-2mg作靜脈滴注。維持中心靜脈壓在0.981-1.47kPa(10-15cmH2O)左右。密切注意動脈血pH值、氧和二氧化碳分壓以及血電解質的情況。如paO2低於8.0kPa(60mmHg),則須作氣管插管,加壓輔助呼吸。遇有肺順應性減低,氧分壓不能提高,有成人型呼吸窘迫綜合徵可能時,應加用呼氣未正壓呼吸(PEEP)。加強控制感染,按致病菌的藥物敏感性套用抗生素,靜脈給藥。可以加用氫可的松100-200mg或地塞米松5-10mg, 靜脈滴注,一般24h內可用氫可的松500-600mg或相當量的其他製劑。
1、積極控制感染、早期、足量、合理、有效選擇2種以上抗生素聯合套用;
2、糾正休克,補充血容量改善微循環,早期短程激素,糾正酸中毒、給氧;
3、重視併發症及時處理。
療效標準?
?1.治癒:休克症狀消失,血壓正常,肺部炎症吸收。
2.好轉:休克症狀基本控制,血壓基本正常,肺部炎症大部吸收或好轉。

